症例詳細
Case detail
【ハーフリンガル】口元を下げたい!
治療症例の内容
- 診療科目
- 治療カテゴリ
- 担当医
- 河口智英(ドクタープロフィール)
- 患者様
- 20代女性
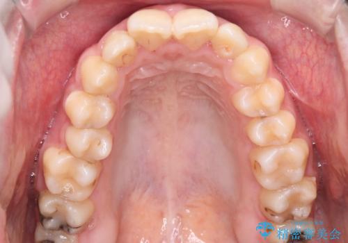
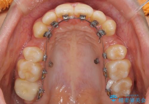
- 矯正装置
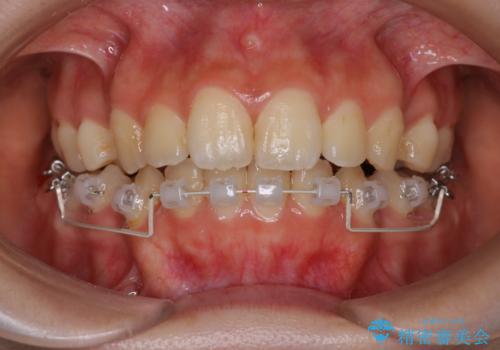
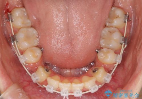
- ハーフリンガル
- 治療期間
- 3年
- 治療回数
- 10-30回
- 治療計画
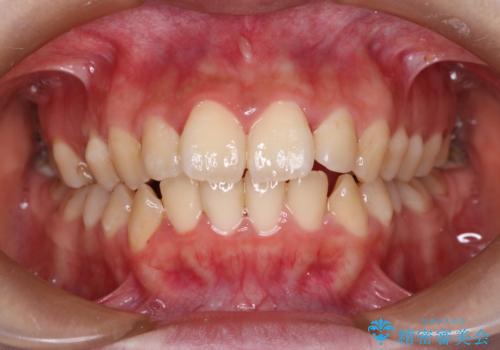
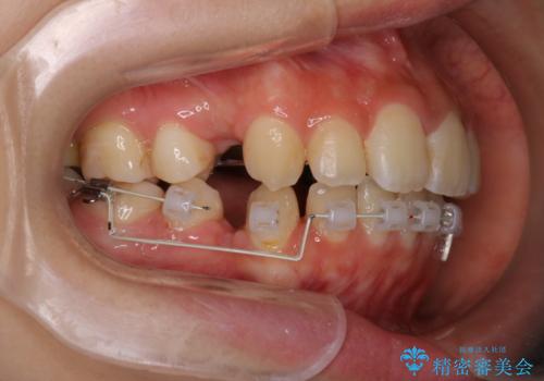
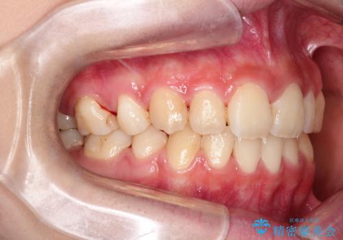
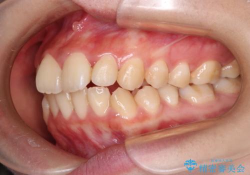
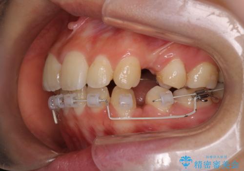
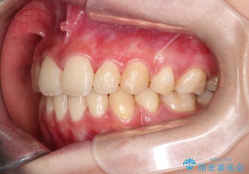
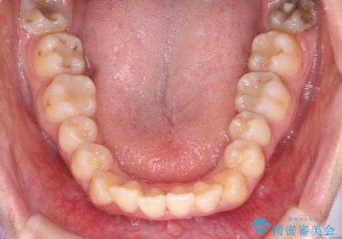
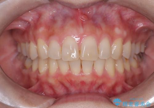
- 口元が出ていることを主訴に来院されました。
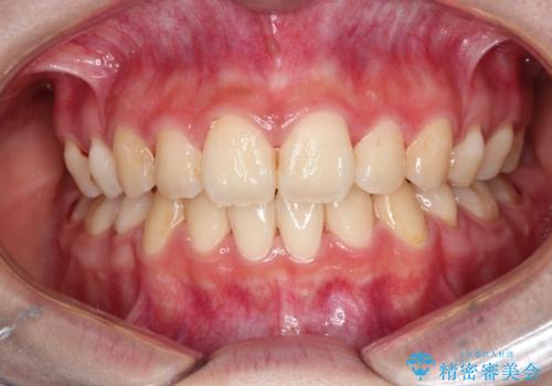
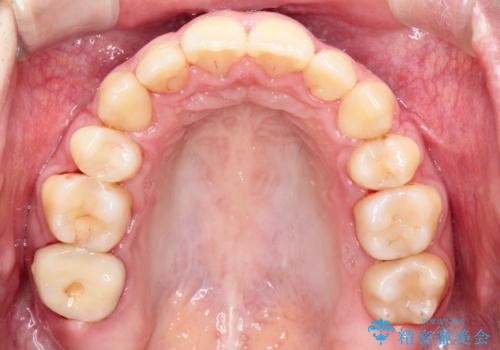
歯を抜いてスペースを作ることで、前歯を下げることができました。
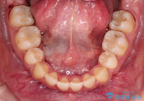
ハーフリンガルということで治療期間が3年近くかかりましたが、口元もしっかり下がり満足していただきました。
- 費用(概算)
- 120万円費用は治療当時の料金となります
治療について
裏側の装置は、汚れが溜まりやすく虫歯や歯周病にかかりやすいというリスクが増加します。
ワイヤー矯正の注意事項(リスク・副作用など)
- 治療中は違和感や痛みが起こることがあります
- 症状により、抜歯が必要な場合があります
- 治療中は歯磨きがしにくくなるため、虫歯や歯周病になりやすくなります
- 矯正治療後の保定が不十分だと後戻り(元の位置に戻ろうとする動き)をします
- 自費診療(保険適用外)となります
当サイトの内容、テキスト、画像等の無断転載、複製、複写、盗用を固く禁じます。



















