症例詳細
Case detail
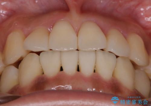
【非抜歯】左右の八重歯・前歯の反対咬合の改善 インビザライン
治療症例の内容
- 担当医
- 今村大二郎(ドクタープロフィール)
- 患者様
- 20代 女性
- 矯正装置
- マウスピース(インビザライン)
- 治療期間
- 2年
- 治療回数
- 10-30回
- 治療計画
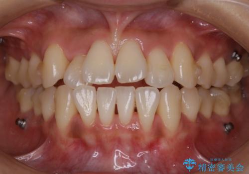
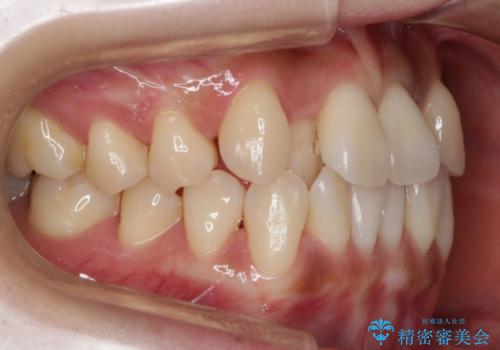
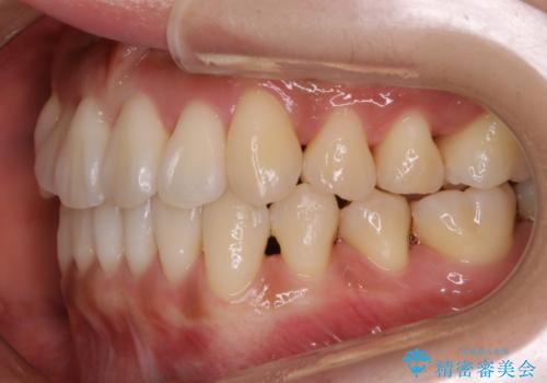
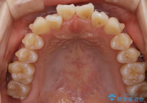
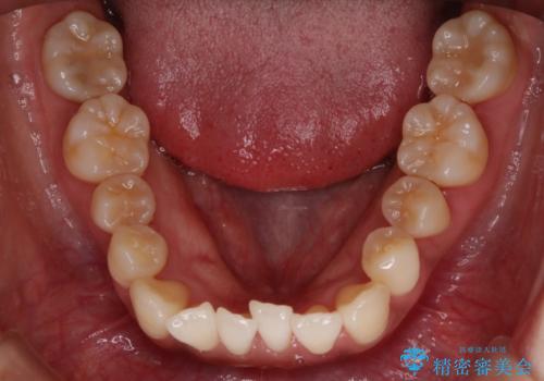
- 前歯のガタつきを主訴にご来院されました。
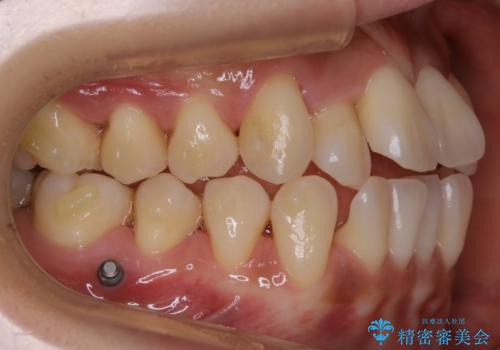
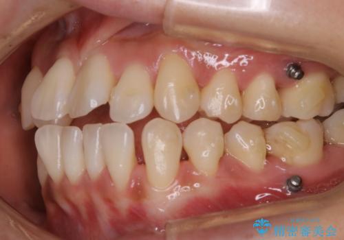
診査の結果、骨の厚みに余裕がなく幅の拡大とIPR(歯と歯の間を削り隙間を作る作業)のみでは歯周病に対する不安が残ることが懸念されたため、マイクロインプラントを用いて奥歯から順にすべての歯を後方移動させる方法によってスペースを作ることとなりました。
- 費用(概算)
- 88万円+TAX(マイクロインプラント費用込み)費用は治療当時の料金となります
歯の遠心移動
歯を奥に移動させてスペースを作る方法を用いる場合、マウスピースの装着時間ならびに装着時の適合度がそれぞれ良い状態で保たれているかどうかが大きく関わってきます。
コンプライアンスが遵守されず、使用方法にバラつきがあるとマウスピースを作り直さなければいけなくなる可能性が上がってしまう傾向にあります。
マウスピース矯正の注意事項(リスク・副作用など)
- 口腔内・歯並びの状態によっては対応できない場合があります
- マウスピース型矯正装置の長時間装着(1日20時間以上)が必須です
- 治療計画通りに進めるためには、患者様の意志が重要になります
- 矯正治療後の保定が不十分だと後戻り(元の位置に戻ろうとする動き)をします
- 薬機法対象外の矯正歯科装置のため医薬品副作用被害救済制度の対象外となる場合があります
- 自費診療(保険適用外)となります
当サイトの内容、テキスト、画像等の無断転載、複製、複写、盗用を固く禁じます。






















