症例詳細
Case detail
前歯のがたつきを改善してしっかり噛める歯並びへ:インビザライン治療
治療症例の内容
- 診療科目
- 担当医
- 患者様
- 20代女性
- 矯正装置
- インビザラインFULL
- 治療期間
- 1年4ヶ月
- 治療回数
- 10-30回
- 治療計画
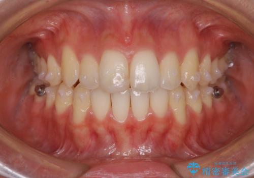
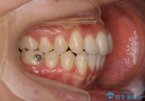
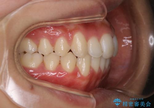
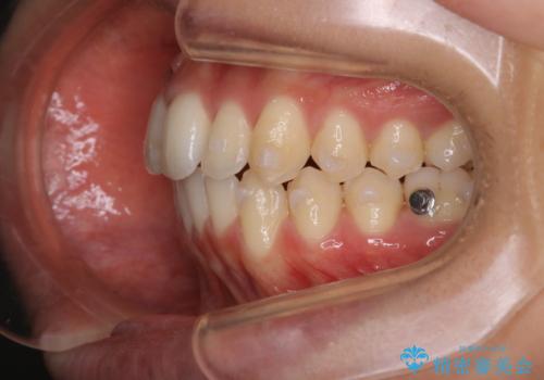
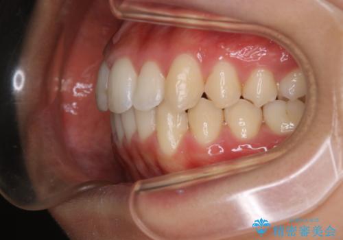
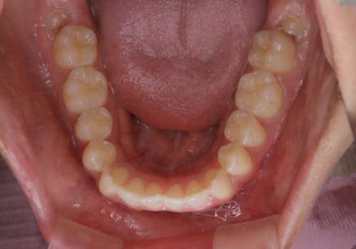
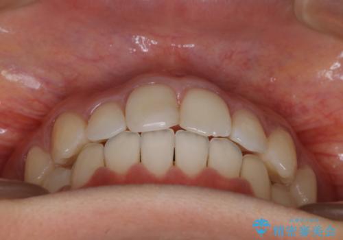
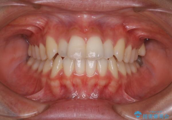
- 上の前歯が内側に入っているのが気になるとの事でご相談にいらした方です。インビザラインFULLで綺麗に並べました。
- 費用(概算)
- 78万円(税込み)費用は治療当時の料金となります
治療について
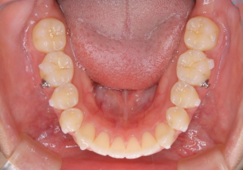
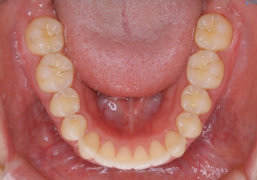
前歯のがたつきが解消され、上下の前歯の隙間が無くなったことで食事がしやすくなり大変喜んでいただけました。
マウスピース矯正の注意事項(リスク・副作用など)
- 口腔内・歯並びの状態によっては対応できない場合があります
- マウスピース型矯正装置の長時間装着(1日20時間以上)が必須です
- 治療計画通りに進めるためには、患者様の意志が重要になります
- 矯正治療後の保定が不十分だと後戻り(元の位置に戻ろうとする動き)をします
- 薬機法対象外の矯正歯科装置のため医薬品副作用被害救済制度の対象外となる場合があります
- 自費診療(保険適用外)となります
当サイトの内容、テキスト、画像等の無断転載、複製、複写、盗用を固く禁じます。





















