症例詳細
Case detail
前歯の隙間を閉じたい 口元も下げたい ハーフリンガルによる抜歯矯正
治療症例の内容
- 診療科目
- 担当医
- 患者様
- 20代男性
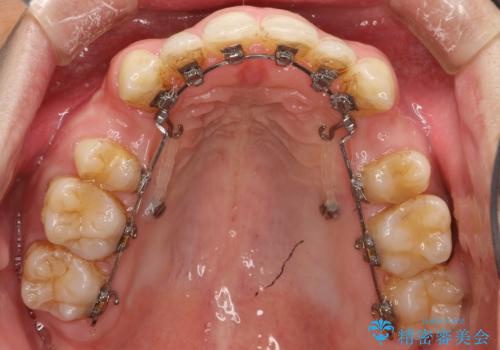
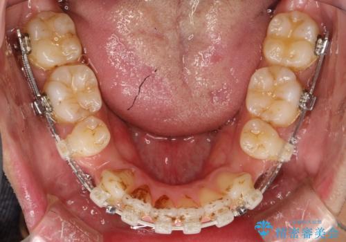
- 矯正装置
- ハーフリンガル
- 治療期間
- 2年6ヶ月
- 治療回数
- 10-30回
- 治療計画
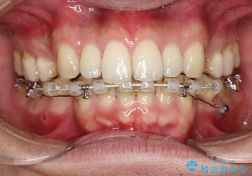
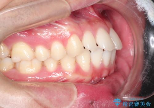
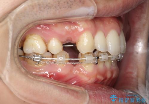
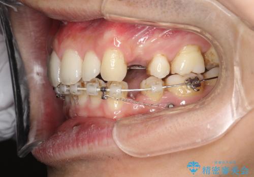
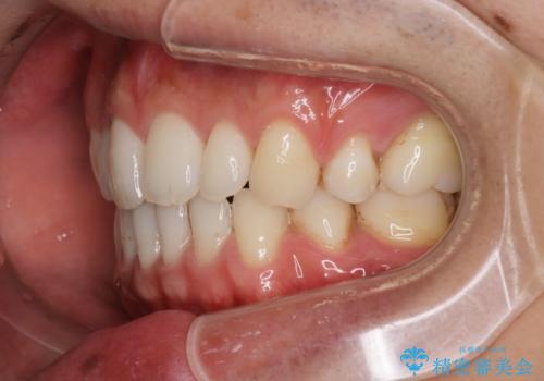
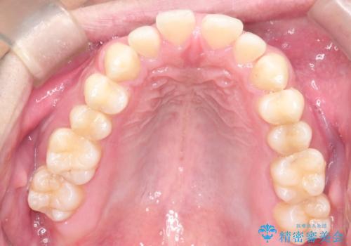
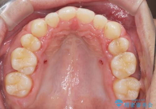
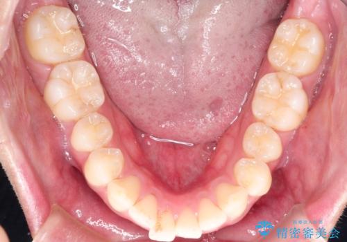
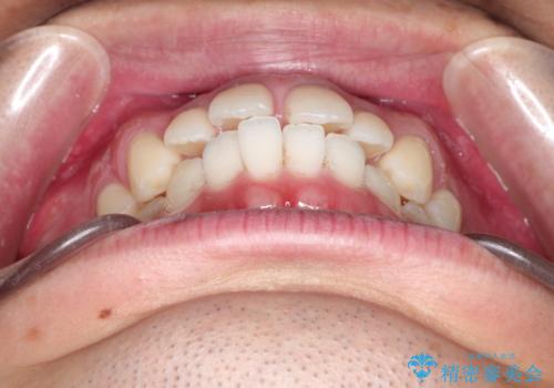
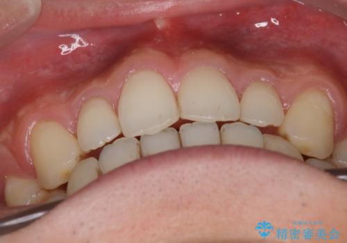
- 上の前歯の隙間と口元を下げたとのことで来院されました。
上顎正中離開と、口唇の突出感がありました。
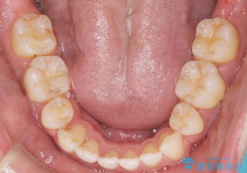
上下左右の歯を1本ずつ抜歯しして、上顎の前歯を後方に移動させるのと、正中の隙間を閉じる計画としました。
装置はなるべく目立たないものをご希望でしたので、ハーフリンガルを選択されました。
- 費用(概算)
- 約140万円費用は治療当時の料金となります
治療について
抜歯をせず上顎の正中離開のみの矯正もできましたが、患者様と相談して口元の改善も同時に行うために抜歯矯正の計画としました。
ワイヤー矯正の注意事項(リスク・副作用など)
- 治療中は違和感や痛みが起こることがあります
- 症状により、抜歯が必要な場合があります
- 治療中は歯磨きがしにくくなるため、虫歯や歯周病になりやすくなります
- 矯正治療後の保定が不十分だと後戻り(元の位置に戻ろうとする動き)をします
- 自費診療(保険適用外)となります
当サイトの内容、テキスト、画像等の無断転載、複製、複写、盗用を固く禁じます。





















