症例詳細
Case detail
前歯のガタつきをきれいに マウスピース矯正治療
治療症例の内容
- 担当医
- 大元洋佑(ドクタープロフィール)
- 患者様
- 20代女性
- 治療期間
- 2年4ヶ月
- 治療回数
- 10-30回
- 治療計画
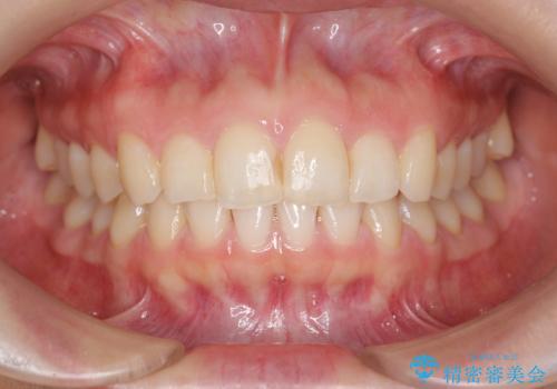
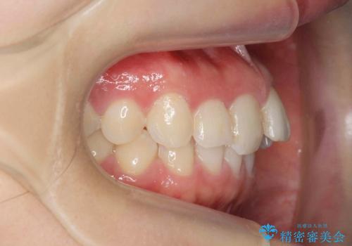
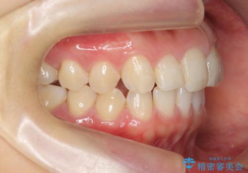
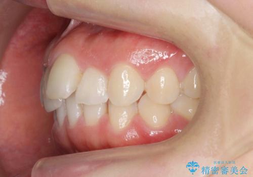
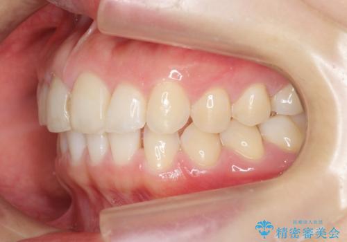
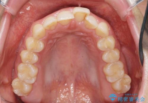
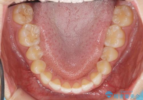
- 「前歯のガタつきをきれいにしたい。」と矯正治療を希望され来院されました。
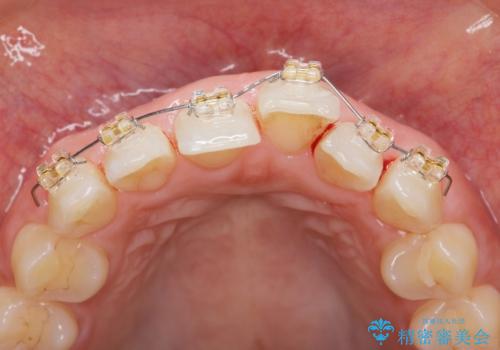
前歯のガタつきをワイヤー部分矯正、上顎前突の咬合関係を後方移動することで理想的な咬合関係を確立します。
- 費用(概算)
- 99万円費用は治療当時の料金となります
治療について
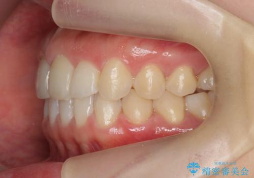
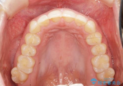
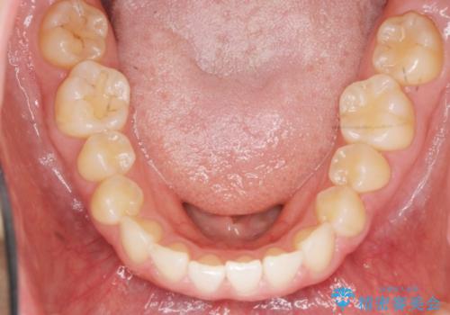
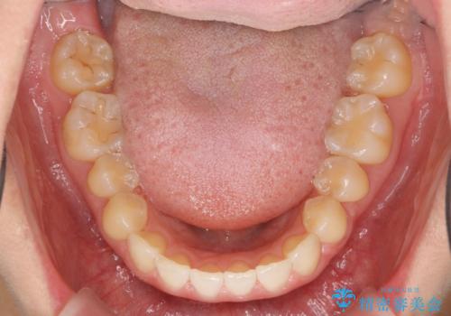
上顎の全体的な後方移動を実現するためにマイクロインプラントを併用したゴムかけを行ったことで理想的な咬合関係を確立することができました。
マウスピース矯正の注意事項(リスク・副作用など)
- 口腔内・歯並びの状態によっては対応できない場合があります
- マウスピース型矯正装置の長時間装着(1日20時間以上)が必須です
- 治療計画通りに進めるためには、患者様の意志が重要になります
- 矯正治療後の保定が不十分だと後戻り(元の位置に戻ろうとする動き)をします
- 薬機法対象外の矯正歯科装置のため医薬品副作用被害救済制度の対象外となる場合があります
- 自費診療(保険適用外)となります
当サイトの内容、テキスト、画像等の無断転載、複製、複写、盗用を固く禁じます。





















