症例詳細
Case detail
左下の奥歯が冷たいものがしみてザラザラする ゴールドインレー修復
治療症例の内容
- 診療科目
- 治療カテゴリ
- 担当医
- 齋藤佑磨(ドクタープロフィール)
- 患者様
- 20代女性
- 治療期間
- 1ヶ月
- 治療回数
- 2-5回
- 治療計画
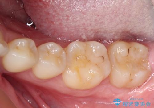
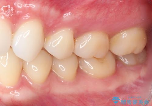
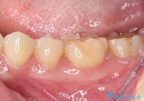
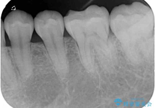
- 左下の奥歯が、冷たいものを食べるとしみて、舌で触るとザラザラすることが気になり来院された患者様です。
以前他院で治療したCR(樹脂の材料)が劣化し、その隙間から冷たいものがしみている可能性が高いことがわかりました。
嚙み合わせの力が強いため、再びCRやセラミックインレーによる修復を行っても割れてしまう可能性が高いので、
ゴールドインレーによる修復を行うこととしました。
- 費用(概算)
- 8万円(税込)費用は治療当時の料金となります
治療について
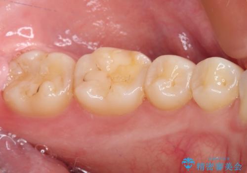
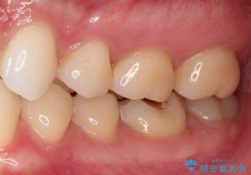
冷たいものがしみる症状はなくなり、舌で触ったときのザラザラ感もなくなりました。
PGA(ゴールド)クラウン、インレーの注意事項(リスク・副作用など)
- インレーおよびクラウンは脱離するリスクがあります
- 形成量はセラミックより少ないですが、歯の形成、修復後に歯に症状が出ることがあります
- 自費診療(保険適用外治療)となります
当サイトの内容、テキスト、画像等の無断転載、複製、複写、盗用を固く禁じます。











