症例詳細
Case detail
【インビザライン】翼状捻転+出っ歯を治したい
治療症例の内容
- 診療科目
- 治療カテゴリ
- 担当医
- 河口智英(ドクタープロフィール)
- 患者様
- 20代女性
- 矯正装置
- インビザライン
- 治療期間
- 2年
- 治療回数
- 10-30回
- 治療計画
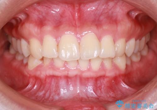
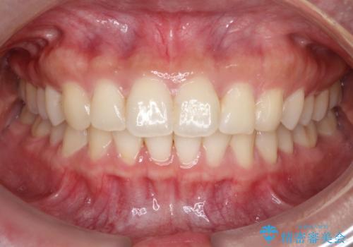
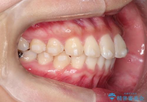
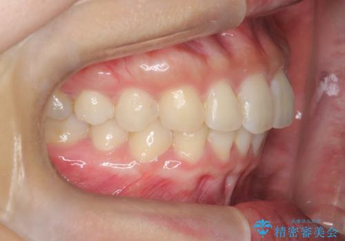
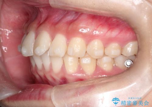
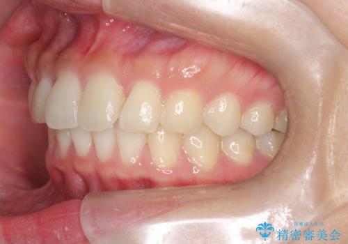
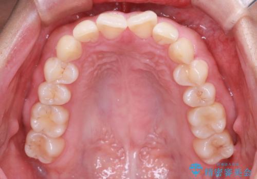
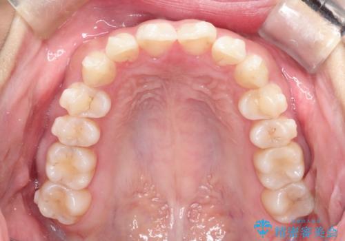
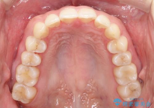
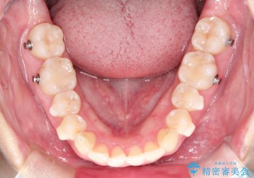
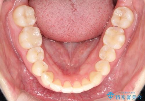
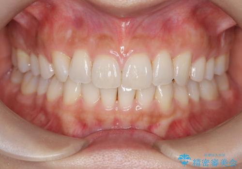
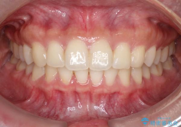
- 前歯の捻れと口元の突出を主訴に来院されました。
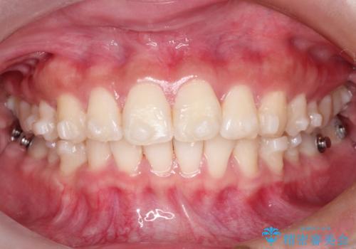
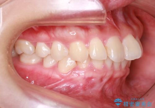
インビザラインを用いて上顎の遠心移動を行い、前歯を下げながら凸凹を綺麗に治すことができました。
- 費用(概算)
- 80万円費用は治療当時の料金となります
治療について
歯を抜かない矯正治療を行う場合、口元は極端には変わりません。
今回は奥歯の遠心移動を行い、できる限り前歯を下げられるように治療を行いました。
マウスピース矯正の注意事項(リスク・副作用など)
- 口腔内・歯並びの状態によっては対応できない場合があります
- マウスピース型矯正装置の長時間装着(1日20時間以上)が必須です
- 治療計画通りに進めるためには、患者様の意志が重要になります
- 矯正治療後の保定が不十分だと後戻り(元の位置に戻ろうとする動き)をします
- 薬機法対象外の矯正歯科装置のため医薬品副作用被害救済制度の対象外となる場合があります
- 自費診療(保険適用外)となります
当サイトの内容、テキスト、画像等の無断転載、複製、複写、盗用を固く禁じます。



















