症例詳細
Case detail
【モニター】前歯のクロスバイトをインビザラインで治療
治療症例の内容
- 診療科目
- 治療カテゴリ
- 担当医
- 藤巻太一朗(ドクタープロフィール)
- 患者様
- 20代女性
- 矯正装置
- インビザライン
- 治療期間
- 1年9ヶ月
- 治療回数
- 10-30回
- 治療計画
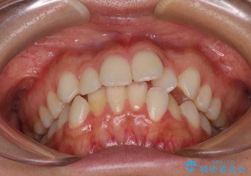
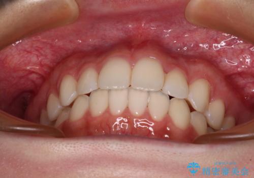
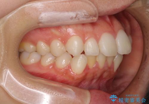
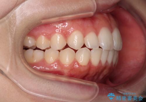
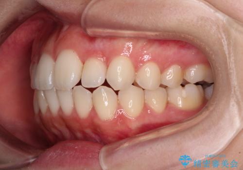
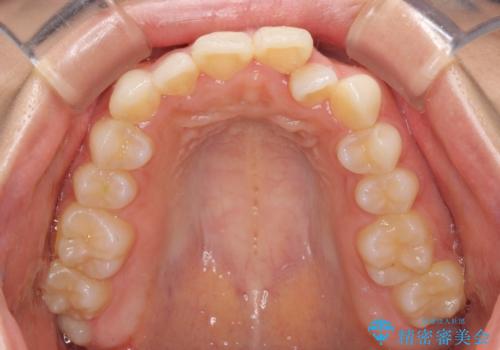
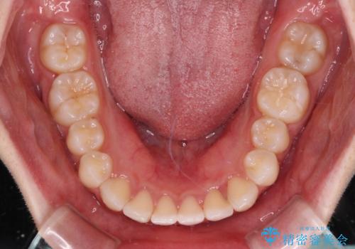
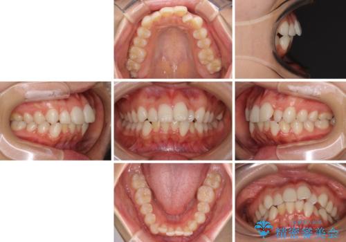
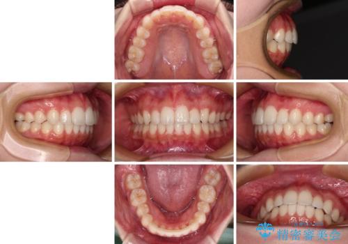
- 前歯のデコボコとクロスバイトを気にして来院された患者様です。
上顎側切歯(上の真ん中から2番目の歯)が舌側転位している場合、インビザラインでは仕上げきれないことが多く、更には無理して動かそうとすると歯髄壊死を起こすリスクが高いと言われています。
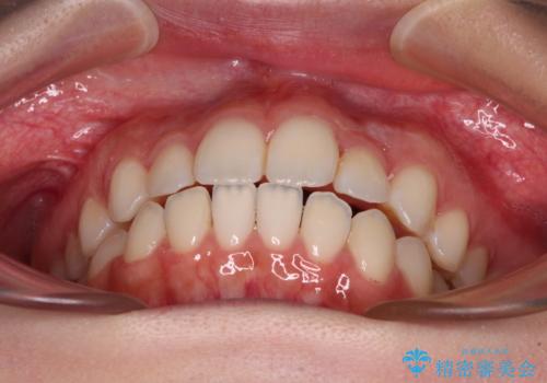
今回は、ワイヤー装置を併用することなく、インビザライン単体で矯正治療を行うこととしました。
- 費用(概算)
- 治療費の目安: 70万円(税込)費用は治療当時の料金となります
※顔写真掲載にあたり、患者様の了解を得ております
治療について
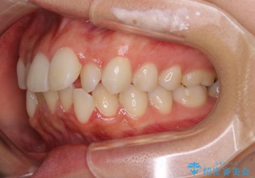
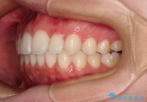
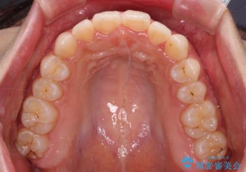
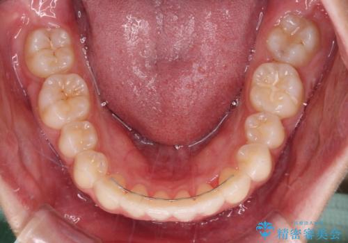
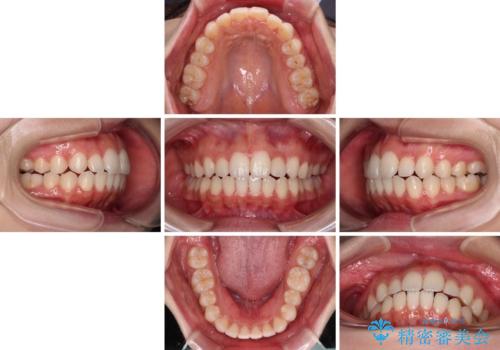
インビザライン特有の、奥歯の咬み合わせの問題もなく、しっかりと歯列を改善することができました。
舌側転位している上顎側切歯(内側に引っ込んでいる真ん中から2番目の歯)は、インビザラインが最も移動を苦手とする歯であり、これ以上の改善を望まれる場合にはワイヤー矯正、あるいはワイヤー矯正の併用をお勧めいたします。
マウスピース矯正の注意事項(リスク・副作用など)
- 口腔内・歯並びの状態によっては対応できない場合があります
- マウスピース型矯正装置の長時間装着(1日20時間以上)が必須です
- 治療計画通りに進めるためには、患者様の意志が重要になります
- 矯正治療後の保定が不十分だと後戻り(元の位置に戻ろうとする動き)をします
- 薬機法対象外の矯正歯科装置のため医薬品副作用被害救済制度の対象外となる場合があります
- 自費診療(保険適用外)となります
当サイトの内容、テキスト、画像等の無断転載、複製、複写、盗用を固く禁じます。



























