症例詳細
Case detail
骨造成を伴う前歯のインプラント治療
治療症例の内容
- 診療科目
- 治療カテゴリ
- 担当医
- 大元洋佑(ドクタープロフィール)
- 患者様
- 40代女性
- 治療期間
- 1年
- 治療回数
- 5-10回
- 治療計画
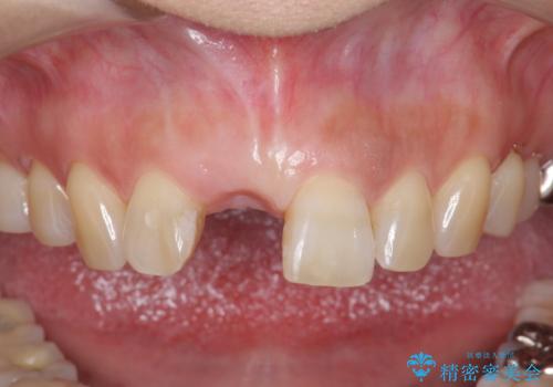
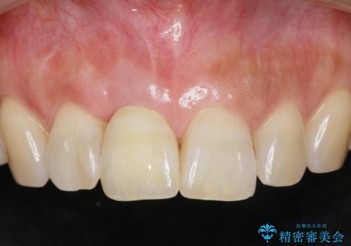
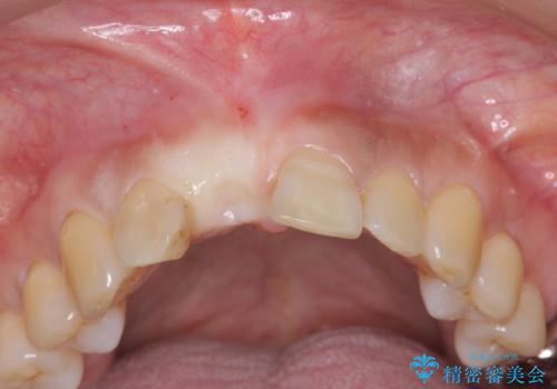
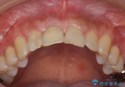
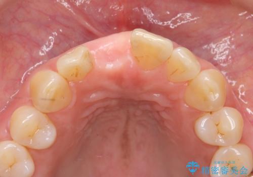
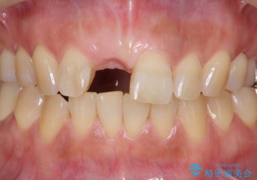
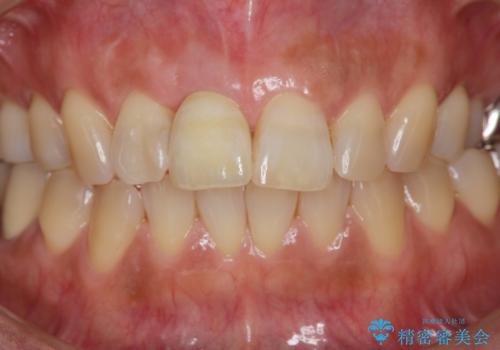
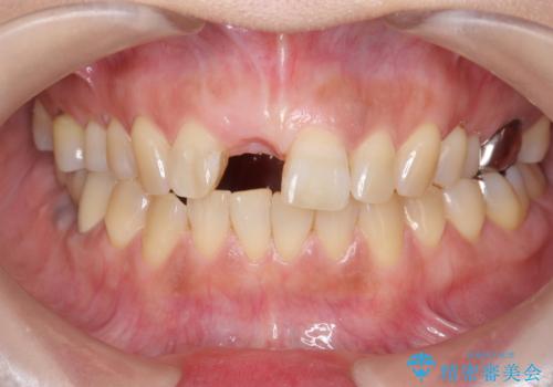
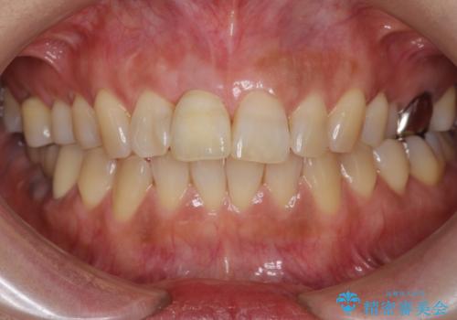
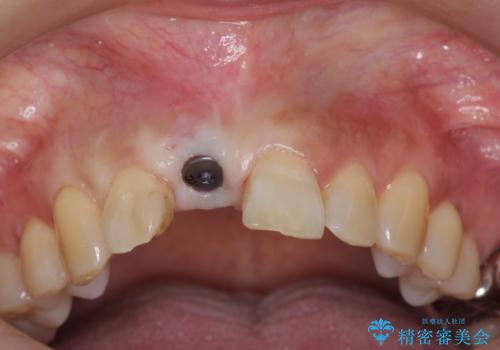
- 前歯を外傷により失い、審美性の改善を求めて来院されました。
横の歯を削る必要のあるブリッジ治療、着脱の必要な入れ歯に強い抵抗があったためインプラント治療を計画します。
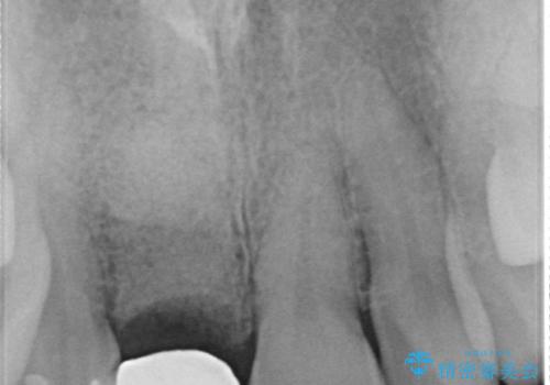
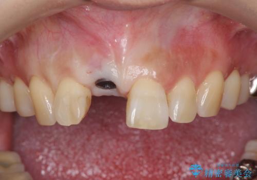
