症例詳細
Case detail
奥歯のザラザラが気になる
治療症例の内容
- 診療科目
- 治療カテゴリ
- 担当医
- 青山卓弘(ドクタープロフィール)
- 患者様
- 20代男性
- 治療期間
- 1ヶ月
- 治療回数
- 2-5回
- 治療計画
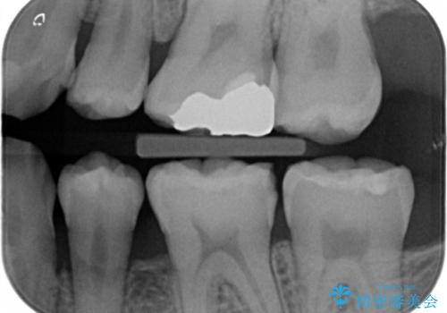
- 奥歯のザラザラが気になり、白い被せ物をしたいとのことで来院。
レントゲンや拡大鏡で確認をしたところ歯の表面は粗造になっていたが
う蝕があるわけではないので以下の提案を行った。
①ジルコニアクラウンによる治療
表面のザラザラは消えるが健全な歯質を多く削ることになる。
②表面を研磨して磨いて様子を見る
料金はかからないが限度があり根本的な改善にはならないが
歯質を削らなくてすむ
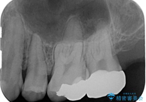
以上の提案より患者様に考えてもらい、①をご希望されたのでジルコニアクラウンによる治療を行った。
- 費用(概算)
- フルジルコニアクラウン・仮歯 8.8万円費用は治療当時の料金となります
治療について
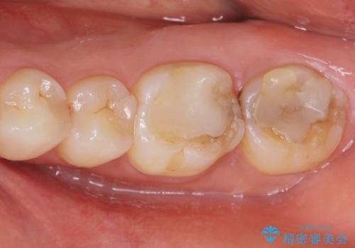
歯の表面が粗造なのは虫歯ではないが
歯の表面が溶けはじめて、虫歯になりやすい状態になっています。
ご自身での歯ブラシによるセルフケアが大事になっていきます。
表面がツルツルした白い被せ物が入り、大変満足して頂けました。
銀の詰め物のやりかえも検討されています。
セラミック治療の注意事項(リスク・副作用など)
- 天然歯を削ります
- 硬い素材は天然歯を傷つけてしまう場合があります
- かみ合わせや歯ぎしりが強すぎる方はセラミックが割れてしまう可能性があります
- 自費診療(保険適用外治療)となります
その他の注意事項(リスク・副作用など)
- 担当歯科医師、歯科衛生士又は医院スタッフから受けた説明・注意事項をよくご確認ください
- 医療を提供するに当たり、適切な説明を行い、患者様の十分な理解を得るよう努めております
当サイトの内容、テキスト、画像等の無断転載、複製、複写、盗用を固く禁じます。















