症例詳細
Case detail
穴が開いた前歯 白いクラウンで修復
治療症例の内容
- 診療科目
- 治療カテゴリ
- 担当医
- 岡田康成(ドクタープロフィール)
- 患者様
- 20代男性
- 治療期間
- 1ヶ月
- 治療回数
- 2-5回
- 治療計画
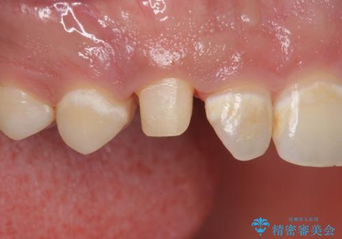
- 「前歯に穴が開いたから診てほしい」とのことで来院。
全体的に歯と歯茎の間境目が白く、右上の前歯は穴が開いてしまっていました。
インレーでの修復はできない場所であるため、セラミッククラウンでの治療になりました。
- 費用(概算)
- 右上3 e-maxクラウン 77000円×1本費用は治療当時の料金となります
治療について
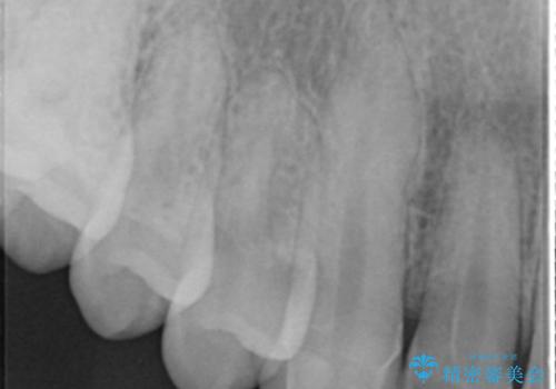
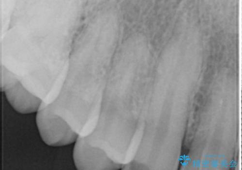
全体的に歯の脱灰が目立っており、右上の犬歯のみ状態が悪く穴が開いてしまっていました。
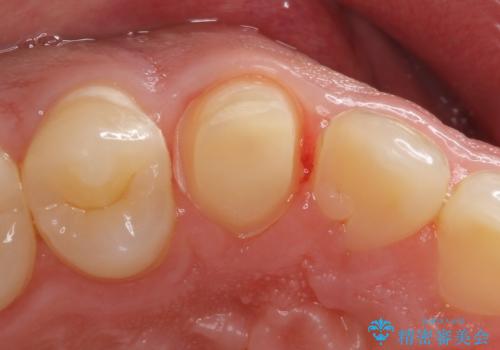
審美的にも優れるセラミッククラウンで修復し、他の歯も同じ状態になってしまわないよう歯磨き指導をさせていただきました。
穴が開いてしまうと再石灰化は期待できず、歯を削ることでしか対応ができなくなります。
もし気になる変化があれば、事態が悪化する前にお気軽にご相談ください。
セラミック治療の注意事項(リスク・副作用など)
- 天然歯を削ります
- 硬い素材は天然歯を傷つけてしまう場合があります
- かみ合わせや歯ぎしりが強すぎる方はセラミックが割れてしまう可能性があります
- 自費診療(保険適用外治療)となります
当サイトの内容、テキスト、画像等の無断転載、複製、複写、盗用を固く禁じます。








