症例詳細
Case detail
口元を下げてすっきりさせたい ワイヤー抜歯矯正で口元の改善
治療症例の内容
- 診療科目
- 担当医
- 患者様
- 20代女性
- 矯正装置
- 審美装置
- 治療期間
- 2年
- 治療回数
- 10-30回
- 治療計画
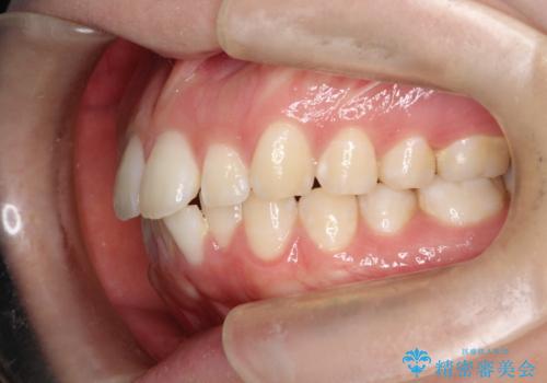
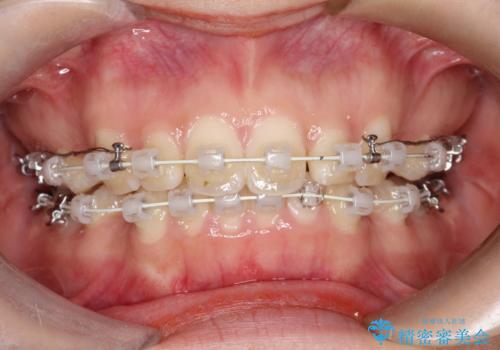
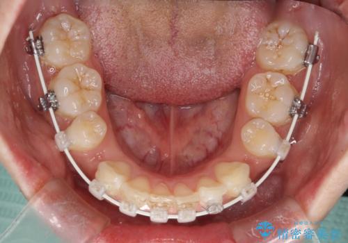
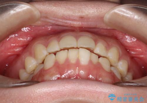
- 横から見たときの口元が出てるの気になるとのことで来院されました。
口元の突出感と口唇の閉じずらさが確認されました。
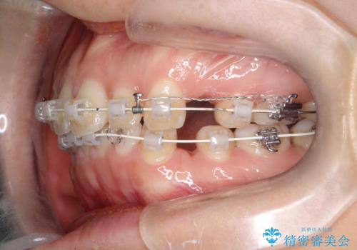
上下左右の歯を1本ずつ、合計4本抜歯しして前歯を後方に下げて、口元の突出感を改善する計画としました。
- 費用(概算)
- 約100万円費用は治療当時の料金となります
治療について
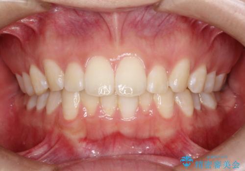
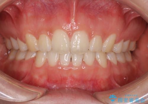
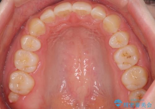
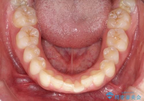
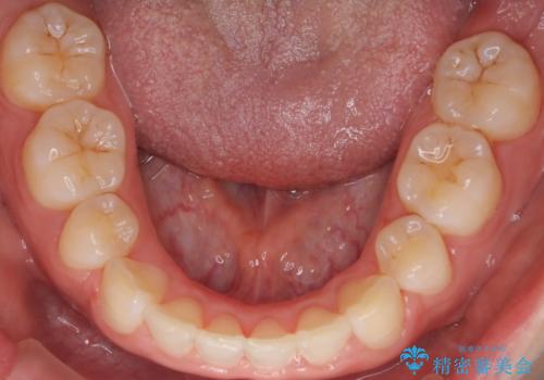
前歯をしっかり下げることで、口元がすっきりしました。
ワイヤー矯正の注意事項(リスク・副作用など)
- 治療中は違和感や痛みが起こることがあります
- 症状により、抜歯が必要な場合があります
- 治療中は歯磨きがしにくくなるため、虫歯や歯周病になりやすくなります
- 矯正治療後の保定が不十分だと後戻り(元の位置に戻ろうとする動き)をします
- 自費診療(保険適用外)となります
当サイトの内容、テキスト、画像等の無断転載、複製、複写、盗用を固く禁じます。





















