症例詳細
Case detail
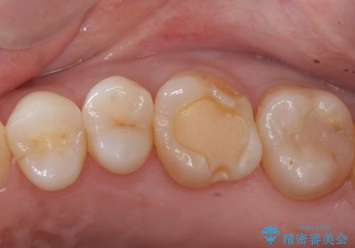
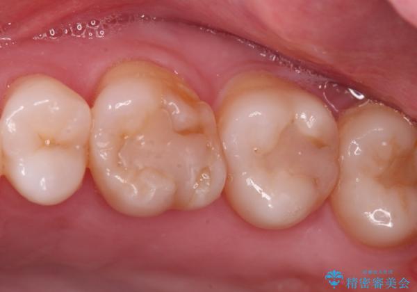
検診で虫歯を発見。
治療症例の内容
- 診療科目
- 治療カテゴリ
- 担当医
- 青山卓弘(ドクタープロフィール)
- 患者様
- 40代女性
- 治療期間
- 1ヶ月
- 治療回数
- 2-5回
- 治療計画
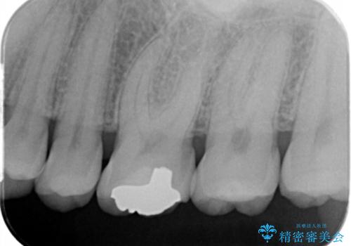
- 昔他院で虫歯治療をしたところが虫歯が再発したとのことで来院。
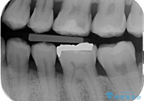
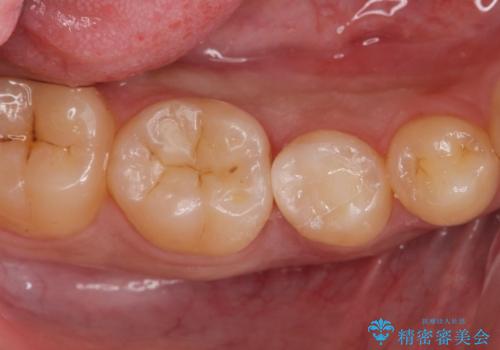
古い材料(プラスチックの樹脂)をとり、拡大鏡下で虫歯を全て取り除き、
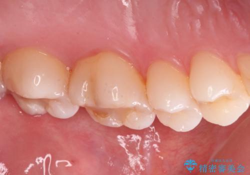
ゴールドインレーにて治療しました。
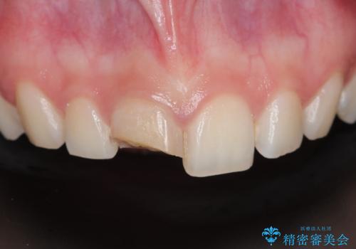
歯の外側の面が少し欠けていて、そこの部分を覆う(ゴールドの範囲が広くなる)か
そこの欠けてる部分は虫歯ではないので削らないで、最小限にして詰め物を作るか相談したところ
欠けているところは何十年も昔から欠けていて特に何もない。なるべく歯を削りたくないとの事だったので
最小限で詰め物の治療をしました。
- 費用(概算)
- ゴールドインレー 7.7万円費用は治療当時の料金となります
インレーについて
ゴールドの詰め物は歯質との隙間ができにくく
虫歯の再発リスクが少なくなります。
PGA(ゴールド)クラウン、インレーの注意事項(リスク・副作用など)
- インレーおよびクラウンは脱離するリスクがあります
- 形成量はセラミックより少ないですが、歯の形成、修復後に歯に症状が出ることがあります
- 自費診療(保険適用外治療)となります
その他の注意事項(リスク・副作用など)
- 担当歯科医師、歯科衛生士又は医院スタッフから受けた説明・注意事項をよくご確認ください
- 医療を提供するに当たり、適切な説明を行い、患者様の十分な理解を得るよう努めております
当サイトの内容、テキスト、画像等の無断転載、複製、複写、盗用を固く禁じます。








