症例詳細
Case detail
【出っ歯が気になる】インビザライン症例
治療症例の内容
- 担当医
- 奥村高広(ドクタープロフィール)
- 患者様
- 30代女性
- 矯正装置
- インビザライン
- 治療期間
- 3年
- 治療回数
- 10-30回
- 治療計画
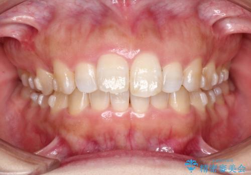
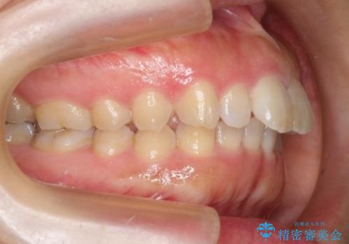
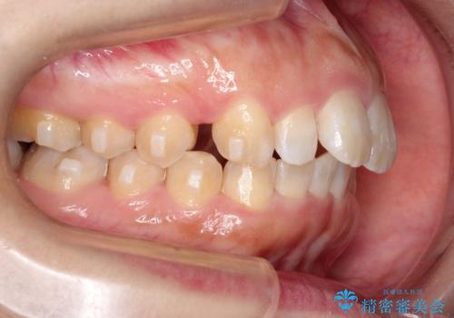
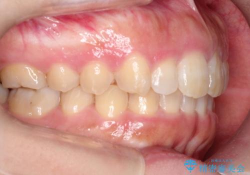
- 前歯の歯並びの改善を希望され来院された患者様です。
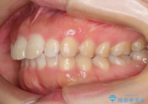
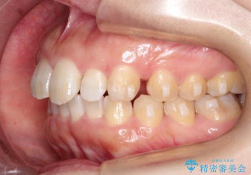
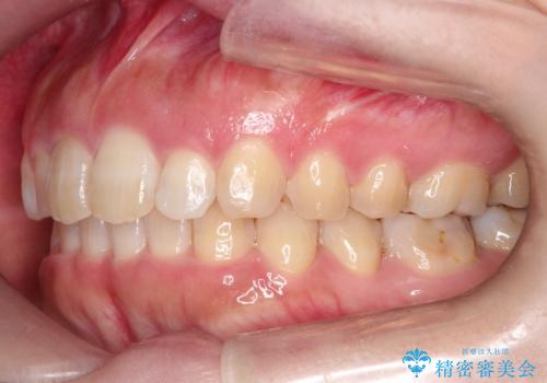
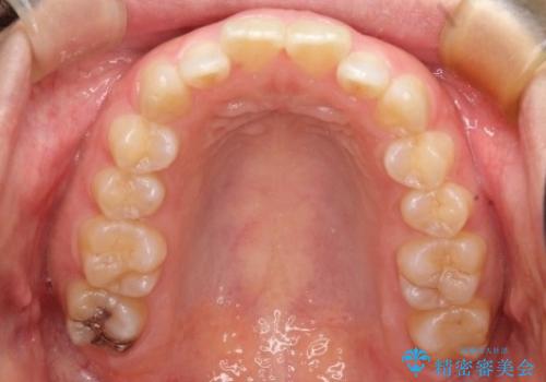
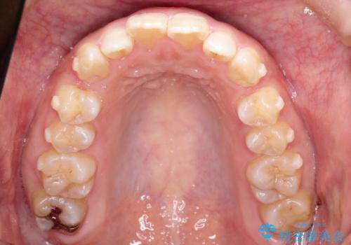
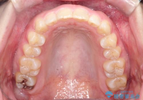
初診時の歯並びの状態としては、上の前歯が下に対して前に飛び出た上顎前突という状態で、前歯は大きく前に飛び出した状態により患者様も口の閉じづらさを感じているとのことでした。また上顎に軽度の叢生(ガタガタ)がありました。
抜歯は行わず上顎の奥のスペースを利用して歯をスライドする方法の他に歯列弓の拡大やディスキング(歯と歯の間の隙間を作る処置)を行い叢生を改善しました。
奥歯を後ろに送る工程では上下でゴムかけをしていただきました。
矯正装置としてはマウスピースを使用しています。
- 費用(概算)
- 88万円費用は治療当時の料金となります
治療について
当院では、模型分析やレントゲン分析のデータを基に治療方針を決めています。複数治療の選択肢がある場合は、すべての可能性ある治療方針を丁寧にご説明し、患者様のご意向に沿ったプランを選択するよう心がけております。
また、矯正治療を行うにあたり、虫歯や歯周病の検査も実施し、要治療部位は、矯正前に適切に処置いたします。
見た目、嚙み合わせ及び、治療期間や施術内容に大変ご満足いただきました。
ワイヤー矯正の注意事項(リスク・副作用など)
- 治療中は違和感や痛みが起こることがあります
- 症状により、抜歯が必要な場合があります
- 治療中は歯磨きがしにくくなるため、虫歯や歯周病になりやすくなります
- 矯正治療後の保定が不十分だと後戻り(元の位置に戻ろうとする動き)をします
- 自費診療(保険適用外)となります
当サイトの内容、テキスト、画像等の無断転載、複製、複写、盗用を固く禁じます。





















