症例詳細
Case detail
【非抜歯】インビザライン 隠れた前歯を並べる矯正治療
治療症例の内容
- 担当医
- 今村大二郎(ドクタープロフィール)
- 患者様
- 20代 女性
- 矯正装置
- マウスピース(インビザライン)
- 治療期間
- 2年
- 治療回数
- 10-30回
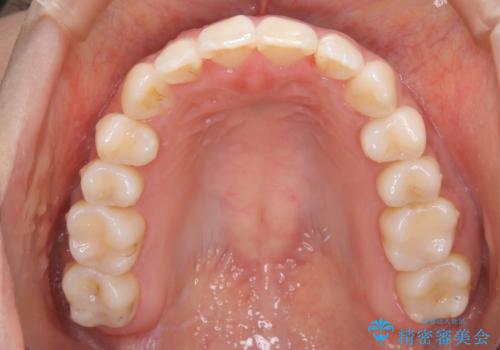
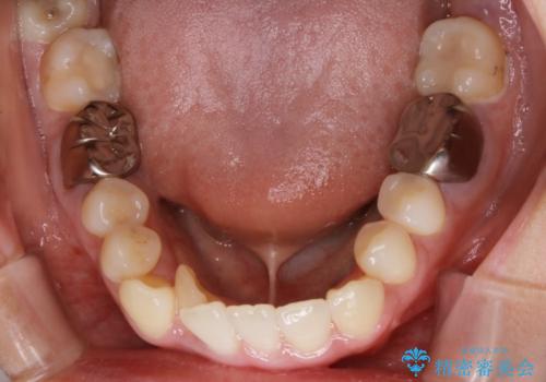
- 治療計画
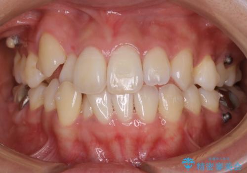
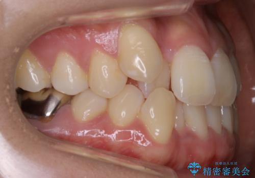
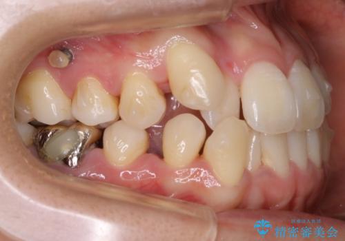
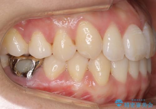
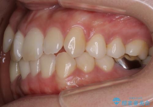
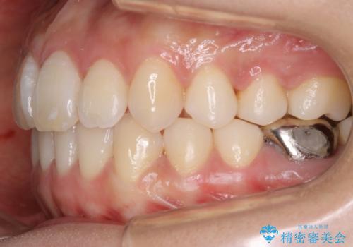
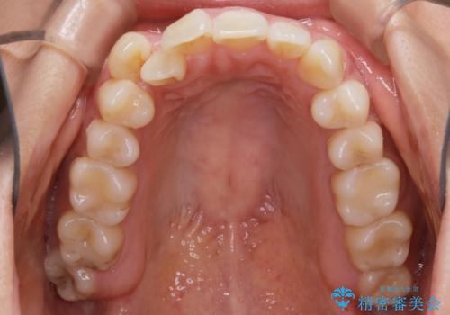
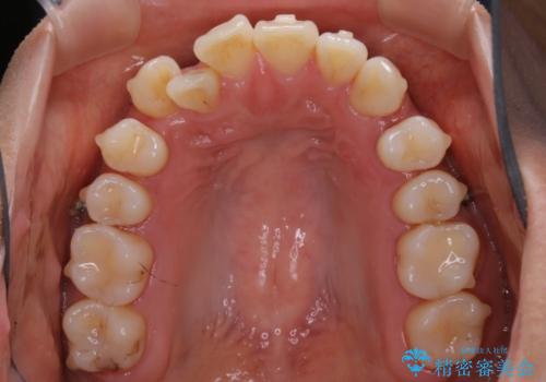
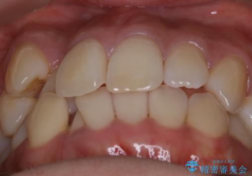
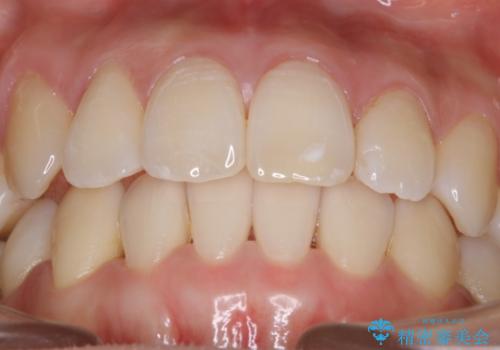
- 前歯のガタつき・奥に隠れてしまっている歯の矯正治療を希望されて初診来院されました。
顔貌的に口元を下げたいといった希望はなく抜歯はなるべく避けたいとのご要望からマウスピース装置(インビザライン)での治療を行うこととなりました。
- 費用(概算)
- 88万円+TAX(マイクロインプラント費用込み)費用は治療当時の料金となります
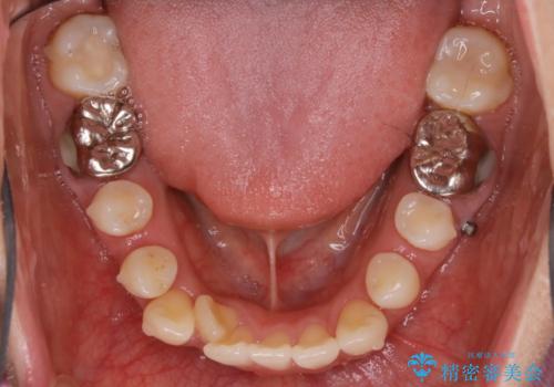
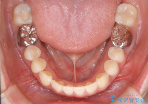
遠心移動
非抜歯で矯正を行う場合にガタつきの改善に必要なスペースを作るために歯の遠心移動を行います。
最初の位置から奥に歯を移動させていくことで前歯のガタつきを改善したり、前歯の位置を後方に移動させることが可能となります。
その反面、歯の移動距離が大きくなるので治療期間が長くなる傾向があり、その分コントロールの難しさが上がることが予想されます。
マウスピース矯正の注意事項(リスク・副作用など)
- 口腔内・歯並びの状態によっては対応できない場合があります
- マウスピース型矯正装置の長時間装着(1日20時間以上)が必須です
- 治療計画通りに進めるためには、患者様の意志が重要になります
- 矯正治療後の保定が不十分だと後戻り(元の位置に戻ろうとする動き)をします
- 薬機法対象外の矯正歯科装置のため医薬品副作用被害救済制度の対象外となる場合があります
- 自費診療(保険適用外)となります
当サイトの内容、テキスト、画像等の無断転載、複製、複写、盗用を固く禁じます。





















