症例詳細
Case detail
10年ぶりの歯医者、初めてのクリーニング
治療症例の内容
- 診療科目
- 治療カテゴリ
- 患者様
- 20代男性
- 治療期間
- 1日
- 治療回数
- 1回
- 治療計画
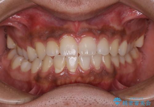
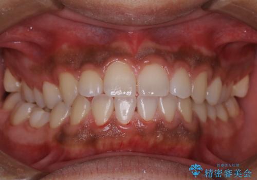
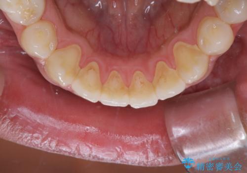
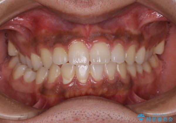
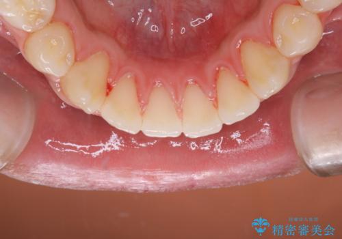
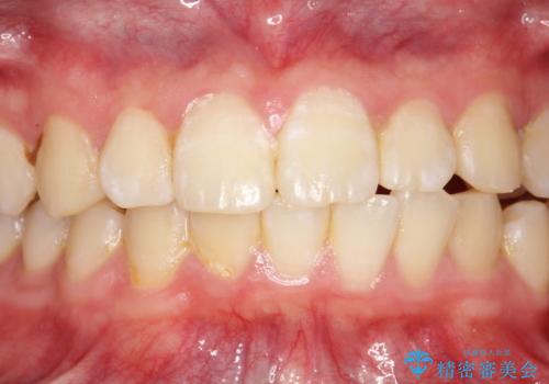
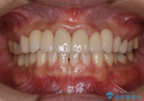
- 10年ぶりに歯科医院に来院された方です。クリーニングは人生で初めてとのことでした。
全体的に着色と汚れの量が多いため、PMTC60分コースで行いました。
- 費用(概算)
- ¥11000費用は治療当時の料金となります
治療について
歯石や着色、古くから蓄積した汚れは日常の歯ブラシではとることが出来ません。
歯科医院にて専門的に行うクリーニング(PMTC)を定期的に行うことがとても重要です。
むし歯がなく歯が痛くならない限り歯科医院へ来院する機会がないと、知らぬ間に歯周病などが進行してしまう場合があります。そのため痛みがなくても定期的に歯科医院に来院しメンテナンスを受けることをお勧めします。
担当
表参道しらゆり歯科 DH宮崎
PMTCの注意事項(リスク・副作用など)
- 歯を白くする目的の施術ではありません
- 保険適用外となります
当サイトの内容、テキスト、画像等の無断転載、複製、複写、盗用を固く禁じます。




