症例詳細
Case detail
銀歯をセラミックにしたい セラミックインレー修復
治療症例の内容
- 診療科目
- 治療カテゴリ
- 担当医
- 齋藤佑磨(ドクタープロフィール)
- 患者様
- 40代女性
- 治療期間
- 2ヶ月
- 治療回数
- 2-5回
- 治療計画
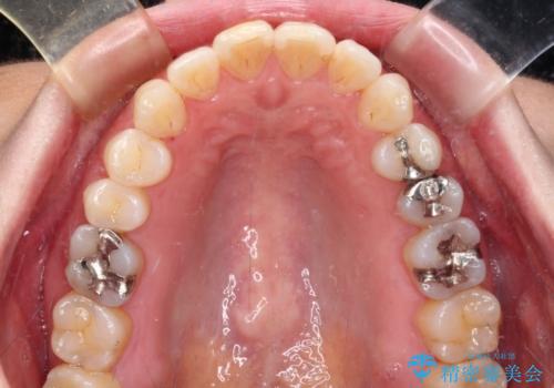
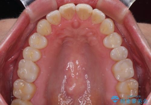
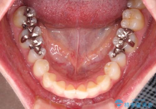
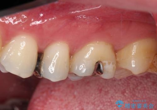
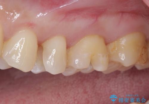
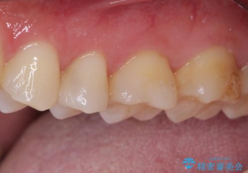
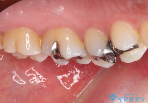
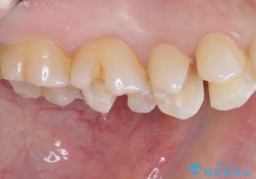
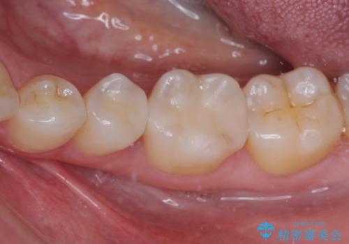
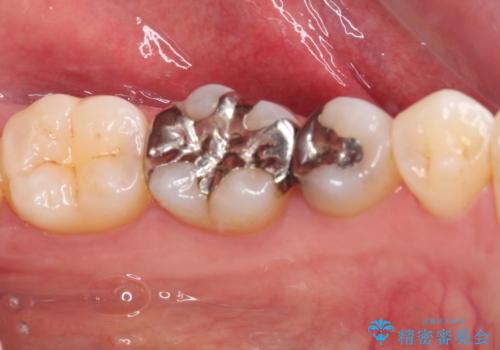
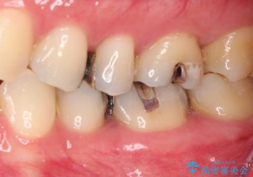
