症例詳細
Case detail
銀の詰め物を白い物にしたい
治療症例の内容
- 診療科目
- 担当医
- 青山卓弘(ドクタープロフィール)
- 患者様
- 20代男性
- 治療期間
- 1ヶ月
- 治療回数
- 2-5回
- 治療計画
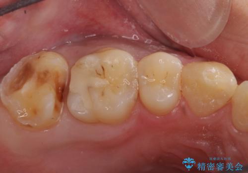
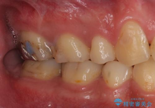
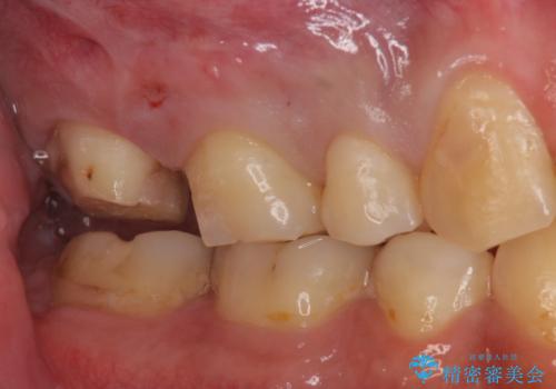
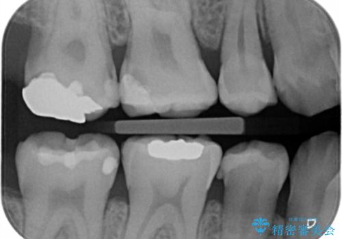
- 一番奥の銀の詰め物を白くしたいとのことで来院。
セラミックの詰め物のやりかえだと範囲が多く、割れてしまうリスクがあります。
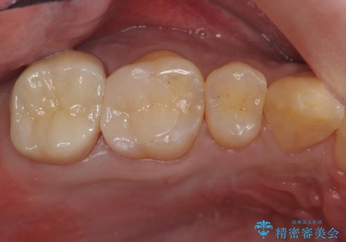
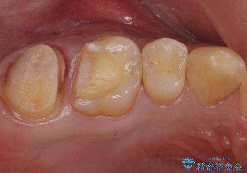
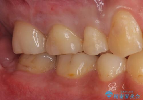
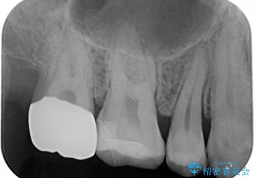
そのため、割れるリスクが少ない詰め物ではなく、被せ物による治療(ジルコニアクラウン)を行いました。
また、隣の歯も白い樹脂の下が虫歯になっており、セラミックの詰め物(e-maxインレー)による修復をしました。
- 費用(概算)
- 仮歯・ジルコニアクラウン・e-maxインレー 19.8万円費用は治療当時の料金となります
治療について
銀の詰め物のまま放置すると、歯との隙間から細菌が入り
虫歯の再発リスクが高まります。
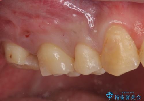
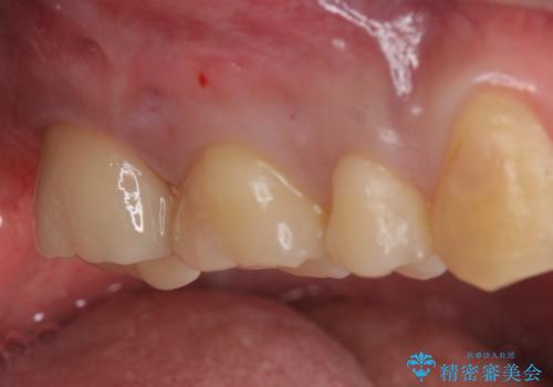
白い被せ物が入り希望に沿った処置となり
大変満足して頂けました。
セラミック治療の注意事項(リスク・副作用など)
- 天然歯を削ります
- 硬い素材は天然歯を傷つけてしまう場合があります
- かみ合わせや歯ぎしりが強すぎる方はセラミックが割れてしまう可能性があります
- 自費診療(保険適用外治療)となります
その他の注意事項(リスク・副作用など)
- 担当歯科医師、歯科衛生士又は医院スタッフから受けた説明・注意事項をよくご確認ください
- 医療を提供するに当たり、適切な説明を行い、患者様の十分な理解を得るよう努めております
当サイトの内容、テキスト、画像等の無断転載、複製、複写、盗用を固く禁じます。












