症例詳細
Case detail
狭い歯列を拡大 拡大装置を併用したインビザライン矯正
治療症例の内容
- 診療科目
- 担当医
- 藤巻太一朗(ドクタープロフィール)
- 患者様
- 20代女性
- 矯正装置
- インビザライン
- 治療期間
- 3年
- 治療回数
- 10-30回
- 治療計画
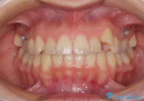
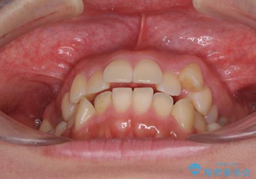
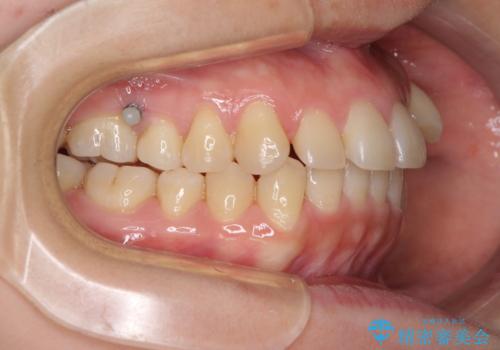
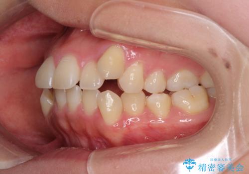
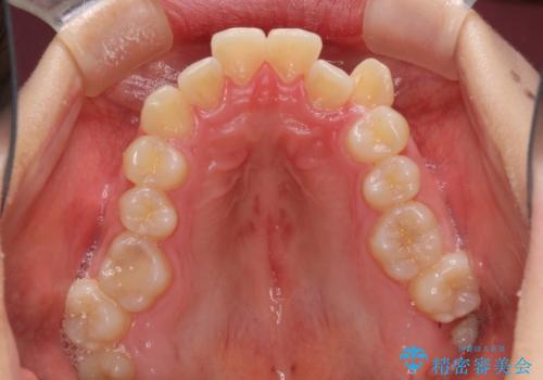
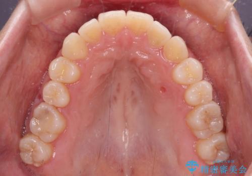
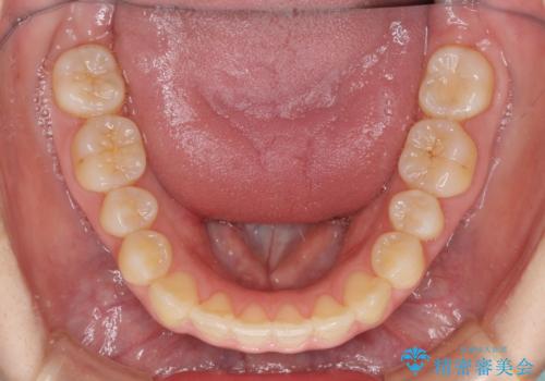
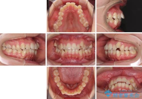
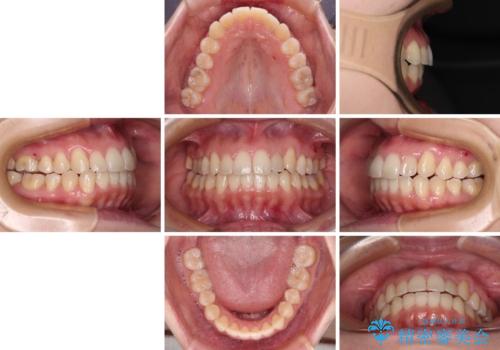
- 八重歯と前歯のデコボコを気にして来院された患者様です。
八重歯の他に、上顎歯列を狭窄しているという問題点がありました。
また、八重歯により上顎奥歯が前方に位置しており、咬み合わせの改善も必要な状況でした。
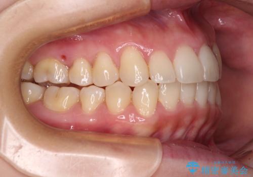
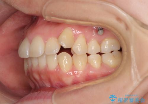
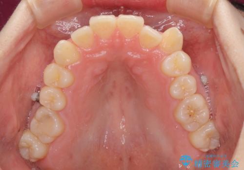
インビザラインによる矯正治療を希望されたため、上顎歯列の側方拡大奥歯の遠心移動のための補助装置を併用し、その後はインビザラインにて行うこととしました。
- 費用(概算)
- 治療費の目安: 100万円(税込)費用は治療当時の料金となります
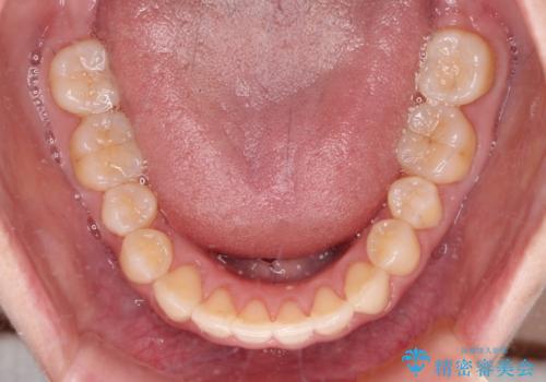
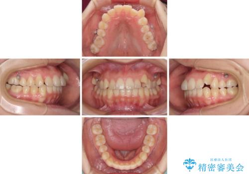
治療について
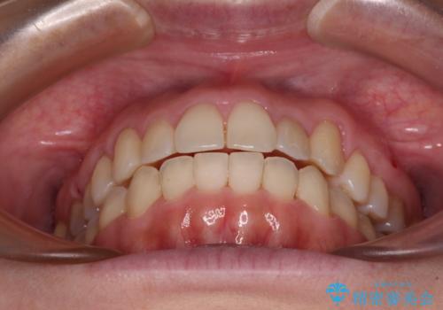
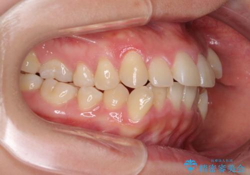
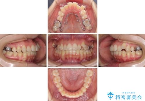
八重歯の動きが鈍く、治療期間は長期化しました。
癒着の疑いもありましたが、アンカースクリューを多用し、何とか改善することができました。
マウスピース矯正の注意事項(リスク・副作用など)
- 口腔内・歯並びの状態によっては対応できない場合があります
- マウスピース型矯正装置の長時間装着(1日20時間以上)が必須です
- 治療計画通りに進めるためには、患者様の意志が重要になります
- 矯正治療後の保定が不十分だと後戻り(元の位置に戻ろうとする動き)をします
- 薬機法対象外の矯正歯科装置のため医薬品副作用被害救済制度の対象外となる場合があります
- 自費診療(保険適用外)となります
当サイトの内容、テキスト、画像等の無断転載、複製、複写、盗用を固く禁じます。


























