症例詳細
Case detail
奥歯の詰め物の変色 セラミッククラウンでのやり替え
治療症例の内容
- 診療科目
- 治療カテゴリ
- 担当医
- 岡田康成(ドクタープロフィール)
- 患者様
- 20代男性
- 治療期間
- 1ヶ月
- 治療回数
- 2-5回
- 治療計画
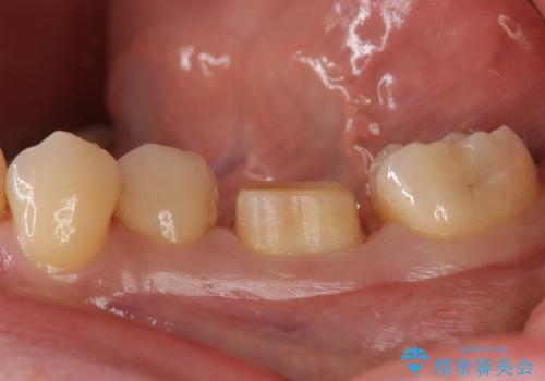
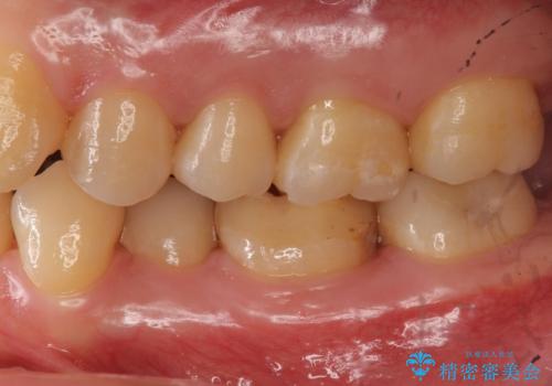
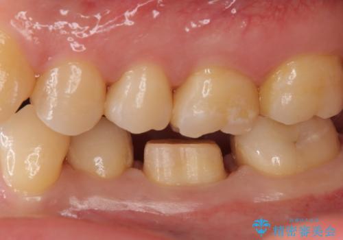
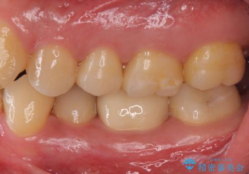
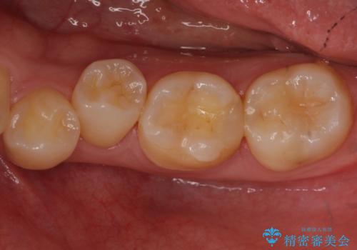
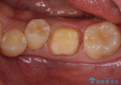
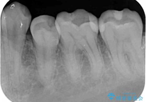
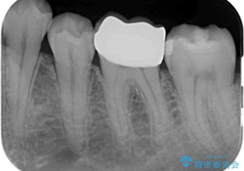
- 左下に詰めた樹脂の変色を主訴に来院されました。
同じ樹脂の材料で詰め直しをしたところでまた変色してしまうリスクが高いため、セラミックでの治療となりました。
- 費用(概算)
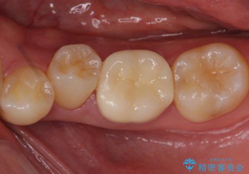
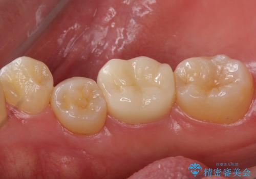
- 左下6 仮歯+セラミッククラウン 11000円+110000円費用は治療当時の料金となります
治療について
樹脂の材料はどうしても変色などの劣化スピードが速いです。
樹脂の変色が気になる場合は、劣化しにくいセラミックに材料ごと変えることをお勧めします。
セラミック治療の注意事項(リスク・副作用など)
- 天然歯を削ります
- 硬い素材は天然歯を傷つけてしまう場合があります
- かみ合わせや歯ぎしりが強すぎる方はセラミックが割れてしまう可能性があります
- 自費診療(保険適用外治療)となります
当サイトの内容、テキスト、画像等の無断転載、複製、複写、盗用を固く禁じます。














