症例詳細
Case detail
奥歯の放置した虫歯 セラミックでの治療
治療症例の内容
- 診療科目
- 担当医
- 岡田康成(ドクタープロフィール)
- 患者様
- 20代女性
- 治療期間
- 2ヶ月
- 治療回数
- 2-5回
- 治療計画
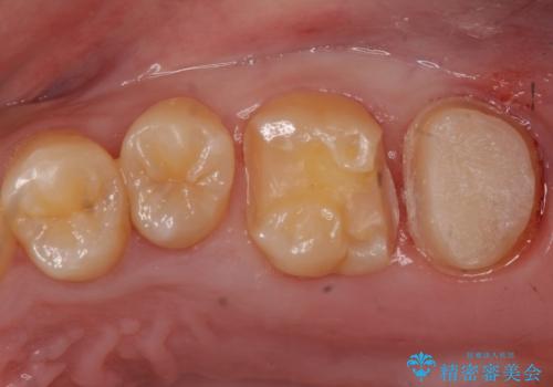
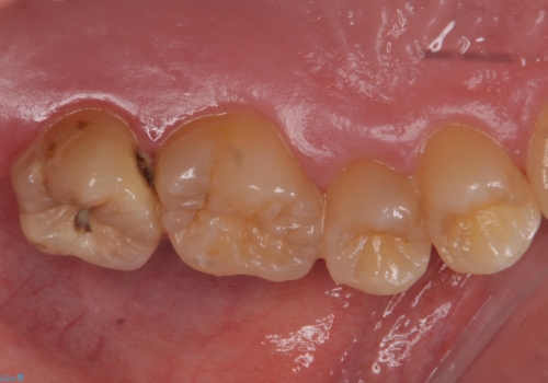
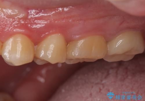
- 奥歯に穴が開いた気がするとのことで来院。
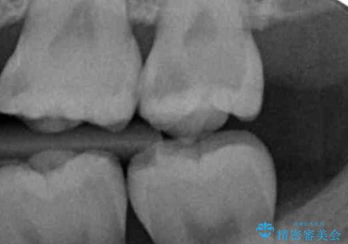
検査の結果、左上の奥歯に大きな虫歯があることが確認できました。
患者様のご希望もあり、今回はセラミックでの治療となりました。
- 費用(概算)
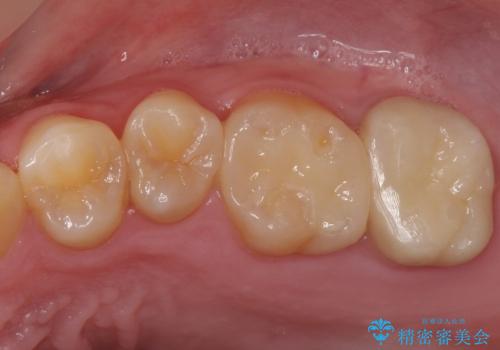
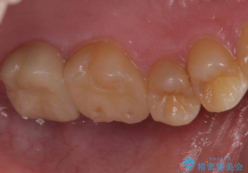
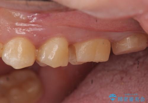
- 左上6:セラミックインレー/77,000円 左上7:仮歯+ジルコニアクラウン/11,000+110,000円費用は治療当時の料金となります
治療について
歯の表面に穴が開くほどの虫歯は歯の中でかなり大きくなっていることが多いです。
虫歯の除去後は適合の良い修復物を入れることで今後の虫歯リスクを減らします。
セラミック治療の注意事項(リスク・副作用など)
- 天然歯を削ります
- 硬い素材は天然歯を傷つけてしまう場合があります
- かみ合わせや歯ぎしりが強すぎる方はセラミックが割れてしまう可能性があります
- 自費診療(保険適用外治療)となります
当サイトの内容、テキスト、画像等の無断転載、複製、複写、盗用を固く禁じます。











