症例詳細
Case detail
銀の詰め物をオールセラミックで白くしたい
治療症例の内容
- 診療科目
- 治療カテゴリ
- 担当医
- 岡田康成(ドクタープロフィール)
- 患者様
- 20代女性
- 治療期間
- 1ヶ月
- 治療回数
- 2-5回
- 治療計画
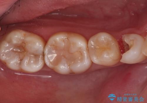
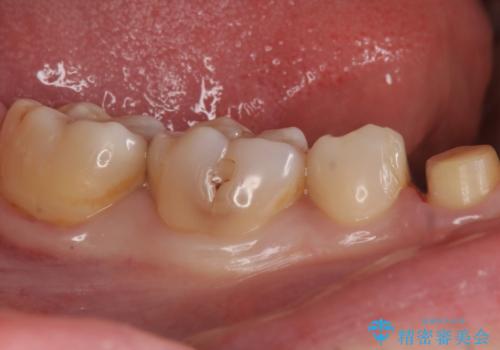
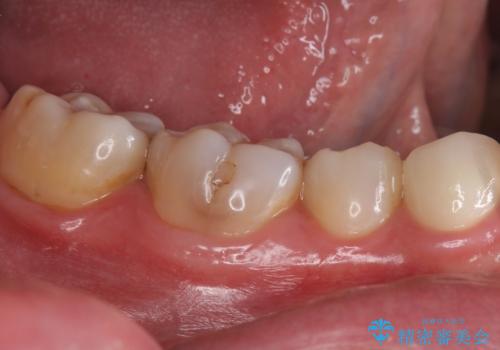
- 銀歯が目立つから白くしたいとのことで来院されました。
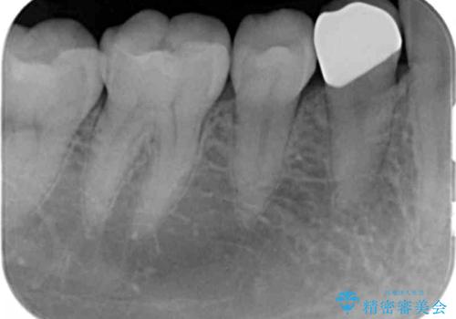
当初は元の詰め物と同じインレータイプでの修復予定でしたが、残った歯の厚みが薄く、今後の破折リスクを考慮しクラウンタイプでの修復処置となりました。
- 費用(概算)
- 右下4 仮歯+ジルコニアクラウン 11000円+110000円費用は治療当時の料金となります
治療について
残った歯が薄い状態で保存するとその後の破折リスクが高くなります。
予防的に歯を削りクラウンにすることで治療後の破折リスクを減らすことができます。
セラミック治療の注意事項(リスク・副作用など)
- 天然歯を削ります
- 硬い素材は天然歯を傷つけてしまう場合があります
- かみ合わせや歯ぎしりが強すぎる方はセラミックが割れてしまう可能性があります
- 自費診療(保険適用外治療)となります
当サイトの内容、テキスト、画像等の無断転載、複製、複写、盗用を固く禁じます。








