症例詳細
Case detail
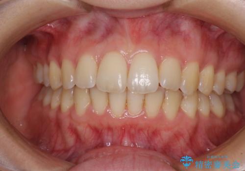
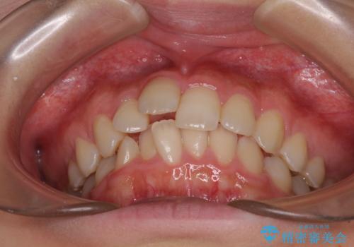
欠損のある歯列 インビザラインで整った歯並びに
治療症例の内容
- 診療科目
- 治療カテゴリ
- 担当医
- 藤巻太一朗(ドクタープロフィール)
- 患者様
- 40代男性
- 矯正装置
- インビザライン
- 治療期間
- 1年10ヶ月
- 治療回数
- 10-30回
- 治療計画
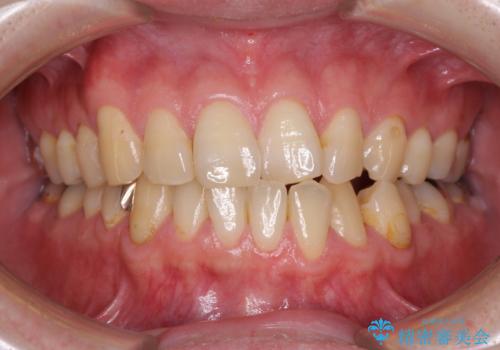
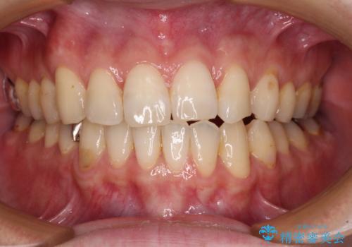
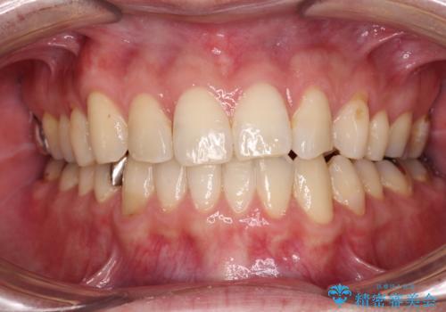
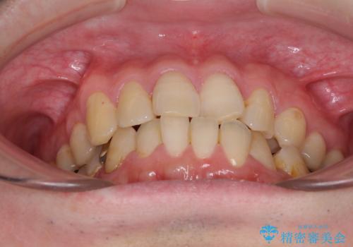
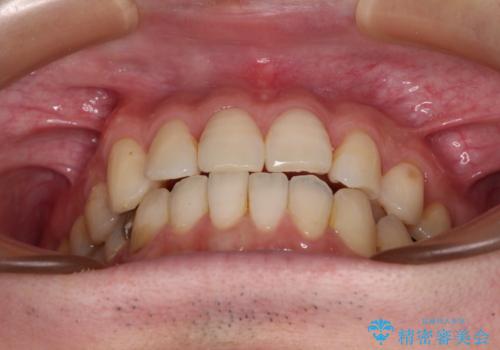
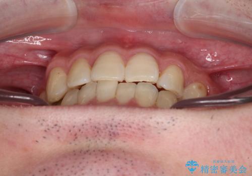
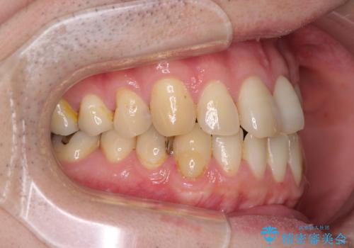
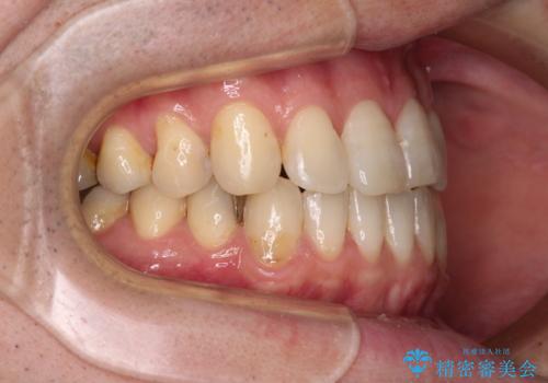
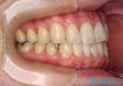
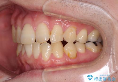
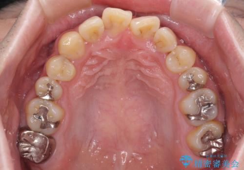
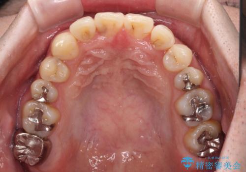
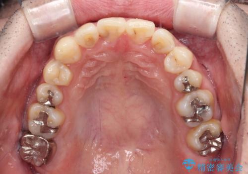
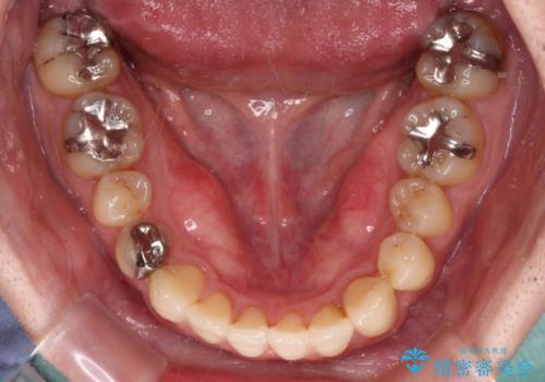
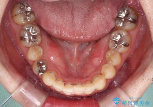