審美的・機能的に良好な位置に埋入するには、骨量が十分ではなかったため骨の造成を併用したインプラント埋入外科手術を行います。
- 費用(概算)
- 66万円費用は治療当時の料金となります
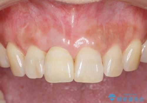
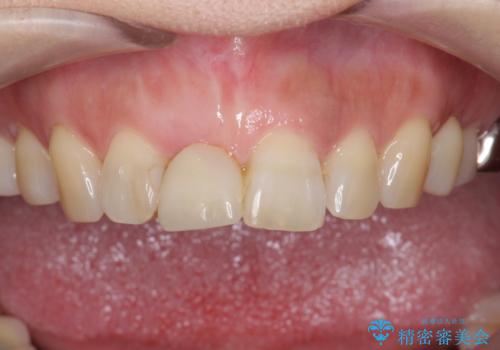
前歯のインプラント治療について
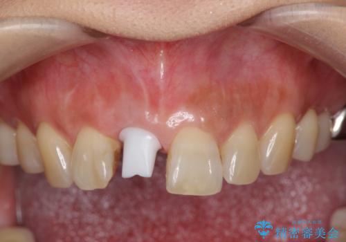
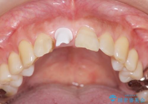
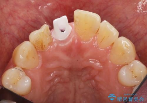
前歯のインプラントを審美的に仕上げるには、インプラント周囲に十分な骨の量と厚みのある歯肉、そして埋入位置の精密な位置付けが重要です。
インプラント治療の注意事項(リスク・副作用など)
- 外科手術のため、術後に痛みや腫れ、違和感を伴います
- メンテナンスを怠ったり喫煙により、お口の中に大きな悪影響を及ぼすインプラント周囲炎等にかかる可能性があります
- 糖尿病、肝硬変、心臓病等の場合、インプラント治療ができない可能性があります
- 高血圧、貧血・不整脈等の場合、インプラント治療後に治癒不全を招く可能性があります
- 自費診療(保険適用外治療)となります
当サイトの内容、テキスト、画像等の無断転載、複製、複写、盗用を固く禁じます。






































