症例詳細
Case detail
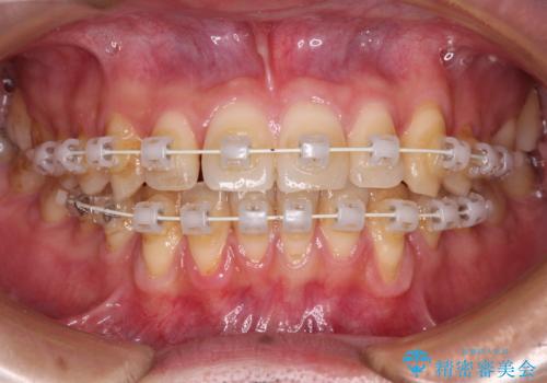
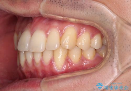
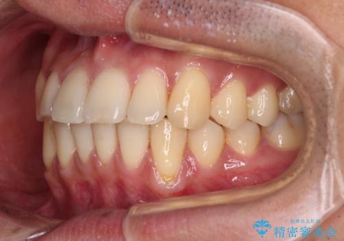
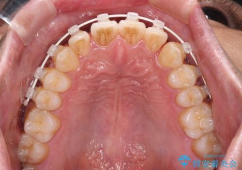
ワイヤー装置での上下前歯の部分矯正
治療症例の内容
- 診療科目
- 治療カテゴリ
- 担当医
- 藤巻太一朗(ドクタープロフィール)
- 患者様
- 30代男性
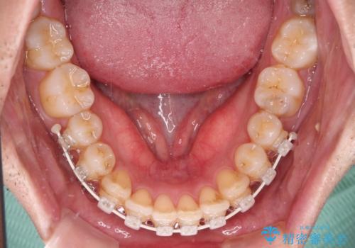
- 矯正装置
- 審美装置
- 治療期間
- 1年
- 治療回数
- 10-30回
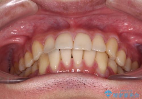
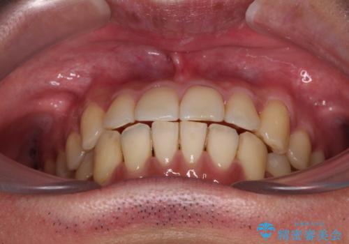
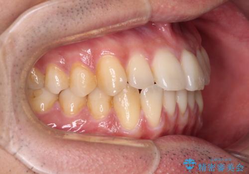
- 治療計画
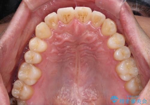
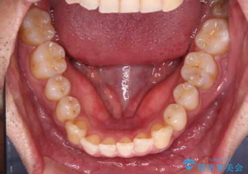
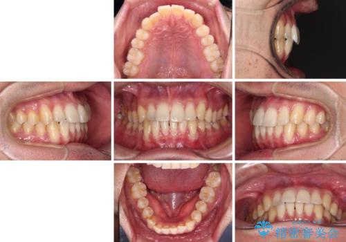
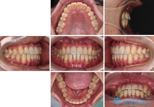
- 上下前歯のデコボコを気にして来院された患者様です。
口元の突出感や奥歯の咬み合わせに問題がなかったため、インビザラインの廉価版パッケージを用いるか上下ワイヤー装置での部分矯正を提案しました。
インビザライン廉価版パッケージの方が価格としては安価でしたが、日々の自己管理が煩雑であるとのことで、ワイヤー装置にて矯正治療を行うこととしました。
- 費用(概算)
- 治療費の目安: 60万円(税込)費用は治療当時の料金となります
治療について
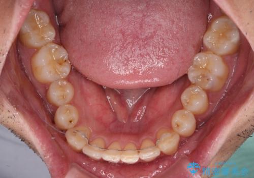
部分矯正は咬み合わせが不安定になったり、スペースができてしまったりと、適用となる患者様は極めて限られますが、こちらの方はスムーズに治療を終えることができました。
ワイヤー矯正の注意事項(リスク・副作用など)
- 治療中は違和感や痛みが起こることがあります
- 症状により、抜歯が必要な場合があります
- 治療中は歯磨きがしにくくなるため、虫歯や歯周病になりやすくなります
- 矯正治療後の保定が不十分だと後戻り(元の位置に戻ろうとする動き)をします
- 自費診療(保険適用外)となります
当サイトの内容、テキスト、画像等の無断転載、複製、複写、盗用を固く禁じます。


























