症例詳細
Case detail
【非抜歯】八重歯を治す マウスピース矯正
治療症例の内容
- 患者様
- 20代 男性
- 矯正装置
- マウスピース(インビザライン)
- 治療期間
- 2年
- 治療回数
- 10-30回
- 治療計画
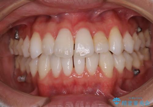
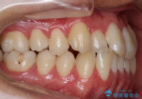
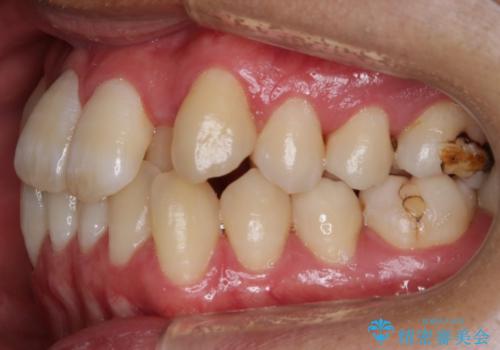
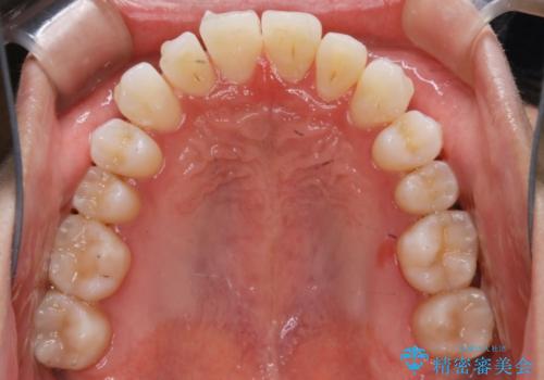
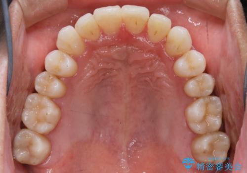
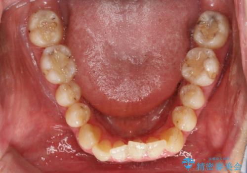
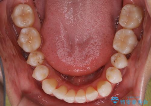
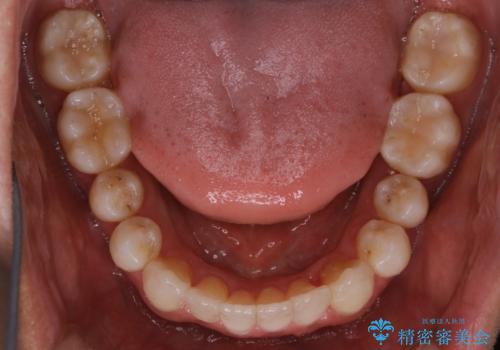
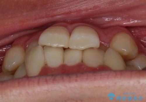
- 前歯のガタつきの治療を主訴にご来院されました。
目立たない装置をとのご要望があったため、検査結果をふまえてインビザラインでの非抜歯矯正を行うこととなりました。
- 費用(概算)
- 88万円+TAX(マイクロインプラント費用込み)費用は治療当時の料金となります
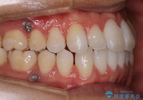
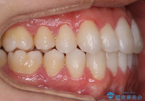
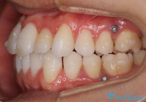
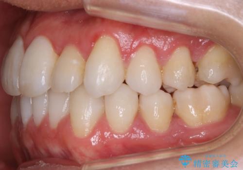
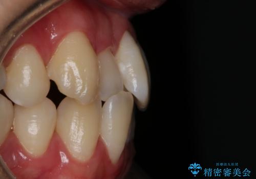
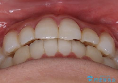
非抜歯での治療
抜歯をせずに歯のガタつきを治すためのスペースを作るために
①歯の遠心移動
②歯列弓の拡大
③IPR(歯を少し小さく削る)
この3つの方法を複合的に組み合わせて治療を行いました。
抜歯をせずとも笑った時の歯の見え方が劇的に変化していることが分かります。
ワイヤー矯正の注意事項(リスク・副作用など)
- 治療中は違和感や痛みが起こることがあります
- 症状により、抜歯が必要な場合があります
- 治療中は歯磨きがしにくくなるため、虫歯や歯周病になりやすくなります
- 矯正治療後の保定が不十分だと後戻り(元の位置に戻ろうとする動き)をします
- 自費診療(保険適用外)となります
当サイトの内容、テキスト、画像等の無断転載、複製、複写、盗用を固く禁じます。





















