症例詳細
Case detail
歯が黒くなってきた 虫歯のセラミック治療
治療症例の内容
- 診療科目
- 治療カテゴリ
- 担当医
- 大元洋佑(ドクタープロフィール)
- 患者様
- 20代女性
- 治療期間
- 1ヶ月
- 治療回数
- 2-5回
- 治療計画
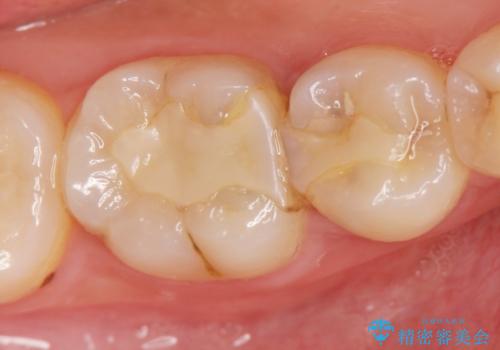
- 以前虫歯治療を行い、詰めた箇所が黒く変色し不安になり検査を求めて来院されました。
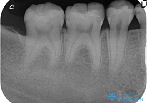
X線撮影を行った結果、詰めた箇所の下部に虫歯の再発を認めました。
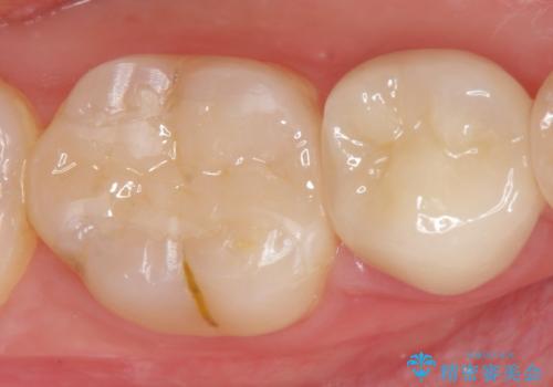
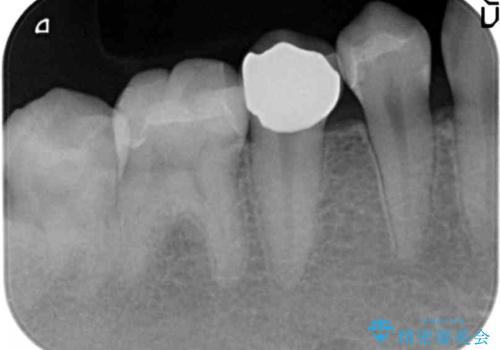
再発した虫歯は神経に近いことが多く、丁寧に除去することで神経を温存し、精密なセラミック修復を行うことで更なる虫歯の再発を防ぎます。
- 費用(概算)
- 19.8万円 (セラミックインレー 仮歯・ジルコニアクラウン)費用は治療当時の料金となります
治療について
虫歯治療後の虫歯の再発は、神経の治療(根管治療)が必要になることも多くなってしまいます。
虫歯の再発を防ぐよう、しっかりと虫歯を除去すること、削り取った部分を封鎖することが重要です。
セラミック治療の注意事項(リスク・副作用など)
- 天然歯を削ります
- 硬い素材は天然歯を傷つけてしまう場合があります
- かみ合わせや歯ぎしりが強すぎる方はセラミックが割れてしまう可能性があります
- 自費診療(保険適用外治療)となります
当サイトの内容、テキスト、画像等の無断転載、複製、複写、盗用を固く禁じます。