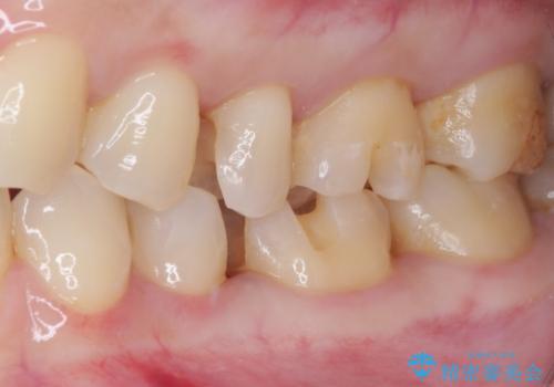
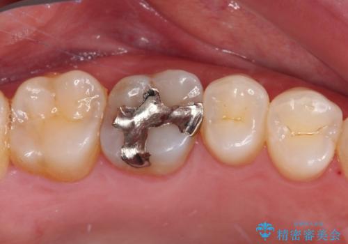
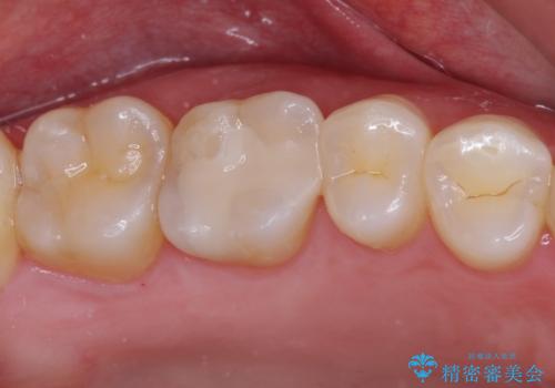
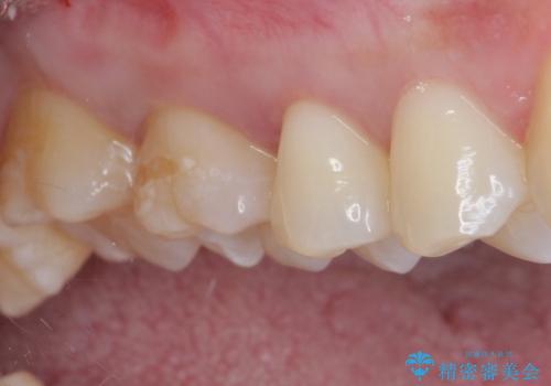
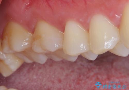
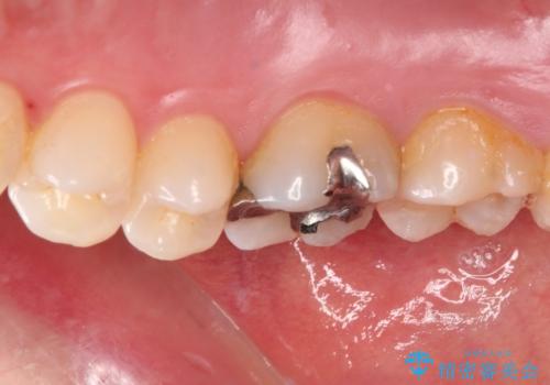
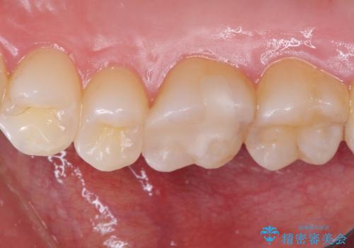
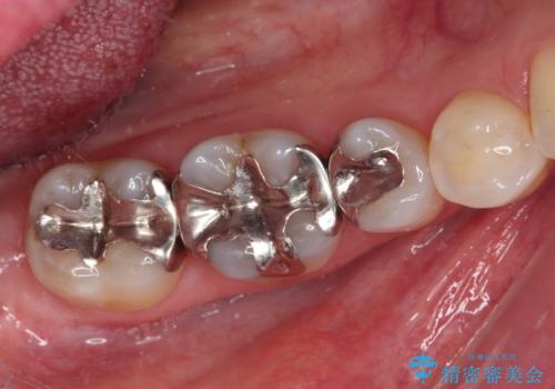
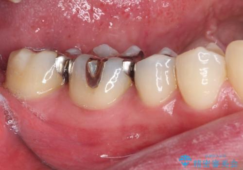
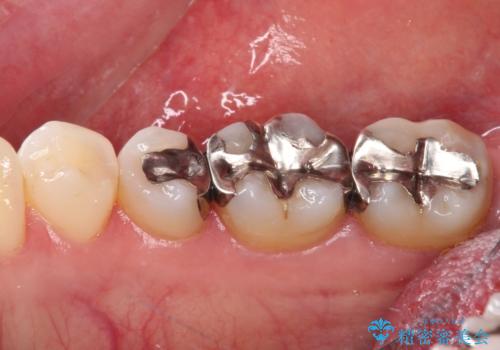
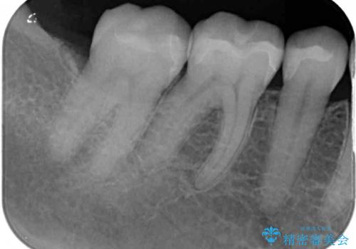
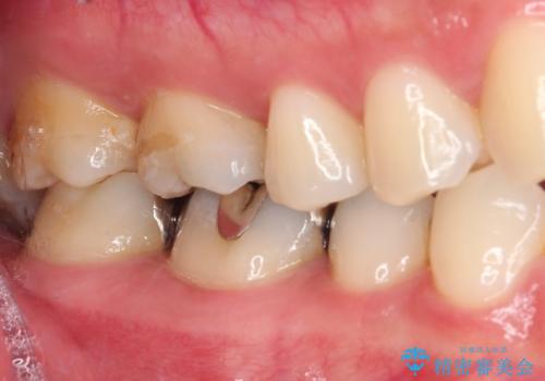
- 銀歯をセラミックにしたいとのことで来院された患者様です。
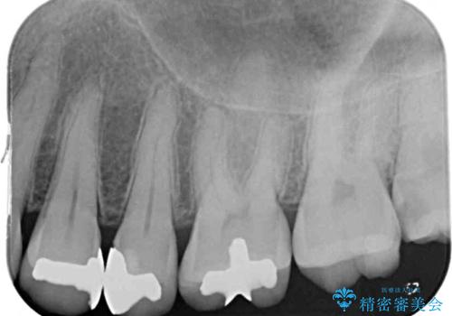
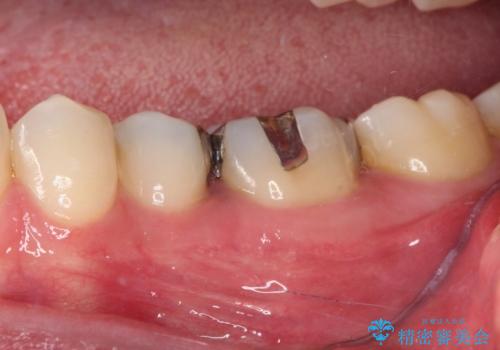
