症例詳細
Case detail
[かみ合わせ治療] かんでいないブリッジの再作製
治療症例の内容
- 診療科目
- 治療カテゴリ
- 担当医
- 大元洋佑(ドクタープロフィール)
- 患者様
- 30代女性
- 治療期間
- 3ヶ月
- 治療回数
- 2-5回
- 治療計画
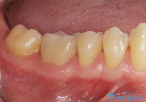
- ブリッジの部分のかみ合わせが悪く、あまり噛めないことの改善を希望され来院されました。
下の歯とあまりかんでおらず、十分に咀嚼することが難しい状態だったのでブリッジの再作製を行い、かみ合わせを再構築します。
- 費用(概算)
- 24万円費用は治療当時の料金となります
かみ合わせの改善治療について
当初の状態はブリッジは入っていますがかんでいない状態でした。
また清掃性も悪く、プラークがたまりやすく虫歯の再発や歯肉の腫れも見られる状況でした。
これらの問題を仮歯に置き換え、かみ合わせの状態を調整し適合の良いメタルボンドブリッジに置き換えることで改善しました。
セラミック治療の注意事項(リスク・副作用など)
- 天然歯を削ります
- 硬い素材は天然歯を傷つけてしまう場合があります
- かみ合わせや歯ぎしりが強すぎる方はセラミックが割れてしまう可能性があります
- 自費診療(保険適用外治療)となります
当サイトの内容、テキスト、画像等の無断転載、複製、複写、盗用を固く禁じます。

![[かみ合わせ治療] かんでいないブリッジの再作製の治療前](https://seimitsushinbi.jp/wp/wp-content/uploads/2017/08/IMG_9986-500x350.jpg)
![[かみ合わせ治療] かんでいないブリッジの再作製の治療後](https://seimitsushinbi.jp/wp/wp-content/uploads/2017/08/IMG_0585-500x350.jpg)
![[かみ合わせ治療] かんでいないブリッジの再作製の治療前](https://seimitsushinbi.jp/wp/wp-content/uploads/2017/08/IMG_9990-500x350.jpg)
![[かみ合わせ治療] かんでいないブリッジの再作製の治療後](https://seimitsushinbi.jp/wp/wp-content/uploads/2017/08/IMG_0589-500x350.jpg)
![[かみ合わせ治療] かんでいないブリッジの再作製の治療前](https://seimitsushinbi.jp/wp/wp-content/uploads/2017/08/CI11-tile-500x350.jpg)
![[かみ合わせ治療] かんでいないブリッジの再作製の治療後](https://seimitsushinbi.jp/wp/wp-content/uploads/2017/08/CI19-500x350.jpg)
![[かみ合わせ治療] かんでいないブリッジの再作製の治療後](https://seimitsushinbi.jp/wp/wp-content/uploads/2017/08/IMG_0586-500x350.jpg)