症例詳細
Case detail
ワイヤー部分矯正を併用して治療期間を短縮 マウスピース矯正治療
治療症例の内容
- 担当医
- 大元洋佑(ドクタープロフィール)
- 患者様
- 20代女性
- 矯正装置
- インビザライン
- 治療期間
- 1年4ヶ月
- 治療回数
- 10-30回
- 治療計画
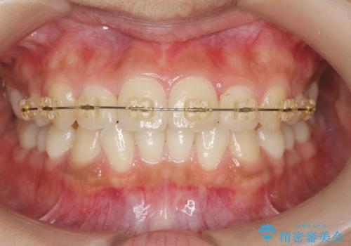
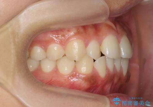
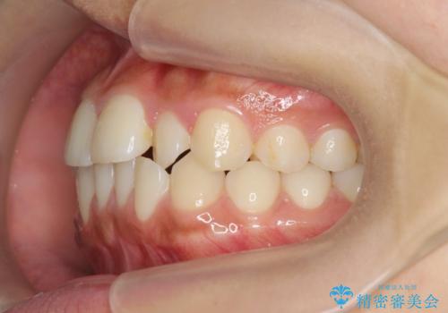
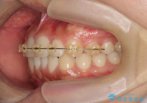
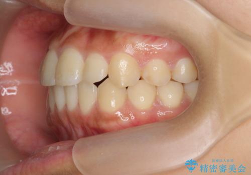
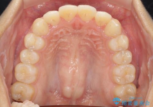
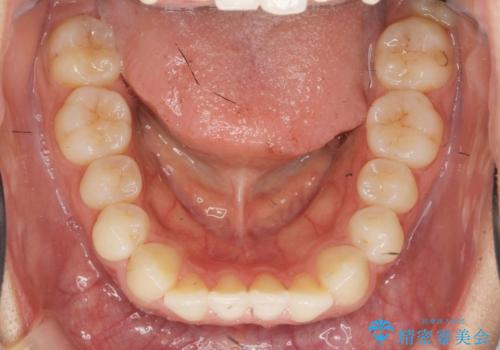
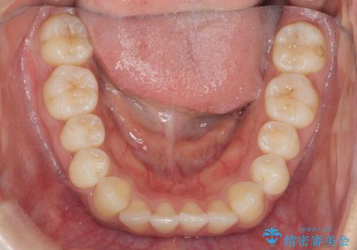
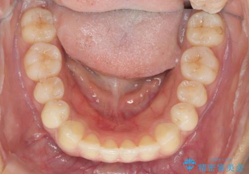
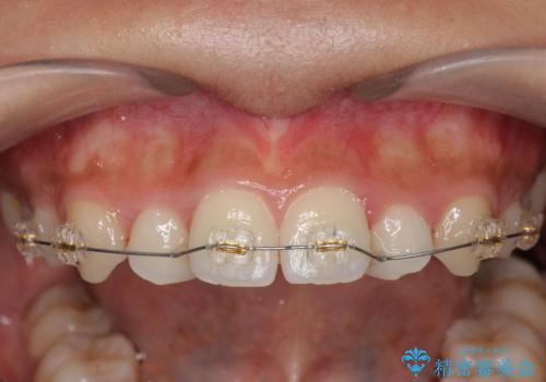
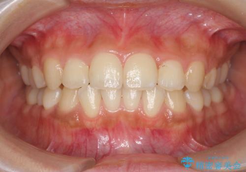
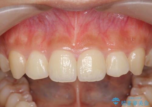
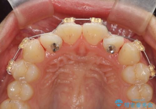
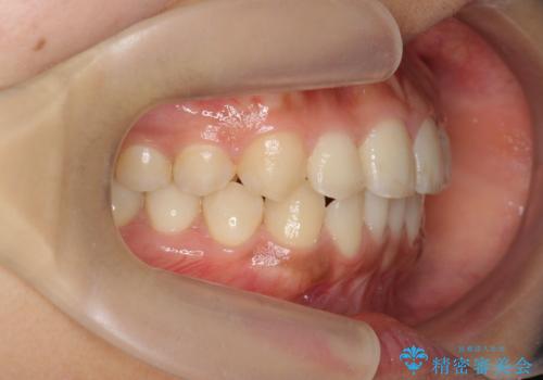
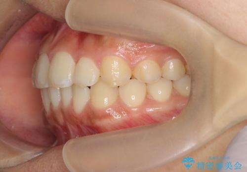
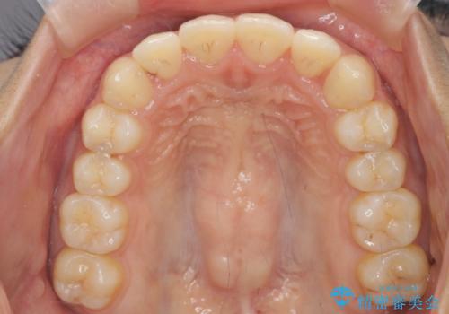
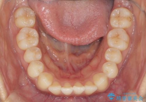
- 前歯のガタつき、上下たがい違いになっている歯並び(クロスバイト)の改善を求めて来院されました。
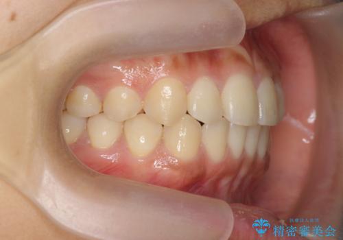
インビザラインによる矯正治療を行いますが、クロスバイトの改善をワイヤー部分矯正で事前に行うことにより治療期間の短縮する治療計画を立案します。
- 費用(概算)
- 約90万円費用は治療当時の料金となります
治療について
上下すれ違った噛み合わせはマウスピースでは改善に時間がかかり、またねじれが残ってしまうことも多々見られます。
マウスピース矯正を行う前に、これらの症状の改善の得意なワイヤー部分矯正を行うことで治療期間を短縮し、確実にすれ違いを改善することができます。
マウスピース矯正の注意事項(リスク・副作用など)
- 口腔内・歯並びの状態によっては対応できない場合があります
- マウスピース型矯正装置の長時間装着(1日20時間以上)が必須です
- 治療計画通りに進めるためには、患者様の意志が重要になります
- 矯正治療後の保定が不十分だと後戻り(元の位置に戻ろうとする動き)をします
- 薬機法対象外の矯正歯科装置のため医薬品副作用被害救済制度の対象外となる場合があります
- 自費診療(保険適用外)となります
当サイトの内容、テキスト、画像等の無断転載、複製、複写、盗用を固く禁じます。























