症例詳細
Case detail
放置した虫歯 ブリッジ治療
治療症例の内容
- 診療科目
 
- 治療カテゴリ
 
- 担当医
 - 大元洋佑(ドクタープロフィール)
 
- 患者様
 - 20代女性
 
- 治療期間
 - 6ヶ月
 
- 治療回数
 - 2-5回
 
- 治療計画
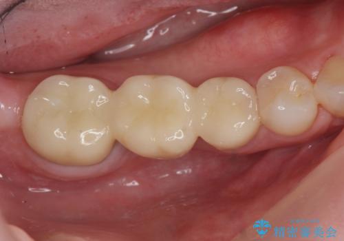
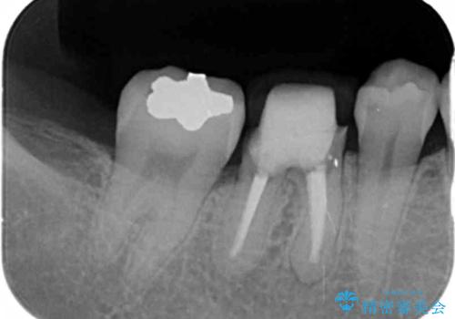
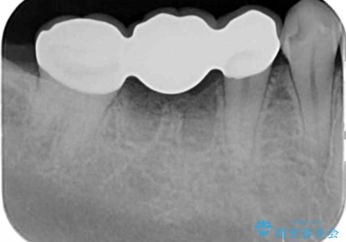
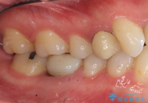
 - 治療途中の歯を3年放置した結果、ファイバーコア下に虫歯が再発し抜歯を余儀なくされました。
インプラント治療ではなく手術の必要のないブリッジ治療を希望・選択されたので治療を進めます。 
- 費用(概算)
 - 36.3万円(仮歯・ジルコニアクラウン×3)費用は治療当時の料金となります
 
治療の長期中断について
最終的なクラウンを入れずコアのまま、仮歯のまま長期間過ごすと虫歯が再発し残すことが難しくなってしまうことがあります。
セラミック治療の注意事項(リスク・副作用など)
- 天然歯を削ります
 - 硬い素材は天然歯を傷つけてしまう場合があります
 - かみ合わせや歯ぎしりが強すぎる方はセラミックが割れてしまう可能性があります
 - 自費診療(保険適用外治療)となります
 
当サイトの内容、テキスト、画像等の無断転載、複製、複写、盗用を固く禁じます。

                      
                                                          





