症例詳細
Case detail
銀歯を白くしたい セラミッククラウンでのやり替え
治療症例の内容
- 診療科目
- 治療カテゴリ
- 担当医
- 岡田康成(ドクタープロフィール)
- 患者様
- 20代男性
- 治療期間
- 1ヶ月
- 治療回数
- 2-5回
- 治療計画
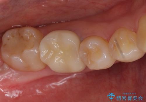
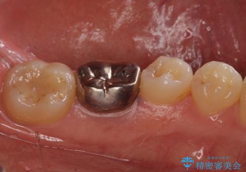
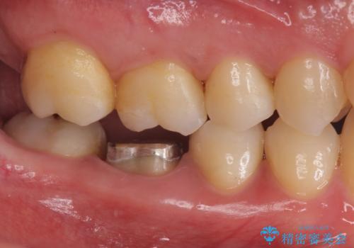
- 右下の奥歯に入れた銀歯を白くしたいとのことで来院されました。
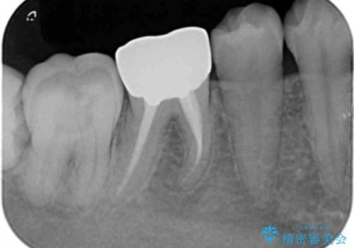
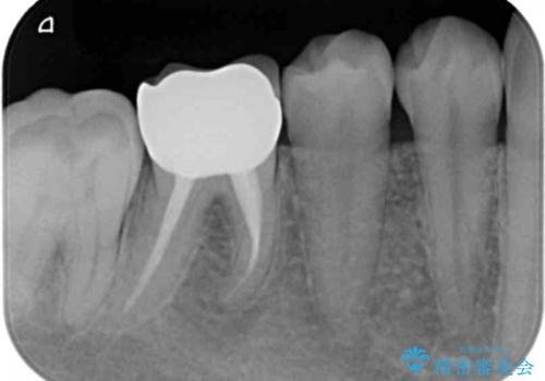
根っこの治療がされていますが、症状もなくレントゲン画像で病変も確認できないため根管内には触れず被せ物のやり替えのみとなりました。
- 費用(概算)
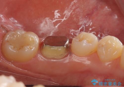
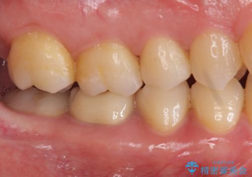
- 右下6 仮歯+セラミッククラウン 11000円+110000円費用は治療当時の料金となります
治療について
下の奥歯は口を開くと簡単に外から見えてしまいます。
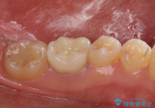
銀色だった歯が白くなったことで大変喜んでいただけました。
セラミック治療の注意事項(リスク・副作用など)
- 天然歯を削ります
- 硬い素材は天然歯を傷つけてしまう場合があります
- かみ合わせや歯ぎしりが強すぎる方はセラミックが割れてしまう可能性があります
- 自費診療(保険適用外治療)となります
当サイトの内容、テキスト、画像等の無断転載、複製、複写、盗用を固く禁じます。











