症例詳細
Case detail
ちょっとしたデコボコをしっかりと改善したい インビザライン矯正
治療症例の内容
- 診療科目
- 担当医
- 藤巻太一朗(ドクタープロフィール)
- 患者様
- 40代女性
- 矯正装置
- インビザライン
- 治療期間
- 4年5ヶ月
- 治療回数
- 10-30回
- 治療計画
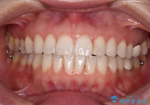
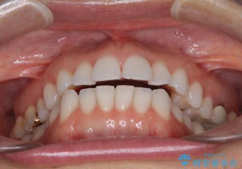
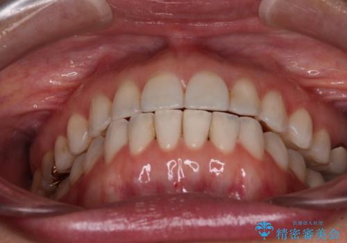
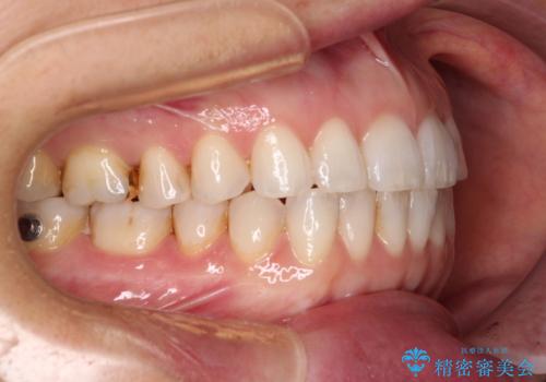
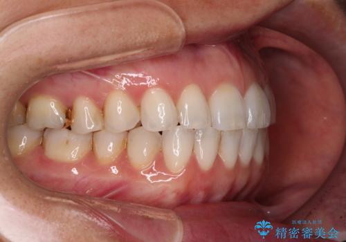
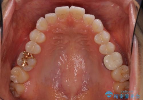
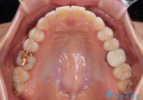
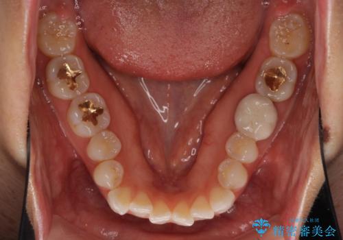
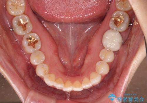
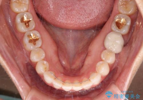
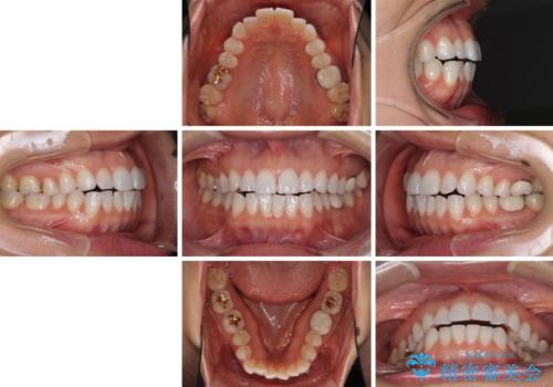
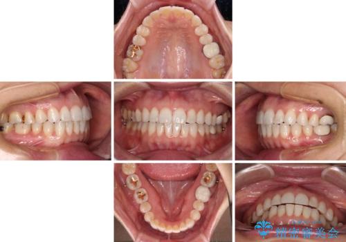
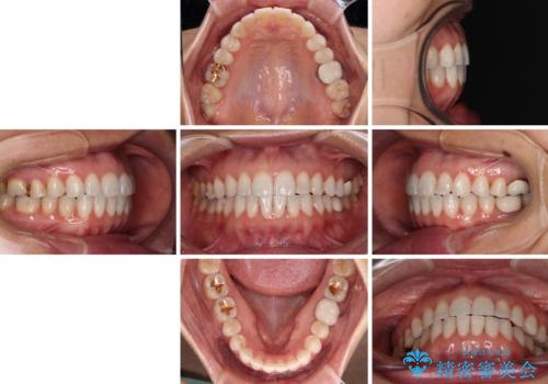
- 前歯のデコボコと上下スペースと前歯の隙間を気にして来院された患者様です。
目立たない装置を希望とのことでインビザラインにより、デコボコを解消しつつ、上下の前歯の隙間を閉じていくこととしました。
- 費用(概算)
- 治療費の目安: 85万円(税込)費用は治療当時の料金となります
治療について
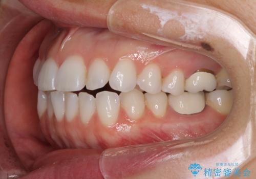
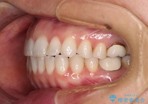
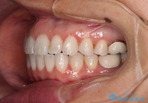
デコボコはあっという間に解消されましたが、上下前歯の隙間がなかなか解消されませんでした。
飲み込みの際に舌を前方に突出する癖があり、飲み込みの度に前歯に強く接触していたため、上下前歯の隙間が維持されていました。
舌の訓練を徹底していただいたことで、徐々に隙間は解消され、きれいな歯列に整えることができました。
マウスピース矯正の注意事項(リスク・副作用など)
- 口腔内・歯並びの状態によっては対応できない場合があります
- マウスピース型矯正装置の長時間装着(1日20時間以上)が必須です
- 治療計画通りに進めるためには、患者様の意志が重要になります
- 矯正治療後の保定が不十分だと後戻り(元の位置に戻ろうとする動き)をします
- 薬機法対象外の矯正歯科装置のため医薬品副作用被害救済制度の対象外となる場合があります
- 自費診療(保険適用外)となります
当サイトの内容、テキスト、画像等の無断転載、複製、複写、盗用を固く禁じます。

























