症例詳細
Case detail
銀歯を白くしたい セラミックブリッジでの治療
治療症例の内容
- 診療科目
- 治療カテゴリ
- 担当医
- 岡田康成(ドクタープロフィール)
- 患者様
- 30代女性
- 治療期間
- 1ヶ月
- 治療回数
- 2-5回
- 治療計画
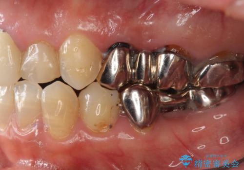
- 銀歯を白くしたいとのことで来院。
左上が特に気になるそうであったためまず左上の奥歯から治療をしていここととなりました。
- 費用(概算)
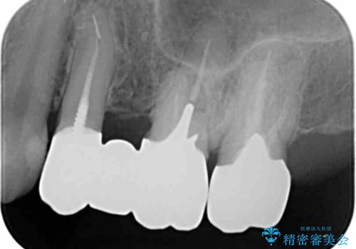
- 左上4567 フルジルコニアクラウン、フルジルコニアブリッジ 77000円×4本 費用は治療当時の料金となります
治療について
銀歯を除去し、土台の歯にに虫歯がないかを確認します。
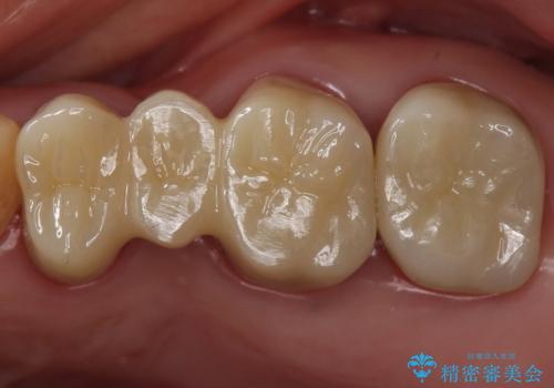
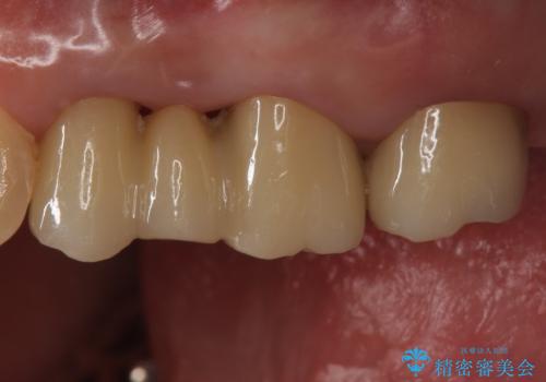
今回は目立つ虫歯がなかったため、形を整えて白い被せものを装着しました。
他の銀歯も白くしていきたいとのことで、現在前向きに検討されています。
セラミック治療の注意事項(リスク・副作用など)
- 天然歯を削ります
- 硬い素材は天然歯を傷つけてしまう場合があります
- かみ合わせや歯ぎしりが強すぎる方はセラミックが割れてしまう可能性があります
- 自費診療(保険適用外治療)となります
当サイトの内容、テキスト、画像等の無断転載、複製、複写、盗用を固く禁じます。








