症例詳細
Case detail
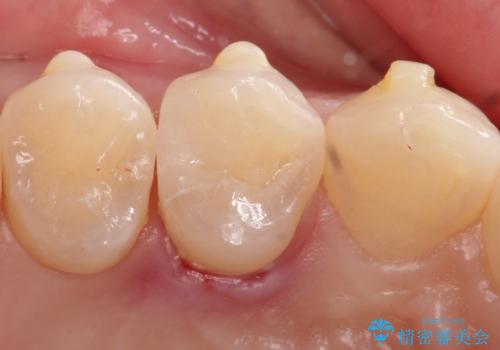
【セラミックインレー】歯と歯の間の虫歯治療
治療症例の内容
- 診療科目
- 治療カテゴリ
- 担当医
- 河口智英(ドクタープロフィール)
- 患者様
- 20代女性
- 治療期間
- 1ヶ月
- 治療回数
- 2-5回
- 治療計画
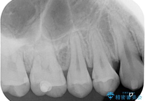
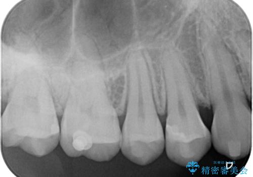
- 歯と歯の間に虫歯が見つかったため、拡大鏡を使用して丁寧に虫歯を除去し、セラミックインレーにて修復治療をおこないました。
- 費用(概算)
- 7万円費用は治療当時の料金となります
治療について
セラミックインレーはレジン(プラスチック)と違い、形態の付与がしやすく、長期的な安定性が高い治療です。
セラミック治療の注意事項(リスク・副作用など)
- 天然歯を削ります
- 硬い素材は天然歯を傷つけてしまう場合があります
- かみ合わせや歯ぎしりが強すぎる方はセラミックが割れてしまう可能性があります
- 自費診療(保険適用外治療)となります
当サイトの内容、テキスト、画像等の無断転載、複製、複写、盗用を固く禁じます。





