症例詳細
Case detail
上下前歯の前歯と腫れやすい歯肉 インビザライン矯正で改善
治療症例の内容
- 診療科目
- 担当医
- 藤巻太一朗(ドクタープロフィール)
- 患者様
- 30代女性
- 矯正装置
- インビザライン
- 治療期間
- 1年6ヶ月
- 治療回数
- 10-30回
- 治療計画
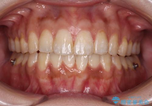
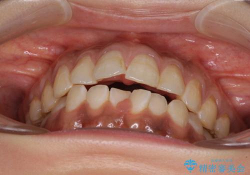
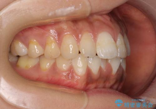
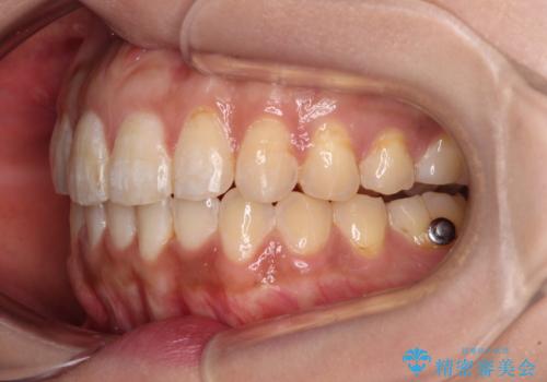
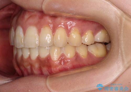
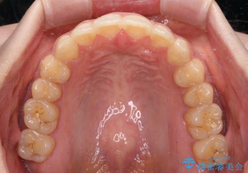
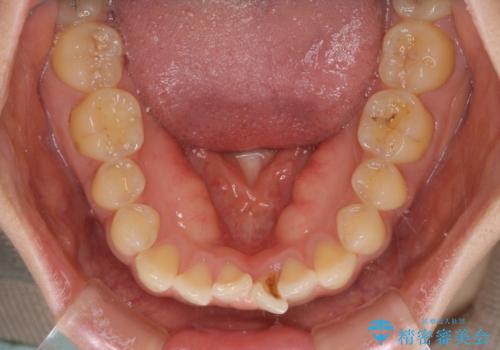
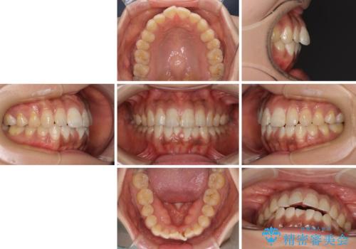
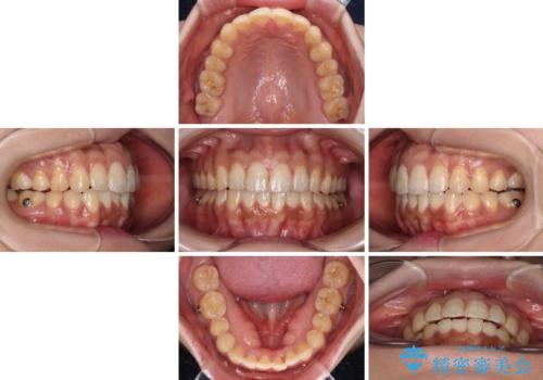
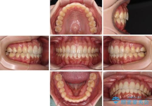
- 前歯のデコボコと上下前歯の隙間を気にして来院された患者様です。
下顎前歯はデコボコのため、歯肉が腫れやすくなっていました。
また、舌突出癖のため、上下前歯の間に隙間ができてしまい、上顎前歯が前方に傾斜している状態でした。
舌突出癖改善のためのトレーニングを行いながら、インビザラインにて矯正治療を行うこととしました。
- 費用(概算)
- 治療費の目安: 90万円(税込)費用は治療当時の料金となります
治療について
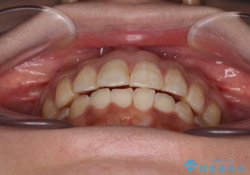
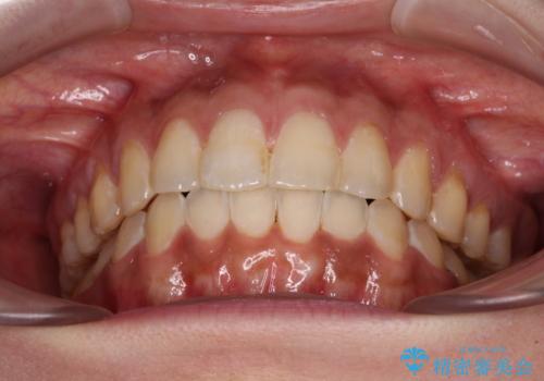
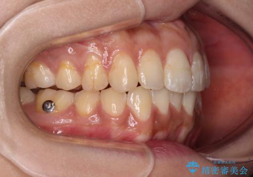
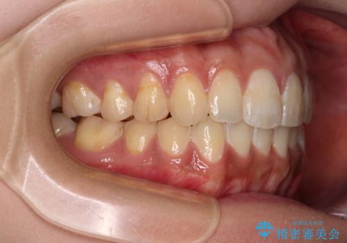
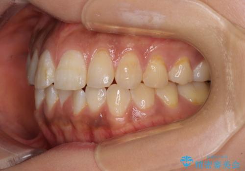
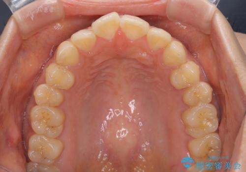
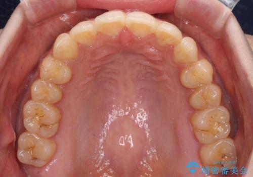
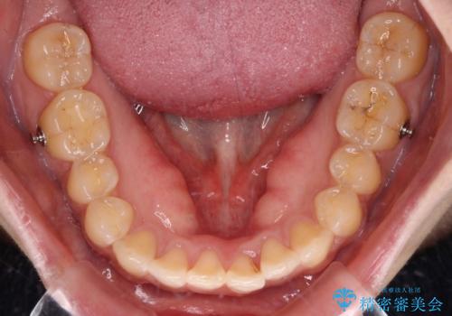
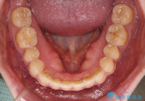
舌のトレーニングをしっかりと行っていただき、上下前歯をしっかりと接触させることができました。
咬合力が強いため、治療途中に奥歯が咬み合わない期間が続きましたが、上下の奥歯でゴムかけを行っていただき、違和感なく咬み合うように仕上げることができました。
マウスピース矯正の注意事項(リスク・副作用など)
- 口腔内・歯並びの状態によっては対応できない場合があります
- マウスピース型矯正装置の長時間装着(1日20時間以上)が必須です
- 治療計画通りに進めるためには、患者様の意志が重要になります
- 矯正治療後の保定が不十分だと後戻り(元の位置に戻ろうとする動き)をします
- 薬機法対象外の矯正歯科装置のため医薬品副作用被害救済制度の対象外となる場合があります
- 自費診療(保険適用外)となります
当サイトの内容、テキスト、画像等の無断転載、複製、複写、盗用を固く禁じます。



























