症例詳細
Case detail
銀の詰め物をやりかえたい
治療症例の内容
- 診療科目
 
- 治療カテゴリ
 
- 担当医
 - 青山卓弘(ドクタープロフィール)
 
- 患者様
 - 40代男性
 
- 治療期間
 - 1ヶ月
 
- 治療回数
 - 2-5回
 
- 治療計画
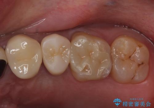
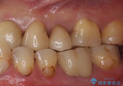
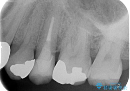
 - 銀の詰め物をやりかえたい。とのことで来院。
白い物を希望されたので、以下の提案を行い選んで頂いた。
①セラミックインレーにやりかえ
噛む面は白くなり、歯質を多く削らなくてすむが、
表面の黒いところまでは覆えない。
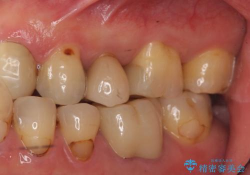
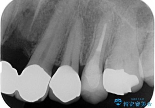
②ジルコニアクラウンで被せる
表面の黒いところまで覆う事ができる。
ただし、①よりも歯を大きく削ることになる。
患者様と相談し、黒いところも目立たなくしたいとのご希望だった。
そのため、歯質の削除量は増えるが、クラウンで被せる②の方針で行うことになった。
 
- 費用(概算)
 - 仮歯・ジルコニアクラウン 12.1万円 費用は治療当時の料金となります
 
治療について
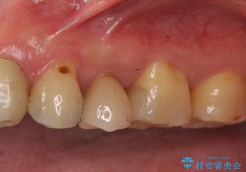
歯の表面の黒いところは虫歯ではなく
歯ブラシによる摩耗か歯ぎしりによるくさび状欠損によるものです。
そのままだと水などが染みてくる原因にもなります。
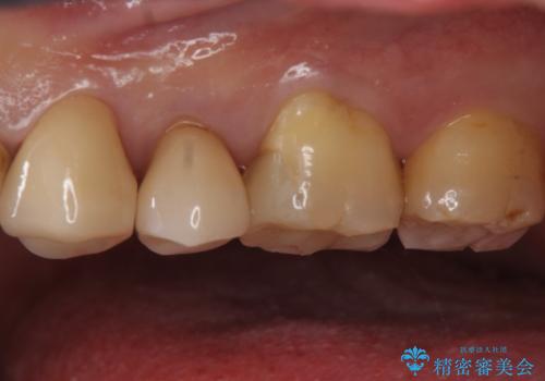
白い被せ物が入り希望に沿った処置となり
大変満足して頂けました。
セラミック治療の注意事項(リスク・副作用など)
- 天然歯を削ります
 - 硬い素材は天然歯を傷つけてしまう場合があります
 - かみ合わせや歯ぎしりが強すぎる方はセラミックが割れてしまう可能性があります
 - 自費診療(保険適用外治療)となります
 
その他の注意事項(リスク・副作用など)
- 担当歯科医師、歯科衛生士又は医院スタッフから受けた説明・注意事項をよくご確認ください
 - 医療を提供するに当たり、適切な説明を行い、患者様の十分な理解を得るよう努めております
 
当サイトの内容、テキスト、画像等の無断転載、複製、複写、盗用を固く禁じます。

                      
                                                          







