症例詳細
Case detail
【非抜歯】噛み合わせを整えたい! インビザライン矯正
治療症例の内容
- 診療科目
- 担当医
- 今村大二郎(ドクタープロフィール)
- 患者様
- 30代 女性
- 矯正装置
- マウスピース(インビザライン)
- 治療期間
- 1年2ヶ月
- 治療回数
- 10-30回
- 治療計画
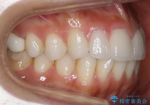
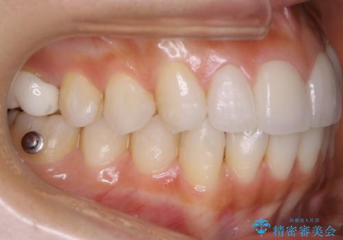
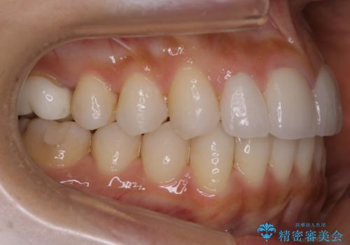
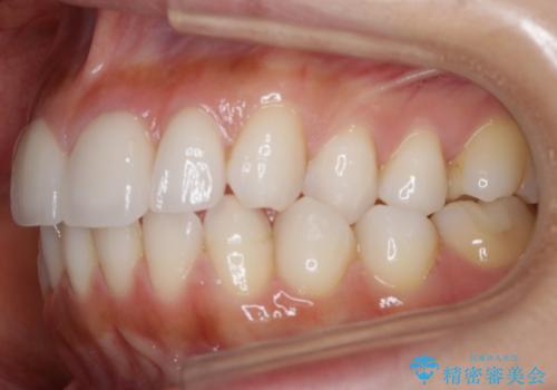
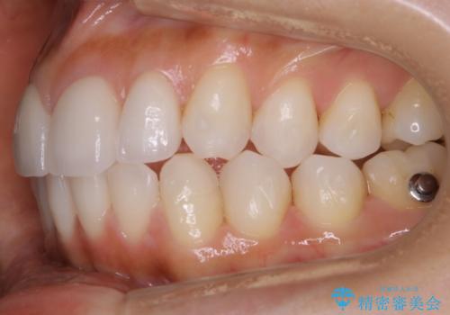
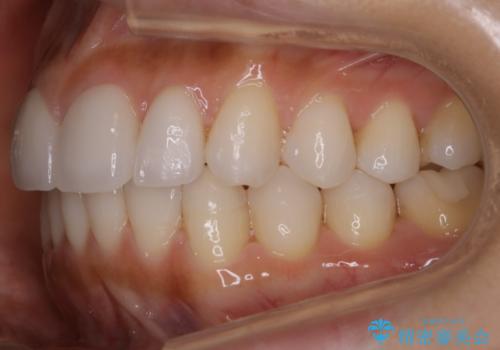
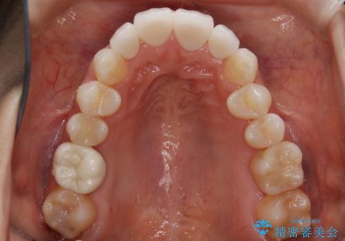
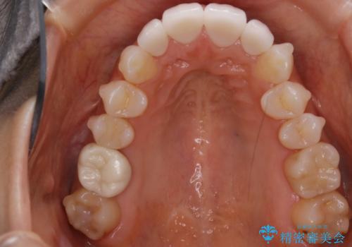
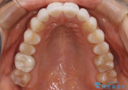
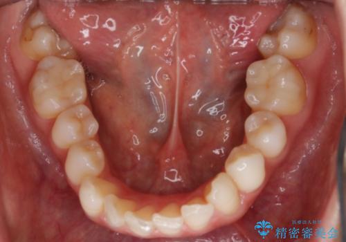
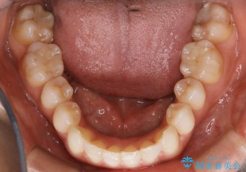
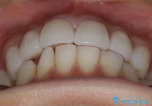
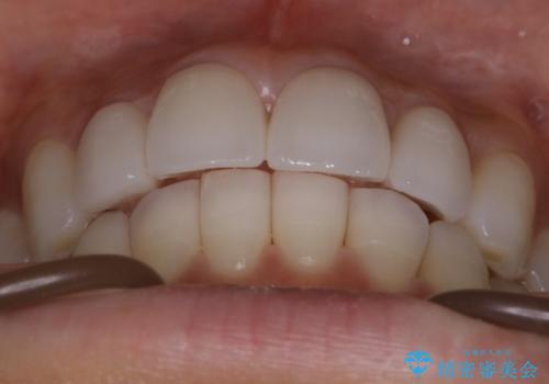
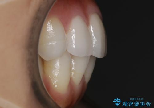
- 嚙み合わせのズレを主訴にご来院されました。
前歯・奥歯ともにセラミッククラウンで治療されている歯があったため、その歯にあまり影響が出ない範囲内で全体の噛み合わせが良くなるような動きを組み込んで治療を進めることとなりました。
- 費用(概算)
- 88万円(税込み)費用は治療当時の料金となります
被せ物がある場合
矯正治療前にセラミック等の被せ物をされている場合、それ自体の外形は矯正治療では変更することができないため、その他の天然歯の移動に影響を与えてしまう場合があります。また、治療上設定されるアタッチメント(歯の表面に付けるプラスチックの突起)が付かない場合が多く、歯のコントロールが不足する場合があります。
マウスピース矯正の注意事項(リスク・副作用など)
- 口腔内・歯並びの状態によっては対応できない場合があります
- マウスピース型矯正装置の長時間装着(1日20時間以上)が必須です
- 治療計画通りに進めるためには、患者様の意志が重要になります
- 矯正治療後の保定が不十分だと後戻り(元の位置に戻ろうとする動き)をします
- 薬機法対象外の矯正歯科装置のため医薬品副作用被害救済制度の対象外となる場合があります
- 自費診療(保険適用外)となります
当サイトの内容、テキスト、画像等の無断転載、複製、複写、盗用を固く禁じます。





















