症例詳細
Case detail
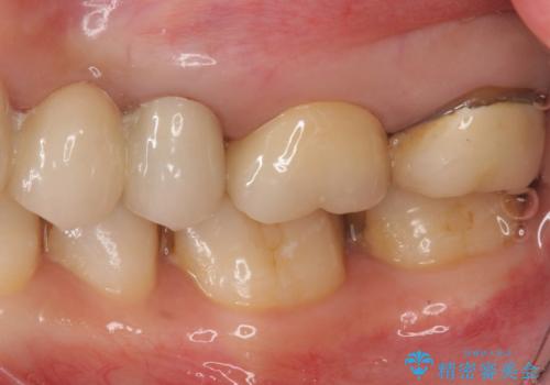
時々しみる奥歯 適合の悪いインレーからクラウンへのやり替え
治療症例の内容
- 診療科目
- 治療カテゴリ
- 担当医
- 岡田康成(ドクタープロフィール)
- 患者様
- 40代女性
- 治療期間
- 1ヶ月
- 治療回数
- 2-5回
- 治療計画
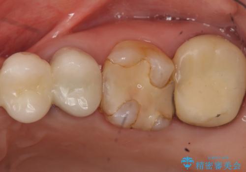
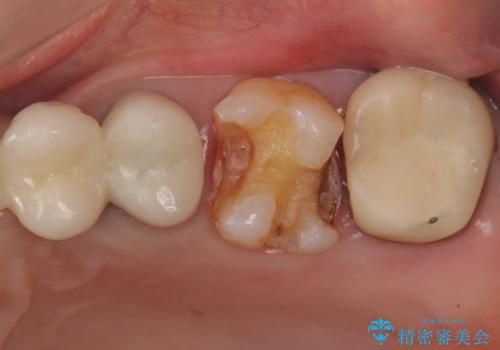
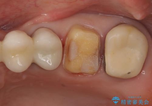
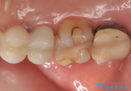
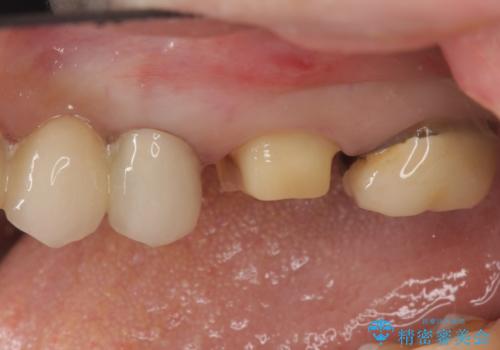
- 左上の奥歯がたまにしみるとのことで来院。視診・レントゲン画像より明らかに劣化した不適な修復物を確認しました。
同じ材料で同じように修復し直してもまた同じような予後になることが予想されるため、適合の良いセラミックインレーでの治療を提案させていただきました。
しかし向かい合わせになる歯の咬みこみが強く、インレーでは破折してしまうリスクが高いと予想し、より強固なクラウンで修復することになりました。
- 費用(概算)
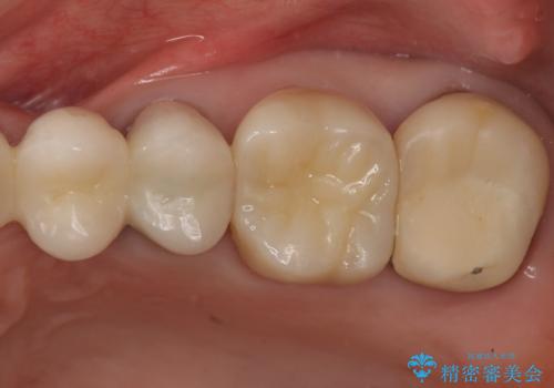
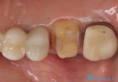
- 左上6 仮歯+フルジルコニアクラウン 11000円+77000円費用は治療当時の料金となります
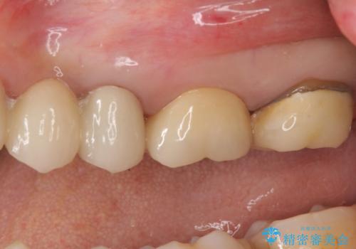
治療について
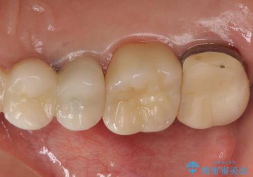
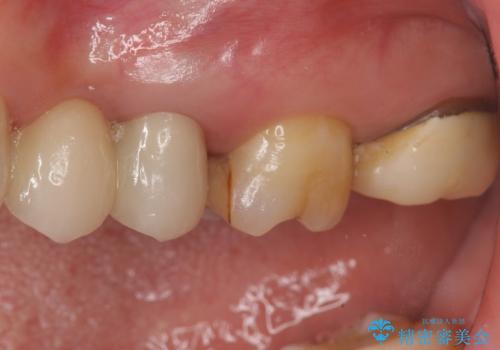
向かい合わせの歯の咬みこみが強くインレーよりも強度の高いクラウンでの治療となりました。その中でも色が白くある程度の薄さでも耐久性を発揮するフルジルコニアクラウンでの修復を行いました。適合も良く色調もとてもなじんだため大変喜んでいただけました。
セラミック治療の注意事項(リスク・副作用など)
- 天然歯を削ります
- 硬い素材は天然歯を傷つけてしまう場合があります
- かみ合わせや歯ぎしりが強すぎる方はセラミックが割れてしまう可能性があります
- 自費診療(保険適用外治療)となります
当サイトの内容、テキスト、画像等の無断転載、複製、複写、盗用を固く禁じます。















