症例詳細
Case detail
30代女性 前歯の長さを変える オールセラミック
治療症例の内容
- 担当医
- 患者様
- 30代女性
- 治療期間
- 6ヶ月
- 治療回数
- 5-10回
- 治療計画
- 前歯を全て仮歯へ
→歯ぐきの手術を行い、歯の長さの改善を図る
→治りを待ち、セラミックの完成へ
- 費用(概算)
- 約70万円費用は治療当時の料金となります
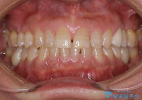
治療について
施術前は、ベニヤという修復物が歯ぐきの深い位置まで、貼り付けられている状態でした。
極東アジア人には珍しい豊富な角化歯肉があったため、極力審美的な方法での手術で歯の長さを改善し、セラミックを製作しました。
被せものの種類:ジルコニアオールセラミック スタンダード
(4番目の歯:e.max プレスクラウン)
セラミック治療の注意事項(リスク・副作用など)
- 天然歯を削ります
- 硬い素材は天然歯を傷つけてしまう場合があります
- かみ合わせや歯ぎしりが強すぎる方はセラミックが割れてしまう可能性があります
- 自費診療(保険適用外治療)となります
歯周病治療の注意事項(リスク・副作用など)
- 外科手術のため、術後に痛みや腫れ、違和感を伴います
- 歯周組織再生治療は患者様の状態によって術後の経過が異なります(見た目が改善しない場合もあります)
- 歯周組織再生治療は自費診療(保険適用外)となります
当サイトの内容、テキスト、画像等の無断転載、複製、複写、盗用を固く禁じます。


