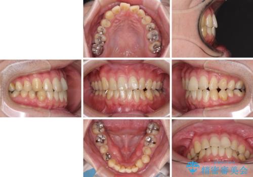
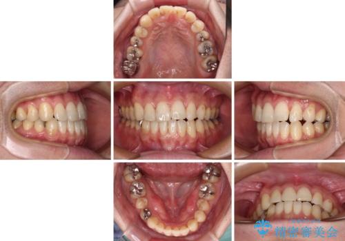
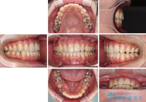
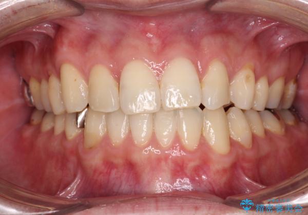
- デコボコした前歯をセラミックできれいに揃えたいとのことで来院された患者様です。
歯を削って整えることは簡単ですが、健全な歯を削って後悔してからでは遅いため、矯正治療を提案しました。
はじめは矯正治療の期間が長いことに悩んでいらっしゃいましたが、ある程度整えば満足するだろうとのことで、インビザラインにて矯正治療を行うこととしました。
左上の犬歯が欠損しているため、正中の位置や奥歯の咬み合わせが理想的にならない点を了承していただきました。
- 費用(概算)
- 治療費の目安: 90万円(税込)費用は治療当時の料金となります
治療について
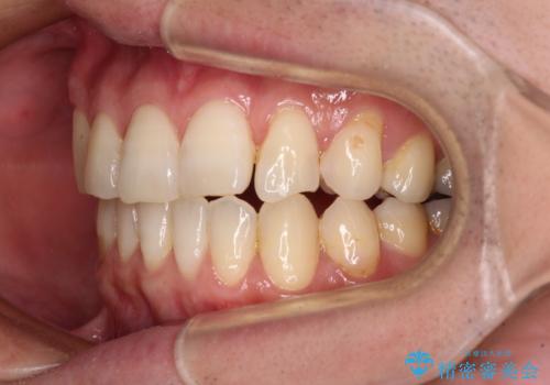
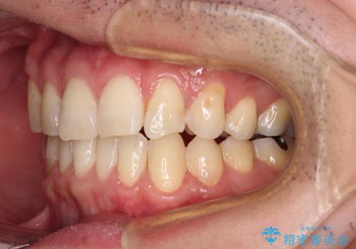
インビザライン矯正は、1日22時間を目安に装着する必要がありますが、しっかりと装着してくださったので、順調に治療を進めることができました。
マウスピース矯正の注意事項(リスク・副作用など)
- 口腔内・歯並びの状態によっては対応できない場合があります
- マウスピース型矯正装置の長時間装着(1日20時間以上)が必須です
- 治療計画通りに進めるためには、患者様の意志が重要になります
- 矯正治療後の保定が不十分だと後戻り(元の位置に戻ろうとする動き)をします
- 薬機法対象外の矯正歯科装置のため医薬品副作用被害救済制度の対象外となる場合があります
- 自費診療(保険適用外)となります
当サイトの内容、テキスト、画像等の無断転載、複製、複写、盗用を固く禁じます。



























