症例詳細
Case detail
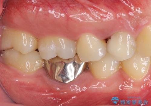
銀歯のやり替え セラミックで白い歯に
治療症例の内容
- 診療科目
- 担当医
- 岡田康成(ドクタープロフィール)
- 患者様
- 30代男性
- 治療期間
- 1ヶ月
- 治療回数
- 2-5回
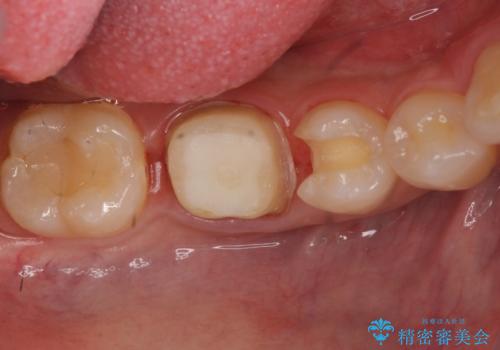
- 治療計画
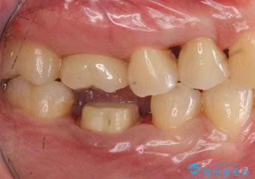
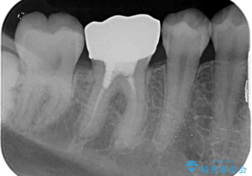
- 他の歯を治療中にレントゲン写真を撮ったところ虫歯を発見。
どうせなら1つ奥の銀歯も白くしたいとのご希望があり、2本ともセラミックにて治療をしていくことになりました。
- 費用(概算)
- 右下6 仮歯+ジルコニアクラウン(スタンダード) 11000円×1本+110000円×1本 右下5 セラミックインレー 77000円×1本費用は治療当時の料金となります
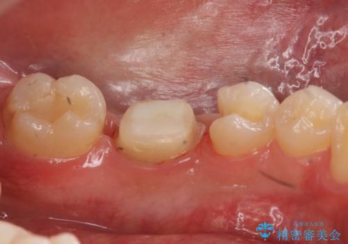
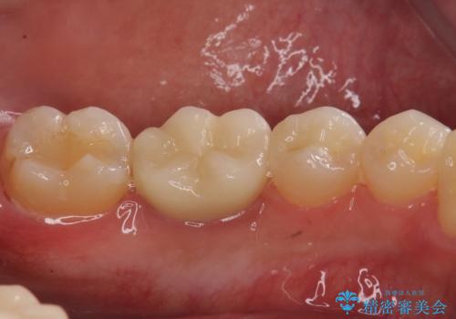
治療について
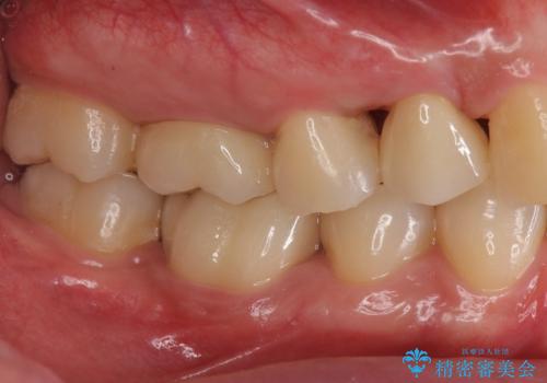
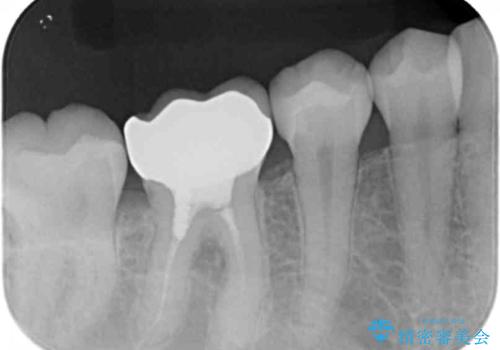
虫歯治療に加え、奥の銀歯も同時にやり替えました。
精度の良いクラウンにやりかえることは今後の虫歯リスクを減らすことにつながります。
セラミック治療の注意事項(リスク・副作用など)
- 天然歯を削ります
- 硬い素材は天然歯を傷つけてしまう場合があります
- かみ合わせや歯ぎしりが強すぎる方はセラミックが割れてしまう可能性があります
- 自費診療(保険適用外治療)となります
当サイトの内容、テキスト、画像等の無断転載、複製、複写、盗用を固く禁じます。











