症例詳細
Case detail
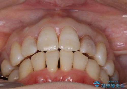
重度のガタガタと出っ歯をワイヤーによる抜歯矯正で整った歯並びへ
治療症例の内容
- 診療科目
- 担当医
- 患者様
- 40代女性
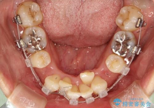
- 矯正装置
- クリアブラケット
- 治療期間
- 2年
- 治療回数
- 10-30回
- 治療計画
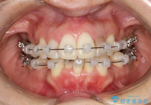
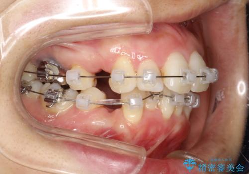
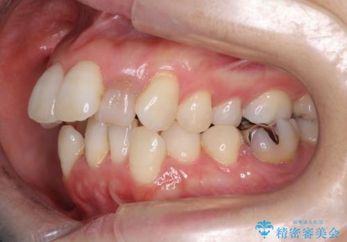
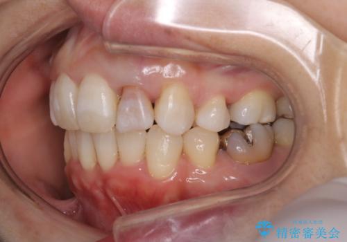
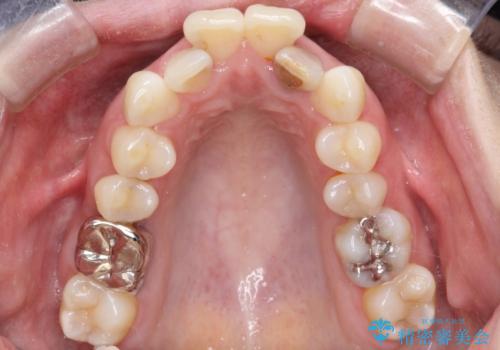
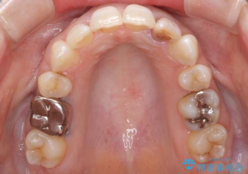
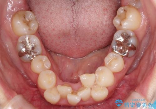
- 全体的ながたがたを主訴に来院されました。
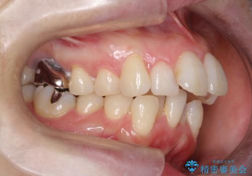
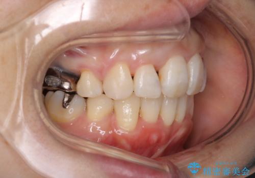
上顎の前歯は前方に傾斜して、下顎の前歯は強いガタガタが見られました。
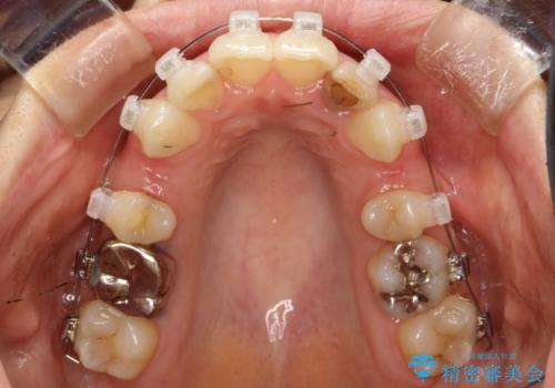
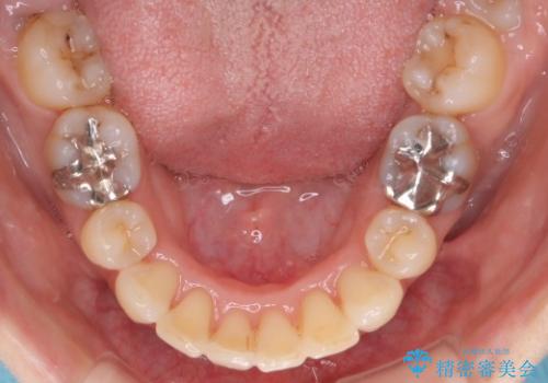
前から4番目の歯を上下左右合計2本抜歯して、歯並びを整える計画としました。
ワイヤー矯正にて治療しました。
- 費用(概算)
- 約100万円費用は治療当時の料金となります
治療について
ガタガタが強い場合、抜歯が必要なことが多いです。
ワイヤー矯正の注意事項(リスク・副作用など)
- 治療中は違和感や痛みが起こることがあります
- 症状により、抜歯が必要な場合があります
- 治療中は歯磨きがしにくくなるため、虫歯や歯周病になりやすくなります
- 矯正治療後の保定が不十分だと後戻り(元の位置に戻ろうとする動き)をします
- 自費診療(保険適用外)となります
当サイトの内容、テキスト、画像等の無断転載、複製、複写、盗用を固く禁じます。

















