症例詳細
Case detail
少しでも口元を閉じやすく インビザラインによる前突の解消
治療症例の内容
- 診療科目
- 治療カテゴリ
- 担当医
- 藤巻太一朗(ドクタープロフィール)
- 患者様
- 30代男性
- 矯正装置
- インビザライン
- 治療期間
- 5年2ヶ月
- 治療回数
- 10-30回
- 治療計画
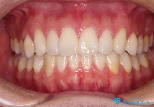
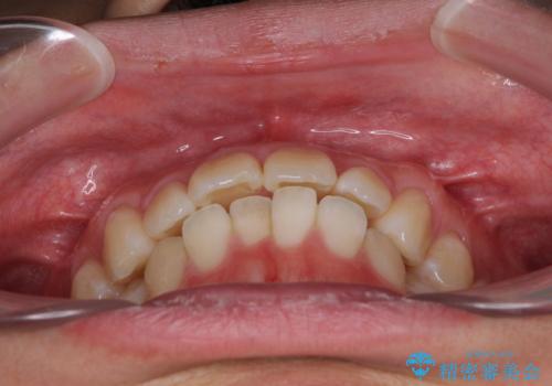
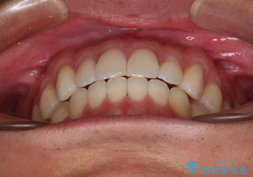
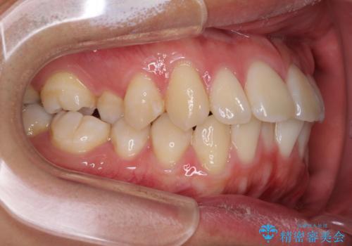
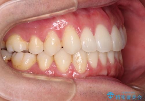
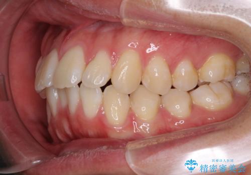
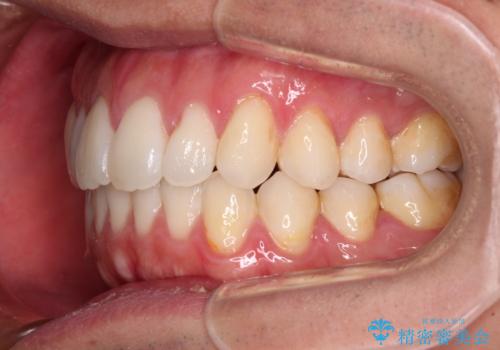
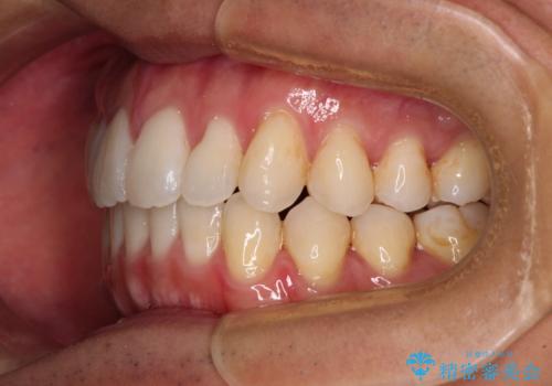
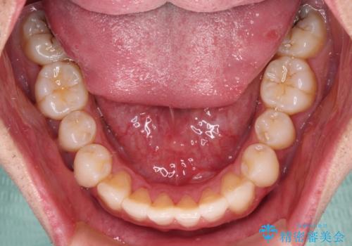
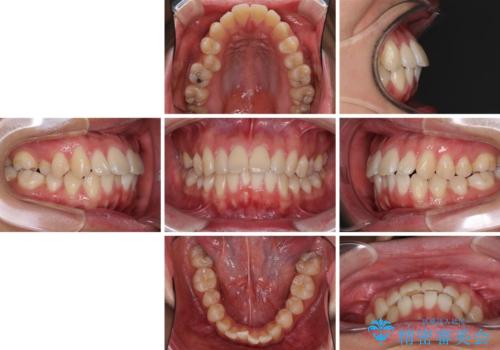
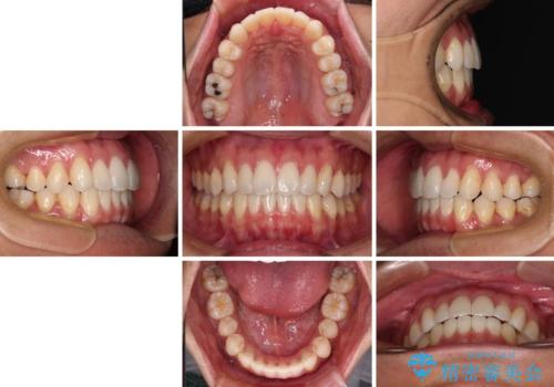
- 全体的なデコボコと、前歯の前に出ている感じを気にして来院された患者様です。
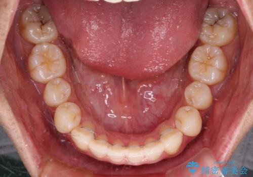
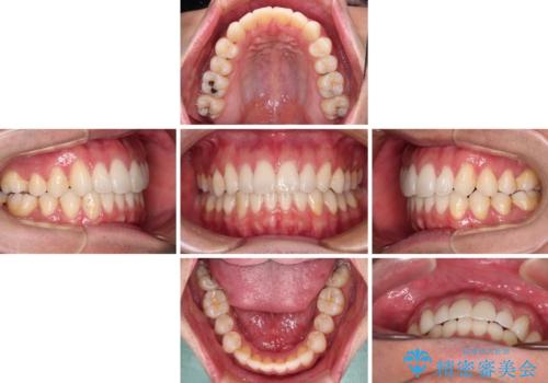
患者様と相談の上、非抜歯にてインビザラインを用いて矯正治療を行うこととし、IPR(歯と歯の間)並びに歯列全体の後方移動により口元の突出感の改善することとしました。
- 費用(概算)
- 治療費の目安: 90万円(税込)費用は治療当時の料金となります
治療について
お仕事が忙しい方で、装着時間が不足したり、定期的な通院ができなかったりと、自己管理が重要なインビザラインによる矯正治療が長期化する要因が重なり、5年ほどの期間を要しました。
マウスピース矯正の注意事項(リスク・副作用など)
- 口腔内・歯並びの状態によっては対応できない場合があります
- マウスピース型矯正装置の長時間装着(1日20時間以上)が必須です
- 治療計画通りに進めるためには、患者様の意志が重要になります
- 矯正治療後の保定が不十分だと後戻り(元の位置に戻ろうとする動き)をします
- 薬機法対象外の矯正歯科装置のため医薬品副作用被害救済制度の対象外となる場合があります
- 自費診療(保険適用外)となります
当サイトの内容、テキスト、画像等の無断転載、複製、複写、盗用を固く禁じます。



