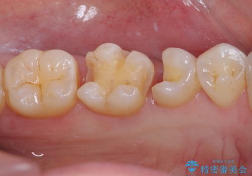
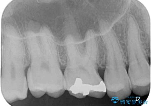
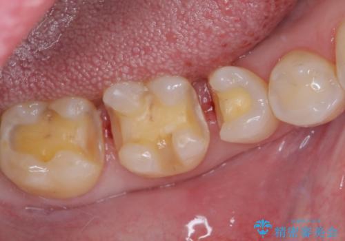
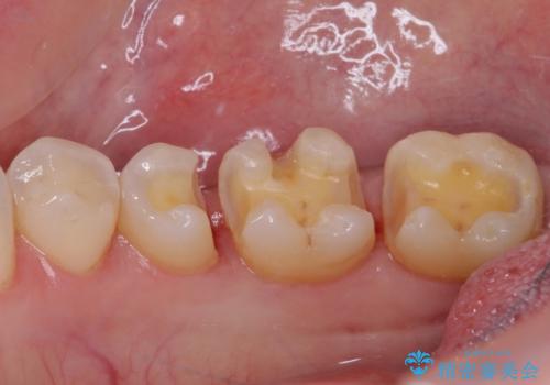
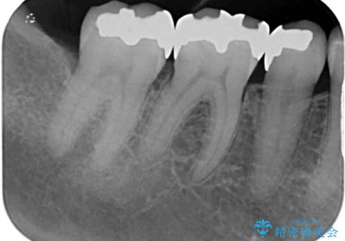
まず麻酔をして銀歯を外し、むし歯を除去し、形を整えて型取りします。
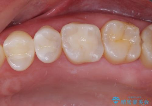
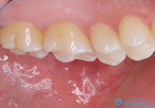
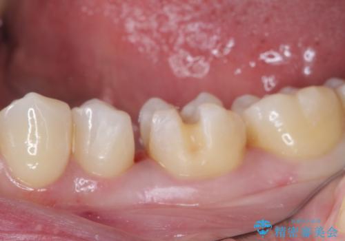
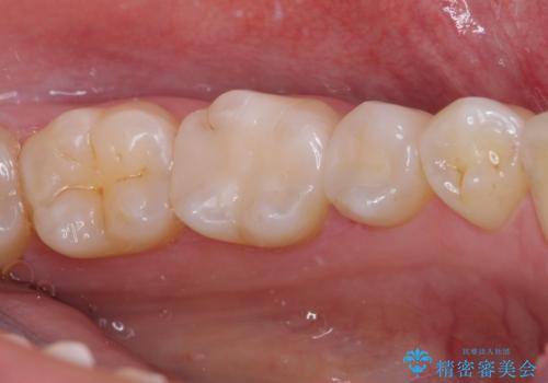
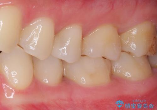
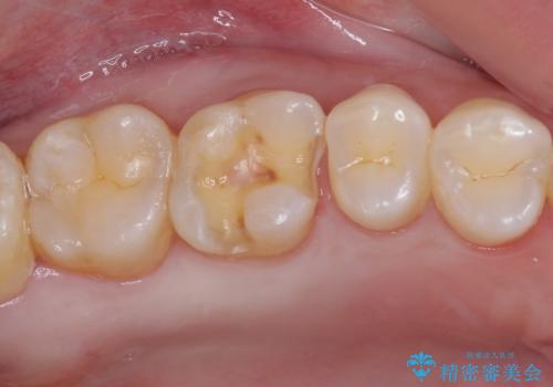
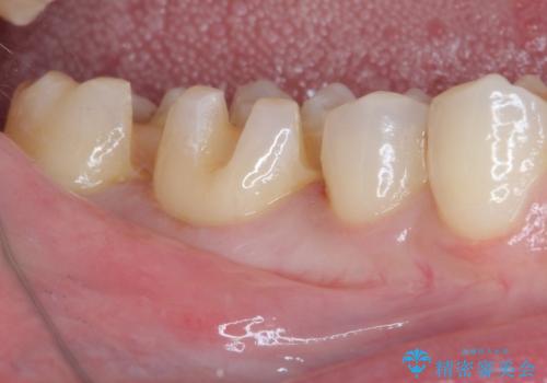
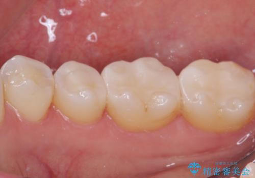
