症例詳細
Case detail
詰め物が外れた セラミックインレー修復
治療症例の内容
- 診療科目
- 治療カテゴリ
- 担当医
- 齋藤佑磨(ドクタープロフィール)
- 患者様
- 20代男性
- 治療期間
- 1ヶ月
- 治療回数
- 2-5回
- 治療計画
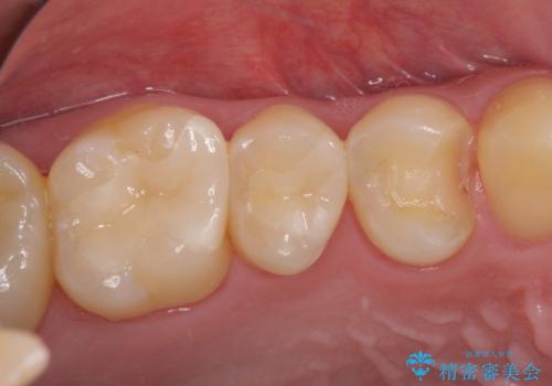
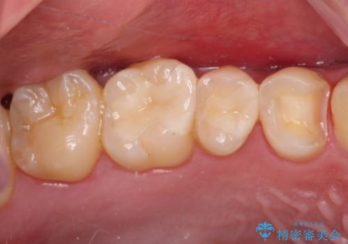
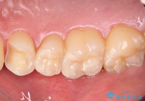
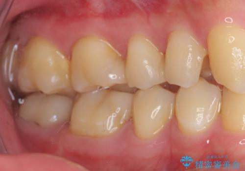
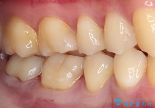
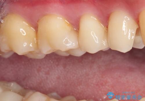
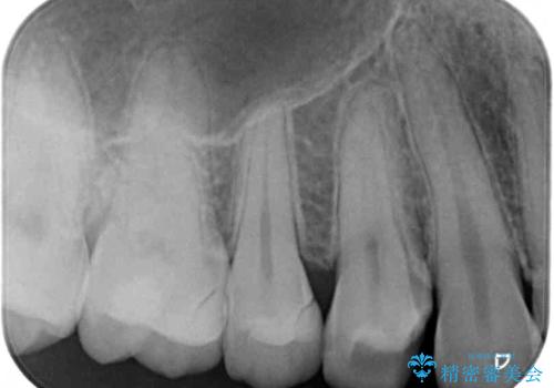
- 以前治療した詰め物が外れてしまい、冷たいものがしみることを主訴として来院された患者様です。
むし歯がないことを確認し、セラミックインレーにて修復するととしました。
- 費用(概算)
- 8万円(税込)費用は治療当時の料金となります
治療について
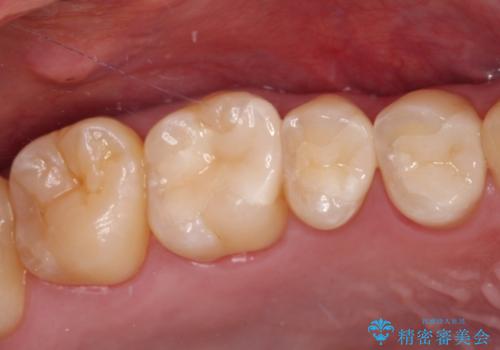
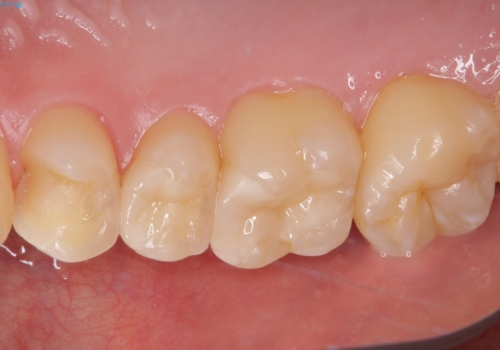
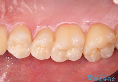
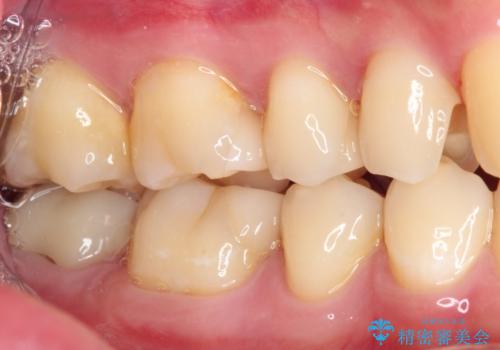
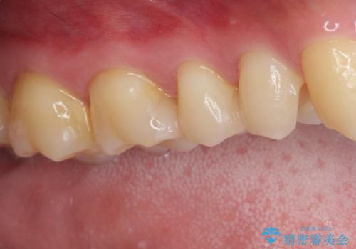
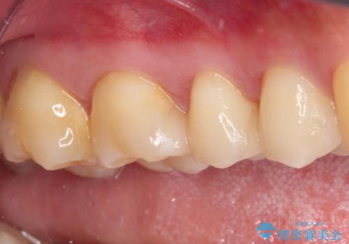
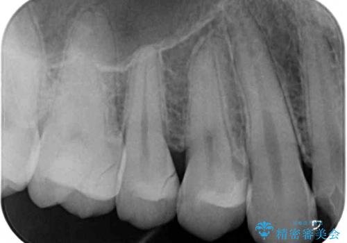
適合の良いセラミックインレーの装着により、冷たいものがしみる症状はなくなりました。
セラミック治療の注意事項(リスク・副作用など)
- 天然歯を削ります
- 硬い素材は天然歯を傷つけてしまう場合があります
- かみ合わせや歯ぎしりが強すぎる方はセラミックが割れてしまう可能性があります
- 自費診療(保険適用外治療)となります
当サイトの内容、テキスト、画像等の無断転載、複製、複写、盗用を固く禁じます。














