症例詳細
Case detail
出っ歯で口が閉じずらい ワイヤー抜歯矯正
治療症例の内容
- 診療科目
- 担当医
- 患者様
- 20代女性
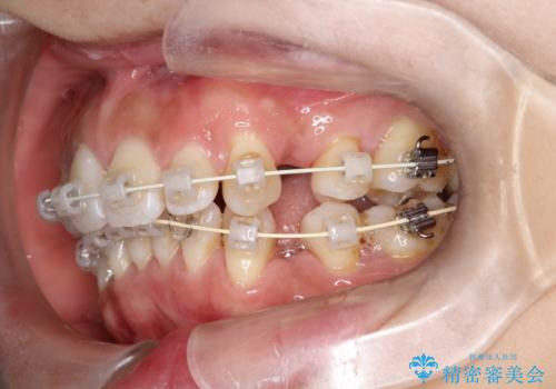
- 矯正装置
- 審美装置
- 治療期間
- 2年1ヶ月
- 治療回数
- 10-30回
- 治療計画
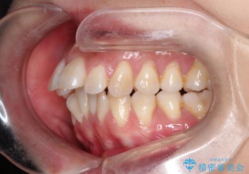
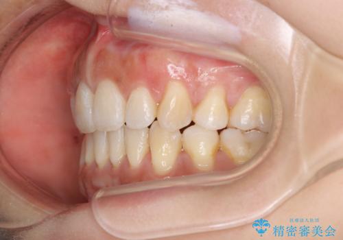
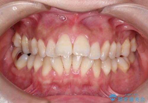
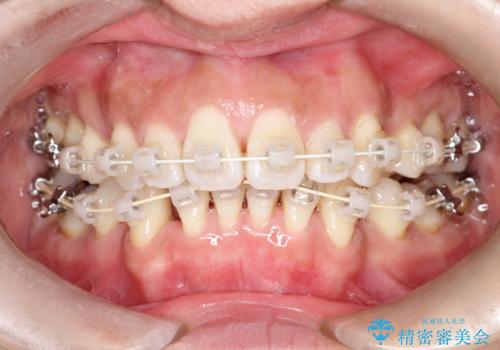
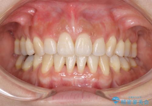
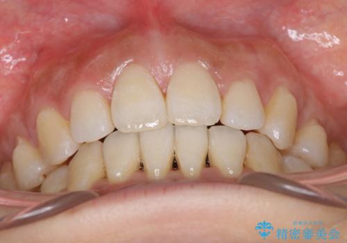
- 出っ歯がきになるとのことで来院されました。
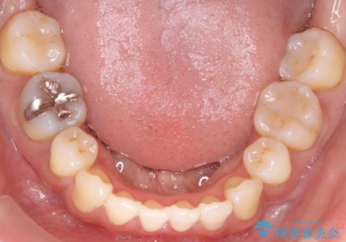
上顎の前歯は前方に傾斜しており、下あごの前歯にもガタガタがありました。
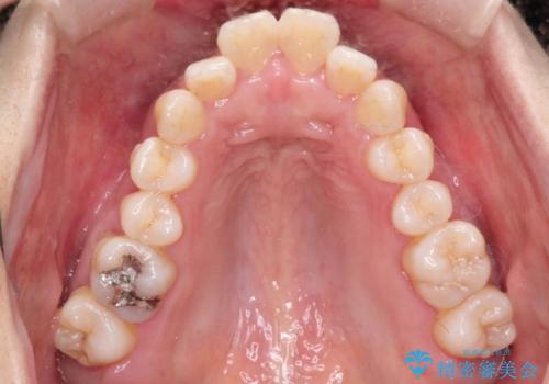
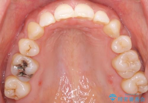
上下左右の小臼歯を合計4本抜歯して矯正することとしました。
- 費用(概算)
- 約100万円費用は治療当時の料金となります
治療について
矯正を開始する前から歯肉退縮があり、悪化しないように注意しながら矯正治療を行いました。
ワイヤー矯正の注意事項(リスク・副作用など)
- 治療中は違和感や痛みが起こることがあります
- 症状により、抜歯が必要な場合があります
- 治療中は歯磨きがしにくくなるため、虫歯や歯周病になりやすくなります
- 矯正治療後の保定が不十分だと後戻り(元の位置に戻ろうとする動き)をします
- 自費診療(保険適用外)となります
当サイトの内容、テキスト、画像等の無断転載、複製、複写、盗用を固く禁じます。




















