症例詳細
Case detail
むし歯治療した歯にセラミックを入れたい セラミックインレー修復
治療症例の内容
- 診療科目
- 治療カテゴリ
- 担当医
- 齋藤佑磨(ドクタープロフィール)
- 患者様
- 20代女性
- 治療期間
- 1ヶ月
- 治療回数
- 2-5回
- 治療計画
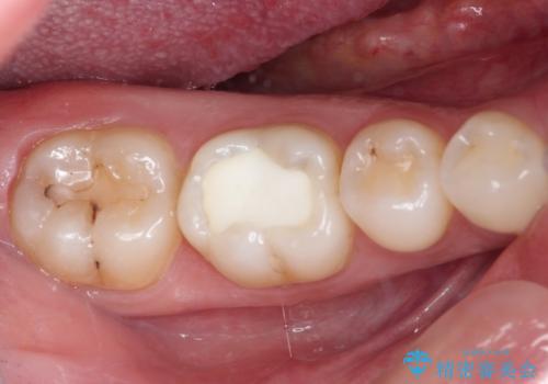
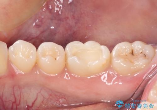
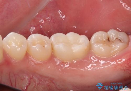
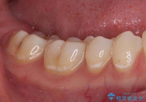
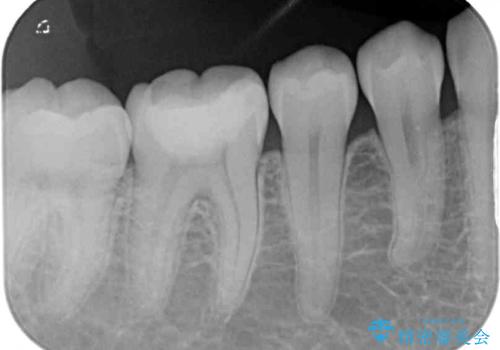
- 他院にてむし歯の治療をし、当院にてセラミックを入れたいとのことで来院された患者様です。
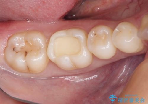
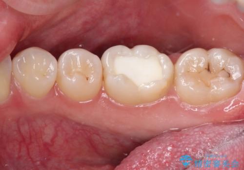
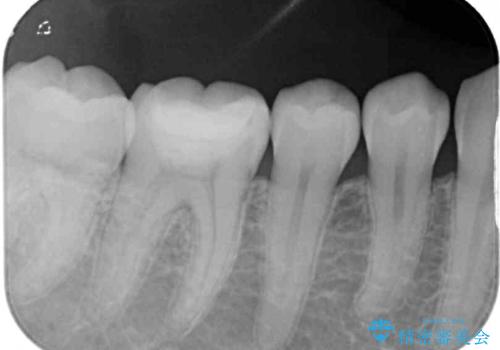
むし歯がないか確認し、セラミックインレーにて修復することとしました。
セラミックインレー装着時には、唾液の侵入を防ぐために、ラバーダム防湿を行いました。
- 費用(概算)
- 8万円(税込)費用は治療当時の料金となります
治療について
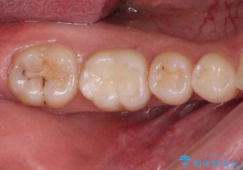
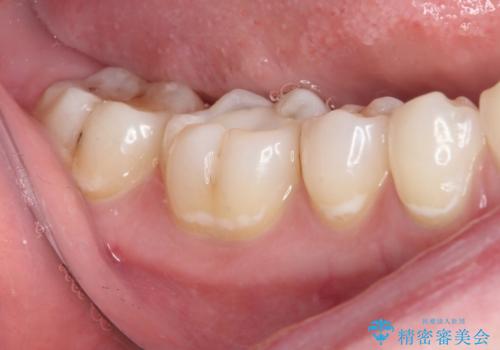
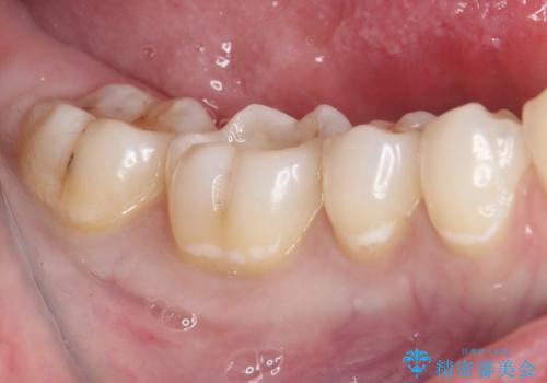
見た目、噛み合わせともに満足していただけました。
ラバーダム防湿を行い、セラミックの接着をすることで、唾液や血液などの接着阻害因子を排除することができます。
セラミック治療の注意事項(リスク・副作用など)
- 天然歯を削ります
- 硬い素材は天然歯を傷つけてしまう場合があります
- かみ合わせや歯ぎしりが強すぎる方はセラミックが割れてしまう可能性があります
- 自費診療(保険適用外治療)となります
当サイトの内容、テキスト、画像等の無断転載、複製、複写、盗用を固く禁じます。












