症例詳細
Case detail
奥歯に隠れた虫歯 セラミックインレーでの修復
治療症例の内容
- 診療科目
- 治療カテゴリ
- 担当医
- 岡田康成(ドクタープロフィール)
- 患者様
- 20代男性
- 治療期間
- 1ヶ月
- 治療回数
- 2-5回
- 治療計画
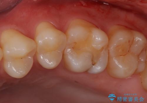
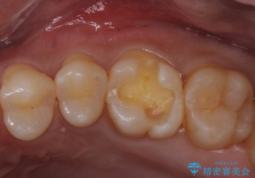
- 症状はないが、虫歯があれば治療をしてほしいとのことで来院。
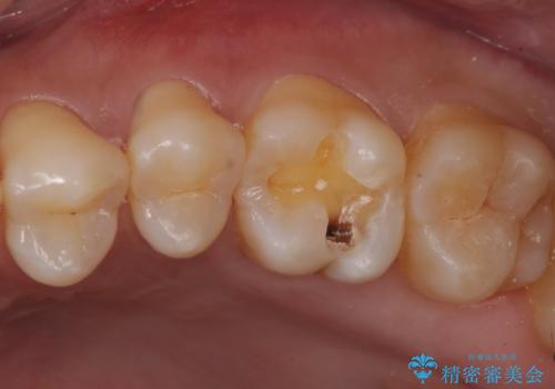
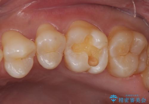
検査の結果、昔治療した樹脂の詰め物と歯の間に虫歯ができていることが確認されました(二次う蝕といいます)。
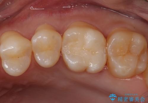
同じような樹脂の詰め物での治療ではまた虫歯ができることが予想されるため、今回はセラミックインレーで修復することとなりました。
- 費用(概算)
- 左上6 セラミックインレー 77000円×1本費用は治療当時の料金となります
治療について
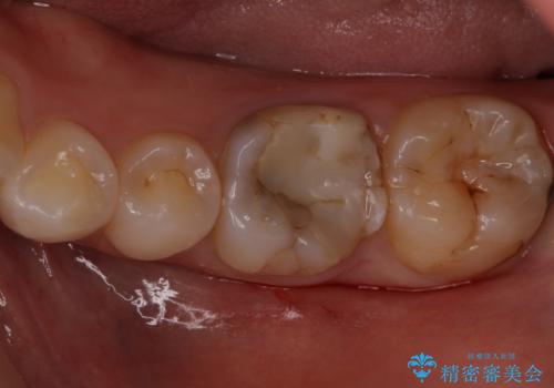
視診だけではわかりづらいですが、レントゲン画像にて昔の詰め物の下に虫歯があることがわかります。
以前樹脂を詰めた結果再び虫歯ができてしまっていることから、同じ治療は同じ結果になる可能性があるため今回はアプローチを変えてセラミックインレーで修復処置をしていくこととなりました。
虫歯の取り残しや、不適合な詰め物は再治療のリスクとなります。
適合の良い修復物を入れることは今後の虫歯リスクを抑えることに繋がります。
セラミック治療の注意事項(リスク・副作用など)
- 天然歯を削ります
- 硬い素材は天然歯を傷つけてしまう場合があります
- かみ合わせや歯ぎしりが強すぎる方はセラミックが割れてしまう可能性があります
- 自費診療(保険適用外治療)となります
当サイトの内容、テキスト、画像等の無断転載、複製、複写、盗用を固く禁じます。







