症例詳細
Case detail
奥歯の虫歯 セラミックインレーでの治療
治療症例の内容
- 診療科目
- 治療カテゴリ
- 担当医
- 岡田康成(ドクタープロフィール)
- 患者様
- 40代女性
- 治療期間
- 1ヶ月
- 治療回数
- 2-5回
- 治療計画
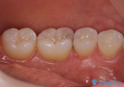
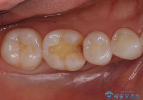
- 奥歯の黒ずみが気になるとのことで来院されました。
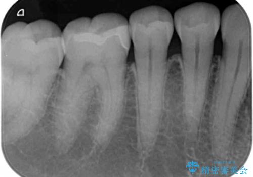
検査の結果、歯と歯の間に小さな虫歯ができていることが確認できました。
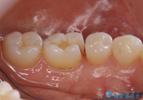
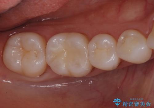
白い詰め物をご希望されたため、今回はセラミックインレーでの治療となりました。
- 費用(概算)
- 右下6 セラミックインレー 77,000円費用は治療当時の料金となります
治療について
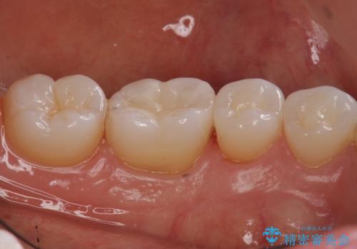
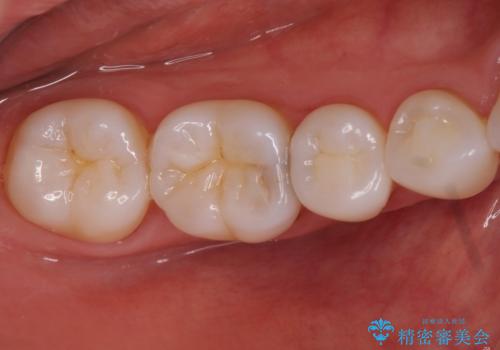
黒ずみもなくなり、虫歯も取り切ることができ大変満足していただけました。
虫歯の除去後に適合の良い修復物を装着することは今後の虫歯リスクを減らすことに繋がります。
セラミック治療の注意事項(リスク・副作用など)
- 天然歯を削ります
- 硬い素材は天然歯を傷つけてしまう場合があります
- かみ合わせや歯ぎしりが強すぎる方はセラミックが割れてしまう可能性があります
- 自費診療(保険適用外治療)となります
当サイトの内容、テキスト、画像等の無断転載、複製、複写、盗用を固く禁じます。







