症例詳細
Case detail
外から見える銀歯 セラミックでのやり替え
治療症例の内容
- 診療科目
- 治療カテゴリ
- 担当医
- 岡田康成(ドクタープロフィール)
- 患者様
- 40代男性
- 治療期間
- 1ヶ月
- 治療回数
- 2-5回
- 治療計画
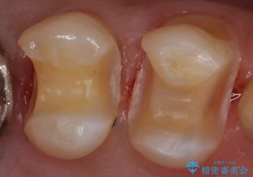
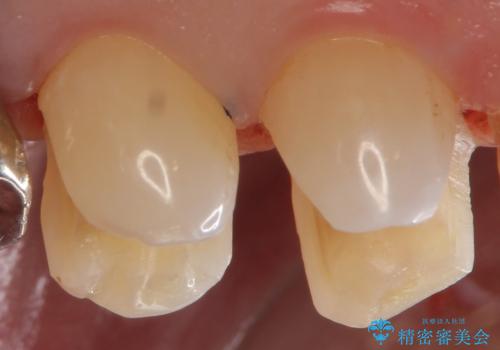
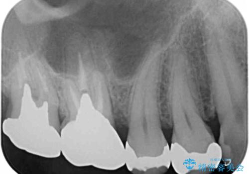
- 笑った時にチラつく銀歯が気になるから白くしたいとのことで来院。
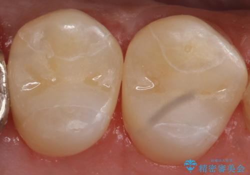
銀の詰め物を除去し、残った歯の量が多かったためセラミックインレーでの修復となりました。
- 費用(概算)
- 右上56 セラミックインレー 77000円×2本費用は治療当時の料金となります
治療について
歯の内側に詰めるインレーでの修復でも、形によっては外から見える場合があります。
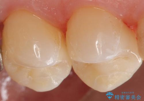
適合の良いセラミックインレーにやり替えることで外から見た時の違和感がなくなります。
また今回は治療前の写真で食べ物が詰まっている様子が伺えますが、適合がよく段差のない修復をすることで食べ物が詰まることを減らし、結果的に虫歯のリスクを下げることも期待できます。
セラミック治療の注意事項(リスク・副作用など)
- 天然歯を削ります
- 硬い素材は天然歯を傷つけてしまう場合があります
- かみ合わせや歯ぎしりが強すぎる方はセラミックが割れてしまう可能性があります
- 自費診療(保険適用外治療)となります
当サイトの内容、テキスト、画像等の無断転載、複製、複写、盗用を固く禁じます。








