症例詳細
Case detail
前歯のすき間 以前よりも広がってきた 二度と広がらないようにしたい セラミック治療
治療症例の内容
- 診療科目
- 治療カテゴリ
- 担当医
- 井上季実子(ドクタープロフィール)
- 患者様
- 30代女性
- 治療期間
- 3ヶ月
- 治療回数
- 2-5回
- 治療計画
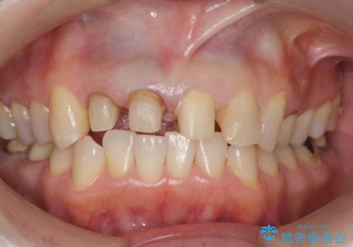
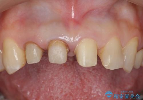
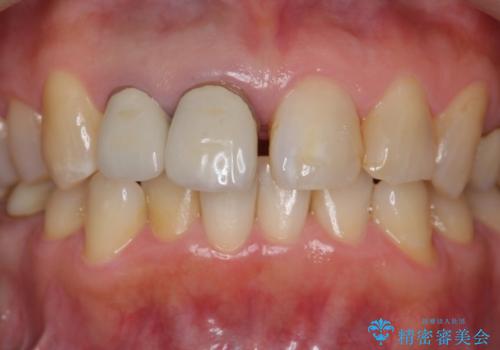
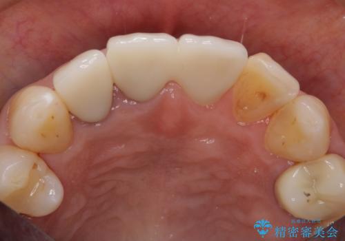
- 前歯のすき間を気にして来院。
右上2本を以前セラミックにしたが、前歯のすき間が広がってきてしまったとのこと。
右上の前歯のみの被せなおしですと、右上の前歯が反対側に比べて極端に大きくなってしまうことを説明し、左上の前歯も併せてセラミックにすることにしました。
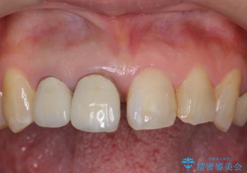
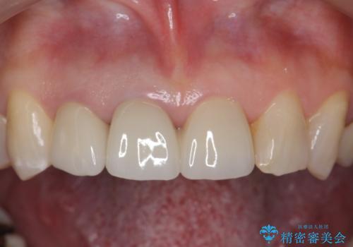
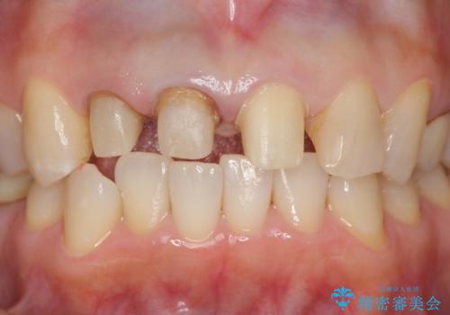
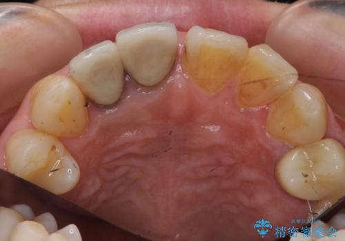
右上の前歯二本、左上の前歯1本をセラミックにし、正中の前歯を2本連結しました。
連結しなくても、ナイトガード使用で防止できると説明しましたが、手間をかけずに二度と広がらない方がいいとのことで連結を強くご希望でした。
連結のデメリットはフロスができなくなってしまうことになるため、歯間ブラシを使用していただいてメンテナンスしていただくことになります。7
また、見た目の歯と歯の分離感も、連結しない方が表現することが可能です。
- 費用(概算)
- 60.5万円(税込み) ジルコニアクラウンスペシャル 14.3万円x3 仮歯 1.1万円x3 右上1、右上2:ファイバーコア 2.2万円x2 右上1: 精密根管治療(リトリートメント) 9.9 万円x1費用は治療当時の料金となります
治療について
気になっていたすき間が閉じて、大変喜んでいただけました。
歯周病や楽器の影響などですき間が生じることはありますが、今回は開いてきた原因はわからないため、連結するか、ナイトガードをはめて歯ぎしりで力がかかりすぎないようにすることが大事になってきます。
セラミック治療の注意事項(リスク・副作用など)
- 天然歯を削ります
- 硬い素材は天然歯を傷つけてしまう場合があります
- かみ合わせや歯ぎしりが強すぎる方はセラミックが割れてしまう可能性があります
- 自費診療(保険適用外治療)となります
根管治療の注意事項(リスク・副作用など)
- 根管治療により類似の全ての症例の問題が解決するわけではなく、症例はあくまでも一例です
- 根管治療により痛みや腫れがひかない事や、術後に痛みや腫れが生じる事、治療によるファイル破折やパーフォレーションなどの偶発症、術後の歯根破折を生じる可能性もあります
- 自費診療(保険適用外)となります
当サイトの内容、テキスト、画像等の無断転載、複製、複写、盗用を固く禁じます。













