症例詳細
Case detail
前歯のセラミック治療
治療症例の内容
- 診療科目
- 治療カテゴリ
- 担当医
- 青山卓弘(ドクタープロフィール)
- 患者様
- 40代男性
- 治療期間
- 1ヶ月
- 治療回数
- 2-5回
- 治療計画
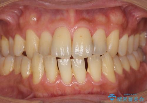
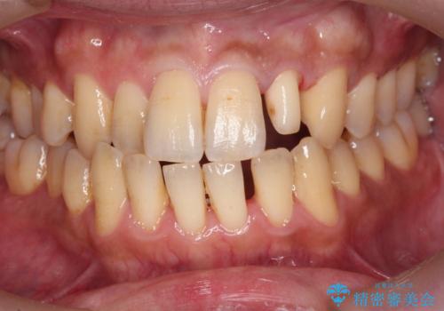
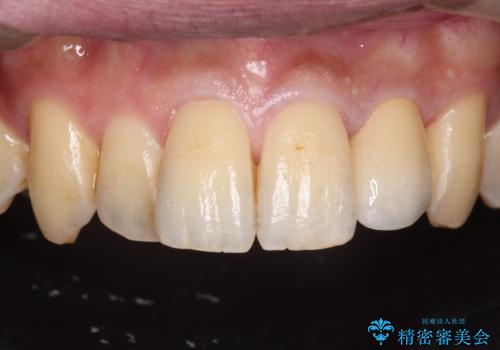
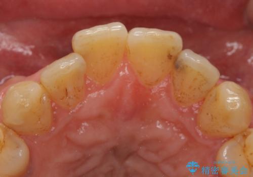
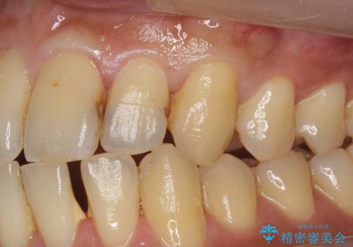
- 左の前歯が黒いとのことで来院。
1番目の歯は小さい虫歯があったのでプラスチックの樹脂で治療をしました(保険内)。
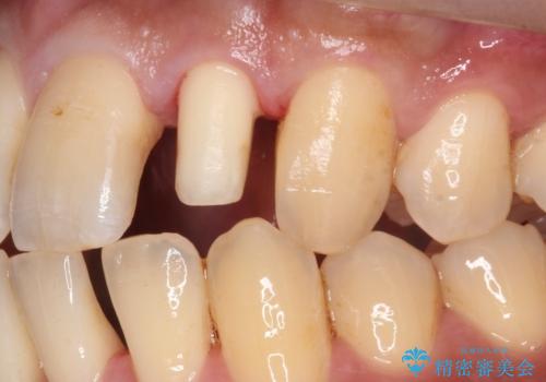
2番目の歯は二箇所虫歯があり、プラスチックの樹脂で治療するとつぎはぎみたいになってしまうので、
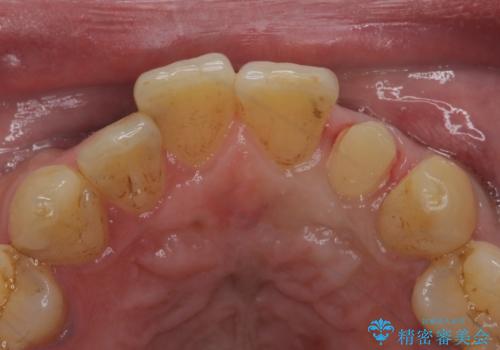
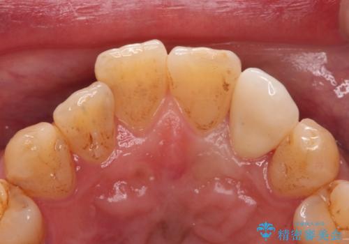
白い被せ物(ジルコニアクラウン)で治療しました。
- 費用(概算)
- ジルコニアクラウン(スペシャル) 仮歯 15.4万円費用は治療当時の料金となります
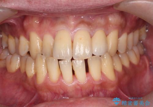
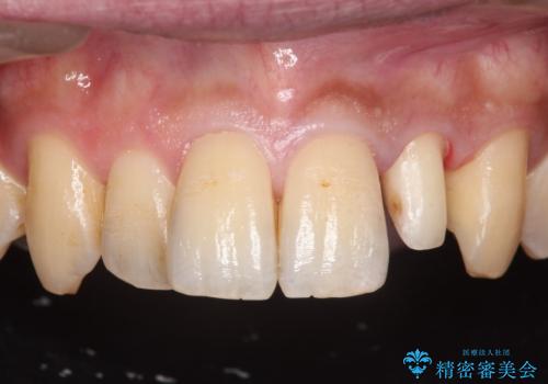
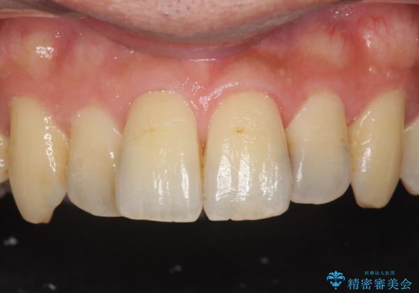
ジルコニアクラウンについて
ジルコニアクラウンは表面がツルツルして
汚れ(細菌)や着色がつきにくいです。
ジルコニアクラウンスペシャルはジルコニアクラウンスタンダードに比べ
色のバリエーションが多く、よりご自身の天然歯の色と合うように作れます。
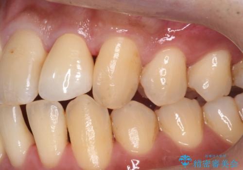
自然な被せ物が入り、大変満足して頂けました。
セラミック治療の注意事項(リスク・副作用など)
- 天然歯を削ります
- 硬い素材は天然歯を傷つけてしまう場合があります
- かみ合わせや歯ぎしりが強すぎる方はセラミックが割れてしまう可能性があります
- 自費診療(保険適用外治療)となります
その他の注意事項(リスク・副作用など)
- 担当歯科医師、歯科衛生士又は医院スタッフから受けた説明・注意事項をよくご確認ください
- 医療を提供するに当たり、適切な説明を行い、患者様の十分な理解を得るよう努めております
当サイトの内容、テキスト、画像等の無断転載、複製、複写、盗用を固く禁じます。















