症例詳細
Case detail
【セラミックインレー】再治療を防ぐ虫歯治療
治療症例の内容
- 診療科目
- 治療カテゴリ
- 担当医
- 河口智英(ドクタープロフィール)
- 患者様
- 30代女性
- 治療期間
- 1ヶ月
- 治療回数
- 2-5回
- 治療計画
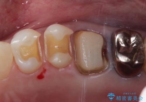
- セラミックインレーの治療を希望され来院されました。
過去に装着されたメタルインレーを除去したのち、内部の虫歯を除去、セラミックインレーにて修復治療を行なっております。
- 費用(概算)
- 25万円費用は治療当時の料金となります
治療について
e-maxプレスインレーを用いることで、高い精度と強度を達成することができました。
セラミック治療の注意事項(リスク・副作用など)
- 天然歯を削ります
- 硬い素材は天然歯を傷つけてしまう場合があります
- かみ合わせや歯ぎしりが強すぎる方はセラミックが割れてしまう可能性があります
- 自費診療(保険適用外治療)となります
当サイトの内容、テキスト、画像等の無断転載、複製、複写、盗用を固く禁じます。