そして次の来院時、セラミックインレーを装着し、噛み合わせなどの調整を行います。
それを左右に分けて行いました。
インレーを装着するときは、唾液や血液による接着力の低下を避けるためにラバーダム防湿を行いました。
- 費用(概算)
- 69万円(税込)費用は治療当時の料金となります
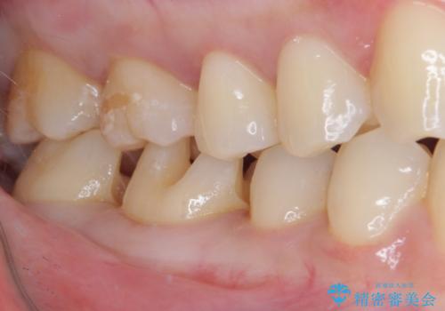
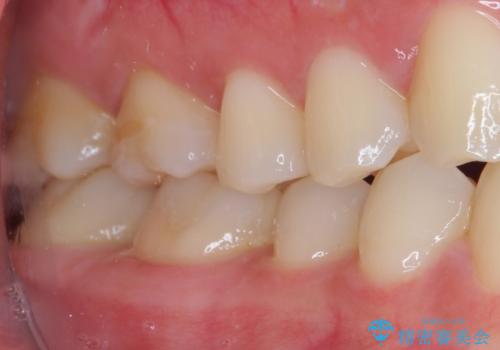
治療について
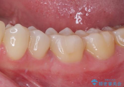
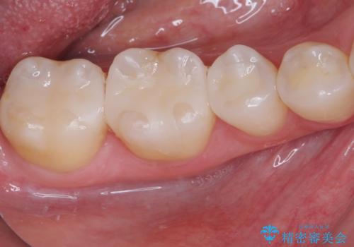
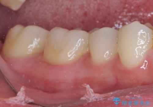
自然な色調で大変満足されました。
セラミック治療の注意事項(リスク・副作用など)
- 天然歯を削ります
- 硬い素材は天然歯を傷つけてしまう場合があります
- かみ合わせや歯ぎしりが強すぎる方はセラミックが割れてしまう可能性があります
- 自費診療(保険適用外治療)となります
当サイトの内容、テキスト、画像等の無断転載、複製、複写、盗用を固く禁じます。


























































